
乳牙龋特点
乳牙龋损多发且多为广泛龋及晚期龋,临床上一般采用玻璃离子或光固化树脂充填。但乳牙体积小、牙冠短、牙体硬组织薄,给充填治疗带来一定困难。
乳牙充填治疗常不能恢复乳牙解剖外形及高度,无法建立正常的咬合及邻接关系,因此不利于儿童颌面部生长发育,同时使乳牙发挥诱导正常恒牙列形成的功能受阻。另外,乳牙充填还存在易出现继发龋坏、充填物易脱落等问题。
临床上应如何避免上述问题的发生?越来越多的儿童口腔医师选择预成冠修复,包括乳前牙透明树脂冠、乳磨牙金属预成冠以及全瓷预成冠(预成冠美学修复)等。
乳牙金属预成冠是一个预先形成的,与牙齿十分贴合的不锈钢金属牙冠,在对乳牙进行适当调磨后,用粘接剂使之与患牙牢固而紧密地粘合。金属预成冠套在乳牙上可以保护乳牙并且增加牙齿的硬度,恢复牙齿的外形和咀嚼功能,防止充填物的脱落、继发龋产生和牙体组织的折裂。可以保护患牙维持到被新生恒牙替换,然后随着患牙的自然脱落而终止它的使命。到目前为止,尚无任何充填材料在固位、咀嚼效能方面能优于这种金属预成冠。
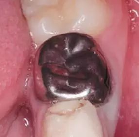
儿童乳牙金属预成冠(preformed metalcrown,PMC)是一个预先成型的、与牙齿非常贴合的不锈钢金属牙冠,套在乳牙上可以保护牙齿并加强牙齿的强度、恢复患牙正常咬合关系等,有效保护缺损较大的乳磨牙至替牙期,从而保证继承恒牙顺利萌出。该技术已较成熟,然而由于多种原因,其在国内的临床使用情况并不理想。
儿童乳牙金属预成冠(PMC)是一个预先成型的、与牙齿非常贴合的不锈钢金属牙冠(图1、2),套在乳牙上可以保护牙齿并加强牙齿的强度,能够确保乳牙正常健康地被恒牙替换。用金属冠恢复乳磨牙的外形和咀嚼功能,恢复患牙正常咬合关系,防止充填物的脱落、继发龋的产生和牙体组织的折裂,因此能有效保护缺损较大的乳磨牙至替牙期,从而保证继承恒牙顺利萌出,减少恒牙列错畸形的发病并促进后期颌面部的正常发育。
对于乳磨牙龋损,临床传统采用玻璃离子及光固化树脂充填,但由于乳牙体积小、牙冠短、牙体硬组织薄、洞型制备深度有限等问题,其固位形及抗力形较差,充填物易脱落,最终导致治疗失败。且由于传统治疗常不能恢复乳牙解剖外形及高度,因此无法建立正常的咬合关系,不利于颌面部生长发育及诱导正常恒牙列的形成。
且对于邻牙合面吻合龋,预成冠可有效恢复其邻接关系。预成冠的牙体预备所去除的组织较少,易恢复解剖外形、近远中径及其功能且操作比较简单,可有效解决玻璃离子、树脂类材料修复过程中所遇到的隔湿、继发龋及脱落等问题,减少了患儿后续就诊次数,延长牙齿存留时间直至其继承恒牙萌出。
当然,预成冠也存在一些缺点,比如颈部边缘密合问题,如果不能很好地与牙体组织贴合,则会造成食物嵌塞,导致牙龈炎;预成冠较薄易磨损;压迫牙龈;当剩余乳牙牙体组织高度不够时,预成冠容易脱落。
乳牙金属预成冠已是一项成熟的技术,且有充分证据证明其疗效优于树脂充填。
近几年,该技术在欧美等国家发展迅速,已成为临床治疗中较为常规的治疗手段。在美国,PMC的使用率可达80%,然而国内乳牙金属预成冠的临床使用情况并不理想。
