作者:新乡牙医艾肖飞
楔状缺损是牙齿唇颊侧颈部硬组织发生缓慢消耗所致的缺损,由于这种缺损常呈楔形因而得名。很多患者会出现敏感、牙龈退缩的症状,严重的甚至牙髓暴露及牙齿折断。
对于楔状缺损的治疗一般采用充填的方法,由于缺损的位置比较特殊,隔湿比较困难,充填体脱落时有发生,我们可以采用橡皮障下,用树脂突的方式进行隔湿,效果还是非常不错的。
一例临床病例作为展示,希望对大家有所帮助
患者 男 55岁 摄影师 牙齿敏感前来就诊
图一:24 25 颊侧颈部楔状缺损,探诊敏感,冷测敏感,经与患者沟通树脂充填
图2:局麻下上橡皮障
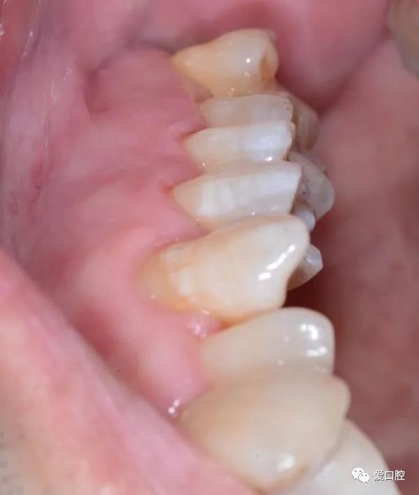
图3:用小挖匙压牙龈向龈方 可以看到缺损全部暴露
图4 图5 图6:在根面涂布自酸粘结剂 制作树脂突
图7:树脂突可制作稍长一点 已可以固定橡皮障为宜
图8:24 同样制作树脂突 翻转橡皮障,我们可以看到缺损完全暴露出来了
图9:牙体预备 清理缺损表面
图10 图11:隔湿不是问题 充填就简单啦
图12 图13 图14:手术刀休整树脂边缘 去除树脂突,并清理根面残留粘结剂
图15:抛光
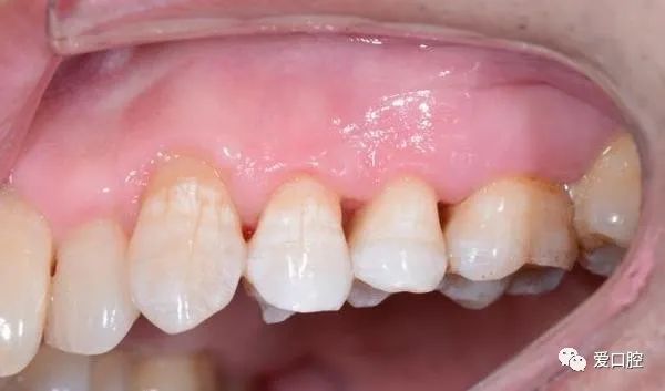
图16 图17:取下橡皮障 结果是不是还不错呢?
-END-
声明:本文转载自<爱口腔>,仅用于学习交流,如有侵权,请立即联系我们处理。内容仅代表作者个人观点,望大家理性判断及应用。









