在复杂的口腔健康领域中,牙齿裂纹现象对患者和牙科专业人士构成了一个颇具挑战性的难题。牙齿裂纹是一个涵盖牙齿结构内各种裂隙和断裂的统称,其表现出的症状复杂多样且诊断难度高,往往难以通过传统的诊断方法进行判断。本文专门探讨了牙齿裂纹的多面性,深入研究其不同的表现形式、诊断挑战以及针对综合治疗的个性化策略。
穿越诊断迷宫
诊断牙齿裂纹是一项艰巨的任务,因为它们的表现形式各异且症状难以捉摸。传统的诊断手段,包括视觉检查、触诊及影像检查,在识别细微裂纹时(特别是在间歇性出现症状的病例中)常常力有未逮。
而诸如高分辨率口内相机、光谱分析和热成像等先进技术有望通过捕捉详细图像并识别牙齿结构内的微细裂缝,从而提高诊断准确性。
牙齿裂纹的症状因其类型和严重程度的不同而有所变化。以下是可能表明存在牙齿裂纹的一些常见迹象:
1.间歇性疼痛:牙齿裂纹的主要症状之一是间歇或短暂的疼痛。这种疼痛可能在咀嚼食物或咬合时出现,并可能因特定类型的食物或温度变化(冷热)引发。
2.敏感性增加:对热、冷或甜食饮品的敏感度增强,特别是当刺激源移除后仍感不适,是另一个常见的标志。这种敏感性可能出现在受影响的牙齿上,甚至也可能波及到邻近的牙齿。
3.放松咬合时的不适:患者在释放对受损牙齿的咬合压力时可能会感到不适或疼痛。这种疼痛可能并不在主动咬合时出现,而是在释放咬合力时显现。
4.咀嚼疼痛:牙齿裂纹可能导致咀嚼时感到疼痛或不适,特别是在咀嚼过程中向受损牙齿施加压力时尤为明显。
5.可见损伤:在某些情况下,在牙齿表面可能出现肉眼可见的裂纹,表现为明显的骨折线。然而,并非所有裂纹都能用肉眼直接观察到,有时需要放大镜或专业的牙科工具才能发现。
6.牙龈发炎:受影响牙齿周围牙龈持续的炎症或刺激有时可能是牙齿裂纹的伴随症状。
需要注意的是,并非所有裂纹牙齿都会有显著的症状,特别是在小型或表浅裂纹的情况下。此时,可能需要通过全面的牙科检查,甚至使用专业工具或影像技术来检测是否存在裂纹。
X射线检测牙齿裂纹
这是一项具有挑战性的任务,尤其是当裂纹较细或者延伸方向不易在X光片上清晰显示时。然而,根据裂纹的性质和范围,某些类型的裂纹或相关并发症可能在X光片上被观察到:
1.垂直根部裂纹(VRFs):发生在牙齿根部的垂直根部裂纹有时可以通过X光检测到。但VRFs在早期阶段可能并不容易看到,它们可能表现为从牙齿根部延伸出的一条细长垂直线。
2.表面细小裂纹或纹理裂纹:这些局限于牙釉质表面的微小裂纹通常在X光片上无法看见,因为它们并未深入到足以被传统牙科X光片捕捉的程度。
3.深入牙髓的裂纹:在某些情况下,较大且深入到牙齿内部的裂纹,可能影响到牙髓或神经组织,可能会在X光片上有显示。这可能表现为牙齿结构中的不连续或阴影,但较小的裂纹可能不易辨别。
4.间接征象:虽然裂纹本身可能并非总能被看到,但X光片可以揭示出暗示存在裂纹的间接征象,如周围骨质变化、局部炎症,或受累牙齿附近牙周韧带间隙的微妙改变。
要强调的是,并非所有的裂纹都能通过常规X射线检查检测出来。有时,可能需要额外的成像技术,如锥形束计算机断层扫描(CBCT)或更高分辨率的专业成像,以更有效地显示复杂或较小的裂纹。
处理牙齿裂纹需要基于裂纹的类型、严重程度以及患者的个体情况采取定制化的方法。以下是一些处理牙齿裂纹的各种策略:
观察与监测:对于表浅且无痛感的裂纹,牙医可能会建议定期监控而不立即干预。规律的牙科检查有助于追踪裂纹进展的任何变化。
保护措施:对于引起轻微症状的小裂纹,牙科专业人员可能采用牙科密封剂或粘接材料覆盖裂纹区域,以减少敏感性并防止进一步损伤。
定制修复体:较大的或更明显的裂纹,特别是那些影响到牙尖或咀嚼面的裂纹,可能需要定制修复体,如嵌体或高嵌体。这些修复治疗提供稳定性并对受影响的牙齿进行保护。
