文献解读
SIMPLICITY
深边缘提升的再思考
之前的文章我们介绍了关于龈下缺损的系统分类以及治疗指南,但是没有详细阐述不同类型的龈下缺损的细节操作流程。很多时候我们在临床上遇到需要深边缘提升的问题,我们有时候不能够很完美的处理好提升边缘,比如术区隔离不当或者成型片、楔子使用不当等等问题。本文从不同的病例图片充分的展示了不同深部缺损的操作细节和流程,也详细的表达了深部缺损的治疗思路。只有做好这些细节才能保证保证修复和牙周的长久稳定。
文章地址:龈下缺损的新分类及治疗指南(前磨牙RCT龈壁提升后全覆盖嵌体修复一例)
龈下边缘是牙科修复领域的一大挑战,直接和间接地对牙科技术和手术产生了重大影响。当临床医生面临深边缘的问题时,软组织总是一个障碍,因此,首先要决定的是如何进行DMA。为了进入龈下边缘并使其恢复,有多种方法可供选择。作者建议对DMA程序进行如下分类:
软组织的牵拉:橡皮障、软线、特氟龙
软组织的切除:刀片、激光、电刀
牙槽骨与软组织切除术:外科牙冠延长术
牙体组织抬高:正畸牵引、外科挤压技术、部分拔牙技术
虽然SCL、SET、PET和正畸牵引可以显著提高牙冠制备过程中的箍效应,但软组织的的切除则不能。因此,临床医生需要考虑遵循哪种策略。在本文中,作者着重探讨如何利用DME技术来处理龈下的临床病例,这些病例不需要额外的箍效应。
文献摘要
DME最初于1993年由Dietschi 和 Spreafico发明,意思是深边缘提升,考虑将复合树脂基底放置在间接修复体下的近端冠状边缘。作者认为在词汇上具有误导性,历史上是错误的,技术上也是错误的。从词法上讲,这是一种误导,这个词会让人联想到提升引起了边缘的移动,实际上在这个操作中,龋洞边缘的位置是不变的,没有明显的增加箍效应。临床医生只是通过一些充填物延长了窝洞边缘。因此建议保留首字母缩略词DME,但表示深边缘扩展。“提升”一词的使用应适用于矫正牵引、SET和PET在不影响牙槽骨术前水平的情况下真正改变了窝洞边缘的位置。
历史上是错误的,因为早在复合时代之前,DME就通过银汞合金和铸造金属在牙科中被广泛使用,即使在今天,作者仍然在选定的案例中使用(图1和图2)。技术上被误解了,因为DME不仅适合粘接间接修复,而且主要用于直接修复(两阶段方法)和常规冠粘接。
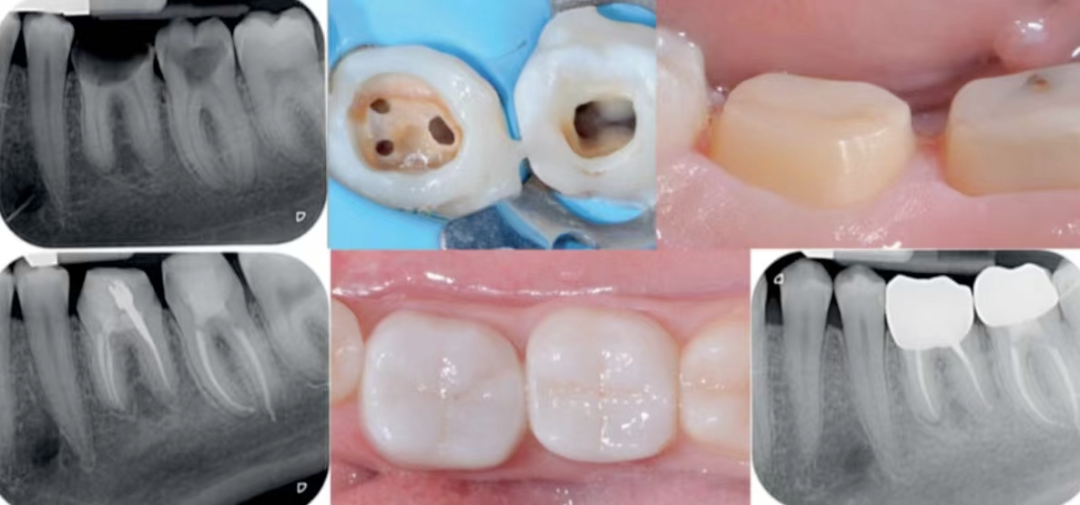
图1:龈下较深,游离龈缘下4mm,采用电刀进行DMA。封闭是通过特氟龙实现的。非解剖(无基质)银汞合金重建内部,进行无肩台预备,用来消除自由手DME带来的悬突,并产生箍效应。
图2:龈下很深,采用电切的方法进行边缘采集。封闭是使用特氟龙。非解剖(无基质)银汞合金内部重建,进行了E-max全覆盖。
DME:什么时候使用?为什么要使用?