据不完全统计,目前国内几大高等口腔院校附属医院对PMC的使用率情况,仅成都和西安达到50%以上,武汉为20%,上海约为5.5%,而广州、北京等地区甚至不足1%。有待于进一步在临床上大力推广和应用。
一项关于金属预成冠的调查显示,造成PMC不能广泛使用的原因有多种,就家长而言,对预成冠的认知度偏低,认为乳牙要被继承恒牙所替换,且不满意于预成冠的金属颜色,而海伦(Helen)研究发现上述情况经口腔医师解释后,大多数家长认为预成冠是保护牙齿的最好方法。另一原因,目前国内牙体组织修复已在医保范围之内,但金属预成冠仍未被纳入,由于其收费较高,这也部分影响了预成冠的使用,因此可适度扩大医保制度覆盖范围,增加家长对预成冠的接受度。
口腔科医师是对这一技术推行普及最直接和最有效的行动者,因此,临床工作中口腔科医师应当加强预成冠应用知识的普及,最大限度地消除由于传统观念带来的对该技术的抵触。
就医师而言,大多因为操作技术问题,起初临床耗时较长,且预成冠的安放不到位而压迫牙龈,很多医师就止于此阶段,究其原因多是对PMC的认识不够,随着对PMC学习的深入以及操作技术的提高,目前某些科室的操作水平已相当娴熟,平均15~20分钟即可完成预成冠操作。
因此,可以继续教育的形式使医师不断丰富知识,提高对PMC的临床使用率;同时由于预成冠收费标准不统一,部分地区PMC收费甚至要低于传统充填术,且不在医保范围,这也使医师对其的青睐度有所折扣。
金属预成冠修复多用于牙体大面积缺损的修复或间隙保持器的固位体,尤其是乳磨牙牙髓治疗后。到目前为止,尚无任何充填材料在固位方面能优于金属预成冠。
2)不能用复合树脂修复的乳恒牙釉质发育不全的修复;
3)遗传性牙齿畸形的修复,如牙本质发育缺陷及釉质发育缺陷;
4)牙髓治疗后,面临冠折危险的乳牙和年轻恒牙的修复;
7)各种固定间隙保持器的固位体,如第一乳磨牙用做远中导板保持器的固位体等。
1)缺点是预成冠与牙颈部的密合需由操作者用冠钳处理,易受人为因素的影响;
3)当乳牙牙冠高度不足,磨牙牙冠外形呈花蕾状时,如果冠的颈部收缩处理不好,易造成预成冠脱落。
1)牙体制备:首先清洁牙面,去除龋蚀组织。邻面的制备,经牙体的切割使近远中面相平行,或使牙体呈很轻微的圆锥形。若第二乳磨牙为牙列中最后一个牙时,远中面的制备比近中面稍深达龈下。牙颈部不能有肩台。
颊舌面一般不需要制备,除非颊面近颈部1/3处特别隆起,此处预备时应掌握适度,以免使牙体与预成冠间的空隙过大。颊舌面与邻面相交线角应制备成圆钝移行状。
颌面制备应注意对颌关系,着重切割颌面嵴。在颌面一般以去除1.0mm的牙体表面为佳。
2)预成冠的选择:按牙类及其大小选择合适的预成冠。预成冠的大小有两种表示法,一是以预成冠近远中径的大小定为各号码。另一种是在预成冠舌面印有此冠周径的大小,以mm计数。若用前者,应测修复牙的近远中径;若用后者,则应测修复牙比隆起部稍缩窄的近颈部的周长。测量常欠精确,故临床操作时需反复试比,才能最终选定。
为减少患儿的不适,也可以用间接法调试。即在牙体制备完成后,对该牙局部取模,翻制石膏模型,在模型上反复调试,缩短在患儿口腔内操作的时间和次数。