冠修复:严重影响牙齿结构完整性的广泛裂纹往往需要安装牙冠。牙冠覆盖牙齿可见部分,恢复牙齿强度并防止进一步破裂。
根管治疗:当裂纹延伸至牙齿内部牙髓,导致疼痛或感染时,需要进行根管治疗。该程序涉及清洁感染区域并封闭根管,以缓解不适并防止进一步并发症。
考虑拔牙:在裂纹严重、无法修复或延伸至牙龈线下深处的情况下,拔牙可能是唯一可行的解决方案。拔牙后,可以通过种植牙或桥等方式进行替换,恢复功能和美观。
个性化方案:每个患者的状况都是独特的,治疗计划必须个性化制定。在确定最合适的治疗方案时,会考虑整体口腔健康状况、裂纹的严重程度以及患者个人喜好等因素。
预防措施:治疗后,保持良好的口腔卫生习惯至关重要,包括定期刷牙、使用牙线以及进行牙科检查。此外,避免咀嚼硬物或紧咬/磨牙等习惯,有助于防止未来发生新的裂纹或损伤。
图1 表面纹理线(Surface Craze Lines)
这是指牙釉质内部极细微的裂纹,通常难以察觉且大多无害,偶尔可能会引起轻微的敏感反应,但通常不需要采取积极的治疗干预措施。
图2 折裂的牙尖(Fractured Cusps)
此类裂纹影响到牙齿的咬合面,通常是由于原有的大面积填充物或结构弱点所引起,会导致在咀嚼或咬合时产生不适。
图3 裂纹牙综合征(Cracked Tooth Syndrome)
其特征在于起始于咬合面并向根部延伸的深层裂纹,表现为在释放咬合压力时出现间歇性的剧烈疼痛或敏感性。
图4 裂纹牙综合征(Cracked Tooth Syndrome)
其特征在于起始于咬合面并向根部延伸的深层裂纹,表现为在释放咬合压力时出现间歇性的剧烈疼痛或敏感性。
图5 牙齿折裂(Split Teeth)
这是一种严重的状况,由于牙齿出现了广泛的裂纹,导致牙齿分离为明显的独立部分,这种情况通常需要进行复杂的治疗,可能包括拔牙和后续的修复。
图6
在X光片上,一个可能指示根部存在广泛折断或裂纹的标志性特征是“J形病变”,它从牙根的根尖部延伸至冠部,且常伴有牙根吸收现象,这一点在此张X光片上非常明显。
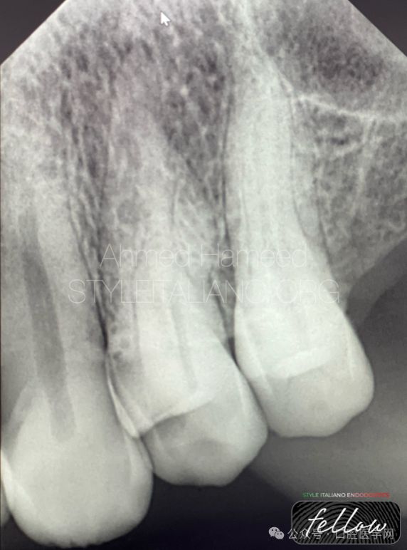
图7
这个临床案例展示了一条典型的从近中向远中方向延伸的牙釉质裂纹线,患者是一位49岁的女性,前来寻求对24牙的治疗。经过采集病史和主诉,了解到患者在进食热、冷食物或用这颗牙齿咀嚼时会有疼痛感,该牙齿叩诊时有轻微敏感。患者没有磨牙可供咀嚼,因此大部分咬合力都集中在前磨牙上,这让人推测裂纹可能已经延伸至牙髓部位,特别是该牙齿在冷热测试中未能恢复正常。
图8
根尖周X线片对于判断裂纹状况帮助有限,但它显示出一些根尖周变化以及近中侧的小病变,这就需要对X线片进行非常仔细的解读。
图9
去除龋坏后,我们可以看到裂纹线延伸到牙本质中,这意味着我们需要磨除更多的组织来追踪裂纹。
图10
这张照片显示了裂纹如何向牙髓延伸,导致牙髓坏死,因为从髓腔可以明显看出,裂纹仍在向根方延伸。
图11
这张照片显示了裂纹如何向下延伸到骨头,这意味着这可能是一个垂直的裂,它需要被拔除。
我们可以清楚地看到牙齿完全劈裂,这意味着除了拔除,没有什么好做的了。
图12 拔除是这里唯一的治疗方式。
结论
裂纹牙在牙科领域中是一个令人困惑的范畴,涵盖了多种不同类型,其临床表现多样且诊断具有挑战性。针对每种裂纹形式所带来的复杂性问题,采用个性化的治疗方法至关重要,这种方法应整合先进的诊断工具和定制的治疗方式。随着牙科科学的不断发展,持续的研究和技术革新有望揭示裂纹牙的秘密,力求在牙科健康领域提高患者护理水平和治疗效果。
-END-
声明:本文转载自<口腔学术在线>,仅用于学习交流,如有侵权,请立即联系我们处理。内容仅代表作者个人观点,望大家理性判断及应用。









