正畸压低对合牙
当对颌牙明显伸长,需大量调磨才可获得足够修复空间时,为了尽量不损伤对颌牙,我们建议采用正畸压低的方式,一方面旨在获得足够的咬合空间;另一方面旨在恢复正常的合曲线。
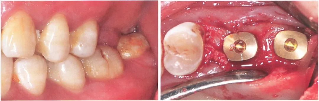
患者的26、27缺失,术前口内检查发现37明显伸长致使修复距离不足。如果只依靠调磨37的方式获得修复空间,调磨量会很大,极可能损伤牙髓。
与患者沟通后,患者选择正畸方式压低对颌牙。我们在26、27 位点植入两颗植体后,患者开始接受隐形矫治配合橡皮圈同时压低36、37。通过正畸压低的方式,患者的36、37与术前相比被明显压低。
术后6个月行二期手术更换愈合基台,使用6.5mm 高的愈合基台检测发现修复距离足够。
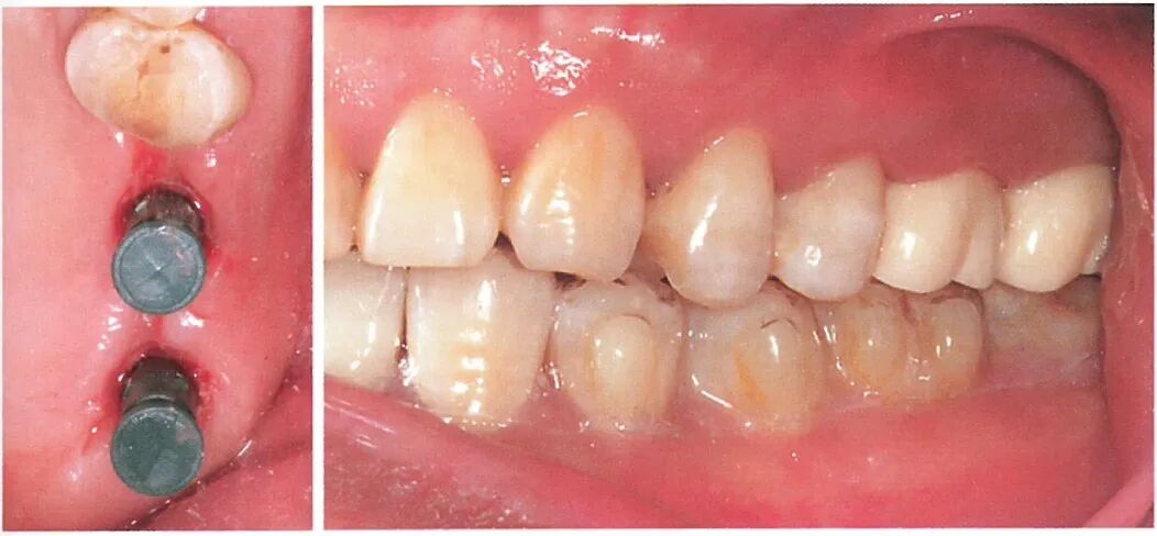
取模后安装最终修复体,牙冠准确到位。
患者戴牙1年后复查,口腔清洁,卫生良好,牙龈颜色、质地正常,26,27 修复体颊侧正中探诊深度约为2mm,患者对治疗效果满意。
正畸压低对颌牙的方式需要种植医生和正畸医生的充分沟通,以保证获得足够的修复空间。此外,正畸方式不仅可用于垂直修复空间不足的病例,对于有些近远中修复距离不足、邻牙倾斜的病例也适用。
-END-
声明:本文转载自<牙医帮>,仅用于学习交流,如有侵权,请立即联系我们处理。内容仅代表作者个人观点,望大家理性判断及应用。









