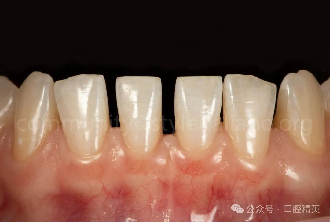
图1 患者就诊于我们的诊所,主诉关闭牙齿之间的间隙。临床检查显示牙齿和牙龈健康,使不备牙关闭间隙。通过使用瓷设计能够实现超薄修复体,在对牙齿结构的干预最小的情况下提供自然的外观。
图2 设计采用Exocad软件设计,保持最小允许厚度。两个独立的贴面被数字化建模-每个中切牙一个。
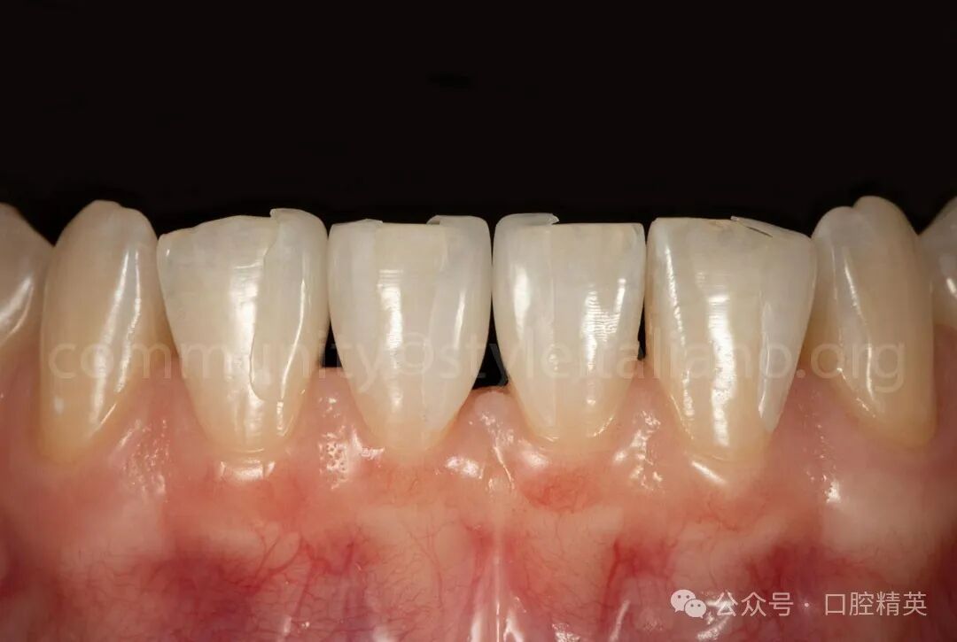
图3 在削薄过程中,与虚拟设计相比,修复体表现出轻微的崩碎。然而,这并不是一个问题,因为它们无缝地渐变到羽状的边缘。他们令人印象深刻的薄型轮廓突出了材料和技术的精确性。
图4 我们始终坚持"测量七次,切割一次"的原则。这种谨慎的方法确保了准确性,并最大限度地减少了过程中每一步的错误风险。
图5 在试戴过程中,贴面被定位在牙齿上,直到完全就位。在没有树脂水门汀粘接剂的情况下施加压力是危险的,因为薄的瓷可能会开裂。在粘接过程中,由于水门汀充当润滑剂,可以施加稍多的力,降低了断裂的风险。
图6 橡皮障隔离下进行。釉质用氧化铝喷砂处理,然后用磷酸酸蚀处理。在涂布和干燥粘结剂后,不固化。修复体处理后然后,用树脂水门汀粘接;参考义获嘉新款瓷粘接系统:
度戴结束后先用氢氟酸酸蚀瓷贴面,酸蚀牙齿20~60秒,然后冲洗干净,直到看不到氢氟酸的颜色。接着用吹风吹干。
涂偶联剂:在瓷贴面上涂上偶联剂,等待60秒后吹干,然后放入避光盒备用。
酸蚀牙齿:用酸蚀剂酸蚀牙齿牙釉质30秒,牙本质15秒,然后冲洗并吹干。
涂抹粘接剂:用小棉棒沾取粘接剂,涂抹在牙齿上,等待20秒后用气枪吹匀,并用光固化灯照射20秒;不太建议此时光照,可能会影响就位,一般跟瓷贴面一起光照。
注射树脂水门汀:将树脂水门汀注射到瓷贴面上,注意隔湿。牙贴面缓慢就位并加压,光固3秒后去除周边多余材料,涂上阻氧剂,然后每个面光固化20~60秒,最后清理阻氧剂。
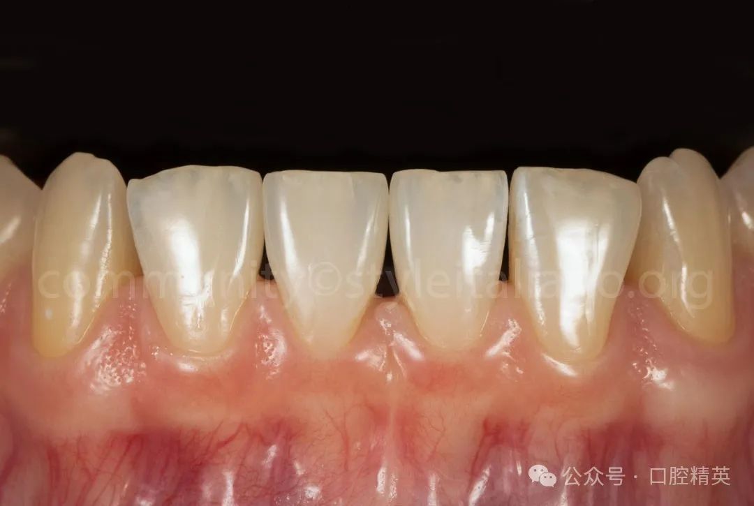
图7 粘接完成后,调颌、抛光。
图8 抛光也是在橡皮障隔离下进行的,这有助于最大限度地降低牙龈损伤的风险,并提供了更有效和可控的工作流程。
图9拍摄放射学图像以验证修复体的适合性,并确认无悬垂边缘。
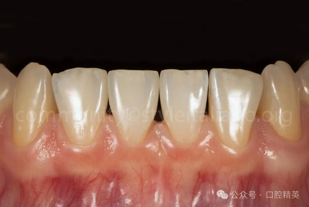
图10 修复后1周,修复体的最终外观显示出最佳的美学效果
结论
修复后的牙齿呈现出自然、和谐的外观。这种方法保留了天然牙齿结构的完整性,促进了长期的口腔健康,并最大限度地减少了并发症的风险。利用CAD / CAM技术可以制作出高精度、个性化的修复体,而免预备技术可以减少患者的不适感和治疗时间。
这个案例突出了现代数字牙科如何在最小的干预下提供出色的功能和美学结果。
-END-
声明:本文转载自<口腔学术在线>,仅用于学习交流,如有侵权,请立即联系我们处理。内容仅代表作者个人观点,望大家理性判断及应用。









