
间隙关闭,在美学领域中是一个重大挑战,尤其是在不完美之处显现非常明显的地方,如前牙。如今,技术的进步和对材料与技术进行的持续科学研究,已经简化了间隙关闭日常的临床实践操作,产生了可预测和有效的结果。
实现前牙的自然形状依赖于诸如轮廓、光反射、表面纹理和光泽等因素。本文将简述实现自然间隙关闭的基本操作方法。
病例
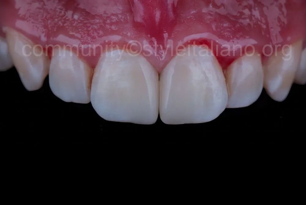
图1 初始情况。
特写视图显示中间和颈部区域有旧的悬突复合物的间隙。移除悬突复合物是放置橡皮障的必要步骤。
图2 隔离。
橡皮障隔离是确保粘接程序期间无潮湿工作环境的必要步骤。随后,使用25微米氧化铝进行了喷砂处理。
图3 成型片放置。
使用夹子b4以获得更好的收缩。之后,放置双成型片以关闭间隙。这些带子有效地将空间分成两个相等的部分。
图4粘接和固化。
在酸蚀和粘接牙齿后,使用流动复合树脂制作出现轮廓。随后,使用能够到达复合物深层区域的Eighteeth固化笔(Eighteeth,中国常州)进行光固化。
图5 复合材料操作
在为两颗牙齿创建出现轮廓并放置楔子以确保适当分离后,使用3M体色A2复合树脂对第一颗牙齿进行修复。随后进行光固化。然后,移除一个带子,并以类似的方式对第二颗牙齿重复该过程。
图6 唇侧表面复合材料放置。
在获得两颗牙齿的近中轮廓并移除第二个带子后,在唇侧表面放置了最终层的牙釉质色调。
图7 橡皮障下的最终情况。
在添加牙釉质色调后,立即使用粗砂盘开始重塑,随后使用增强型成品钻进行成品制作。最后,使用Jota抛光轮和Lucida抛光膏(Diashine)进行抛光,以获得最终的釉面。
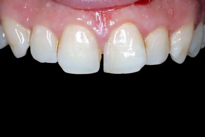
图8 最终情况。
移除橡皮障后的最终结果。牙医和患者对最终结果非常满意。
图9 最终情况。
侧视图显示了牙齿的三个平面。
总结
间隙关闭需要对细节进行一丝不苟的关注和利用先进技术。通过使用上述方法,不仅可以获得美观的结果,还可以获得可预测和持久的修复。









