拍了 X 线为啥还要做 CT?MRI 又是查什么?
一、X 线:骨折筛查的 “侦察兵”
第一眼侦察:快速发现椎体形态改变,如椎体高度丢失、楔形变或后凸畸形。
-
初步定位:确定骨折椎体的位置,排除脊柱肿瘤等其他病变。
-
72 岁的王某腰背痛 3 天,X 线显示L1椎体 “楔形变”,高度丢失约 30%,初步诊断为 OVCF。但 X 线无法判断骨折是否新鲜,也看不清椎体后壁是否破裂,这时就需要 CT 和 MRI 出场了。
-
无法区分新鲜骨折与陈旧性骨折(椎体可能因多次骨折呈现“叠罗汉” 样改变)。 -
对细微骨折(如椎弓根骨折)或椎管内情况显示不清。
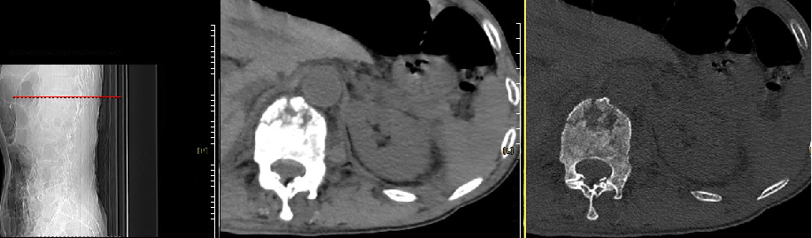
二、CT:看清骨折细节的 “透视眼”
骨折类型放大镜:
-
鉴别“压缩骨折” 与 “爆裂骨折”:爆裂骨折的椎体后壁破裂,骨块可能突入椎管,此时需谨慎选择手术方式,避免骨水泥渗漏风险。 -
显示椎弓根骨折、椎体裂隙征(真空征),帮助判断骨水泥填充难度。
-
接上例患者王某,CT 发现L1椎体后壁完整,但存在 “椎体裂隙征”(提示骨折未愈合),且椎弓根形态正常,适合行经皮椎体成形术(PVP)。若 CT 显示后壁破裂,则可能需改用球囊扩张椎体后凸成形术(PKP),通过球囊撑开复位减少渗漏风险。
三、MRI:鉴别新旧骨折的 “时间侦探”
新鲜骨折“验真仪”:
-
新鲜骨折(<4 周)在 MRI 的 STIR 序列(抑脂像)上表现为高信号(“亮白色”),提示椎体骨髓水肿、骨折活动性炎症。 -
陈旧性骨折无明显水肿信号,呈低信号或等信号,此时手术止痛效果可能不佳,需优先保守治疗。 -
排除脊髓压迫:T2 加权像可显示椎间盘突出或血肿是否压迫脊髓,避免漏诊需急诊手术的危重症。
-
68 岁的李爷爷腰背痛 2 个月,X 线显示T11、L2压缩改变。MRI 发现T11 为陈旧性骨折(无水肿信号),L2 为新鲜骨折(高信号),最终仅对L2行手术治疗,避免了对 “老骨折” 的无效干预。
四、为什么需要“三剑客” 联合作战?
单一检查的陷阱:
-
仅靠X 线:可能误将陈旧骨折当新鲜骨折手术,导致疼痛不缓解;或漏诊爆裂骨折的椎管占位,增加神经损伤风险。 -
跳过MRI:可能对慢性骨折徒劳手术,或漏诊多发性骨髓瘤、转移癌等 “伪装成 OVCF” 的恶性病变。
-
初筛:X 线判断是否存在骨折及大体形态。 -
细化:CT 评估骨折类型、椎体后壁完整性及椎管情况。 -
定时机:MRI 鉴别新鲜 / 陈旧骨折,排除脊髓压迫或肿瘤。
影像学检查不是“过度医疗”,而是精准手术的 “眼睛”。
就像侦探破案需要指纹、监控、目击证词配合,OVCF 的诊断也离不开 X 线、CT、MRI 的 “铁三角”。
下次当医生建议您做多项检查时,不妨想想这三位 “侦察兵”“透视眼”“时间侦探”,它们正联手为您的手术安全保驾护航!