3)修整预成冠:参照所制备牙的牙冠高度及颈缘曲线形态,剪除、修整预成冠的高度及颈缘,颈缘以达龈下0.5-1.0mm为妥。用各种冠钳调整颌面的凹凸、恢复牙冠应有的隆起、缩紧牙颈部,尽力形成合适的解剖形态。
4)磨光颈缘、试戴合适:用金属剪修剪过的颈缘必须以细砂轮、橡皮轮等磨光,以免刺伤牙龈。粘固前必须调试,仔细检查颌面有无过高、牙颈部是否密合、成品冠的轴对修复牙及其在牙列中是否协调并观察其与邻牙的关系等。
5)粘固:经确认为适用的预成冠后,用玻璃离子水门汀或聚羧酸锌水门汀等进行粘固。
以上,就是一种好的烤瓷牙制作的过程。如果操作失误,就可能导致戴上后,牙龈红肿、疼痛,缝隙过大、食物塞嵌。
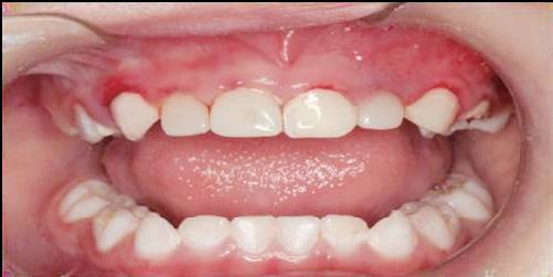
乳前牙透明树脂冠(图1)是一种外壳透明、与牙齿形态相近的预成冠。内部中空以容纳树脂,修复后须去除冠套,因此并非严格意义上的预成冠修复技术。
图1 乳前牙透明树脂冠
乳前牙透明树脂冠修复的适应证包括:① 乳前牙Ⅳ类洞;② 乳前牙多面洞;③ 牙体大面积缺损,无法制备固位形的乳前牙残冠;④ 牙髓治疗后的乳前牙;⑤ 外伤后的乳前牙。
② 每个牙位四种尺寸选择,几乎可以满足所有患儿需求
③ 适宜强度,冠不易变形且方便边缘修整④ 每个冠都标记牙位和尺寸信息,方便临床选择⑤ 预成乳前牙外形,临床省略堆塑步骤⑥ 冠完成后,树脂修复体表面光滑,省略抛光步骤
-
牙体预备:均匀切削1 mm间隙,邻面及颊舌面颈1/3保持2~5°切向聚合度(图2)。
-
选择透明树脂冠:应根据牙位及待修复牙齿大小选择合适的透明冠,可参照对侧同名牙。
-
预成冠修整:预成冠边缘应平齐颈缘或近龈缘,此步骤如能在直视下完成则较为理想,但临床上很难做到,这也是儿童口腔医师进行透明树脂冠修复面临的难点之一。
-
对冠进行修剪,磨光颈缘、试戴合适,打孔,注入树脂,冠就位后去除多余溢出树脂。
-
粘固:固化树脂、去除冠套,修理完成(透明冠质薄,用探针即可去除)。
-
图2 乳前牙透明树脂冠修复示意图
乳前牙透明树脂冠美观逼真,能较好地恢复解剖形态及邻接关系;可缩短固化时间及整个治疗时间;同时,还可对乳前牙进行修复塑性(图3)。其缺点在于技术敏感性较高、承受的咬合力相对较低,其可能对牙龈产生刺激等。

图3 乳前牙透明树脂冠修复前后
①牙体组织缺损情况:如果乳前牙牙体组织缺损少,可对牙体组织进行适当预备后,直接透明树脂冠修复,注意冠内树脂不要超过2/3;如果牙体组织缺损较多(如残冠、残根等),应进行乳牙桩核+透明树脂冠修复,树脂要充满整个预成冠。
② 咬合关系:如患儿就诊前咬合关系正常,冠修复后应注意维持;如患儿就诊前为对刃咬合,则可适度打开咬合;如为轻度反牙合,可适当恢复成正常牙合;如为严重反牙合,则应在恢复原咬合关系后进行反牙合的早期矫治。评价透明冠修复所需树脂量是否充足的标准是:透明冠完全就位后,冠颊舌侧边缘及溢出孔有树脂溢出。
-END-
声明:本文转载自<KQ88口腔医学网>,仅用于学习交流,如有侵权,请立即联系我们处理。内容仅代表作者个人观点,望大家理性判断及应用。