在以下情况,作者认为DME是一个很有用的治疗方法:
·间接粘接修复(图2和图3)
·间接非粘接修复(图4和10)
·直接修复(图5和图6)
图3:远中龈下边缘。通过电切获得深部边缘。橡皮障实现隔离,解剖DME是通过楔子和成型片,特氟龙辅助实现的。粘接E-max嵌体。
图4:非解剖性DME和无肩台预备。龈下边缘在颊侧和远中。通过电切进行DMA。用橡皮障和特氟龙进行隔离。徒手进行DME。为了消除DME带来的悬突,获得箍效应,进行了无肩台预备。
图5 通过电切获得龈下边缘,橡皮障实现隔离。第一步:解剖DME使用成型片和塑料楔子。第二步:使用成型片建立邻面接触区域,楔子辅助固位。
图6: 通过电刀外科手术获得深部龈下边缘。通过橡皮障和特氟龙实现隔离。非解剖DME,自由放置可流动的复合材料。修整悬突。用橡皮障重新隔离。楔子固定成型片,获得与DME连续的接触面积和正确的邻面形态。一个月后复诊,显示龈乳头在电切后的恢复。
间接粘接修复在设计粘接间接修复时,临床医生必须根据粘接的需要和局限性来规划修复的边缘位置。因此,修复边缘应规划在龈上或橡皮障水平以上,以便能在干净安全的环境下执行粘接程序。直接修复的深部缺损边缘由于可以使用楔子、特氟龙和成型片协同作用,但是在间接修复中可能没有相同的可预测性。这是因为不可能使用可能干扰和阻碍间接修复就位的楔子。即使可能做到充分隔离,因为在固化之前需要消除多余的复合树脂,在边缘隔离中存在出血和破坏密封的风险。
间接非粘接修复
在设计间接非粘接修复体时,临床医生必须考虑到非粘接的局限性,规划修复体边缘的位置。传统粘接剂玻璃离子和磷酸锌的粘接与粘接程序相比有以下优点:
·粘接材料不会粘在复合材料上
·粘接材料硬化后很容易去除
·由于这种材料的耐湿性,该过程不需要用橡皮障进行严格的隔离
·由于耐湿性和硬化后去除材料的可能性(每个粘接过程的关键点都是硬化阶段),借助特氟龙,该过程在一定程度上可以在牙龈下进行。
·该程序对技术要求和敏感性较低,对临床医生的操作压力较小。
在龈下进行非粘接间接修复的可能性还有其他优点:
·获得更具有解剖形态的出龈轮廓和邻面形态
·减少树脂材料与软组织接触。陶瓷和氧化锆与软组织的生物相容性优于直接充填材料(复合树脂和银汞合金)。
这将转化为更可预测、更健康的结合上皮。
直接粘接修复
通过直接修复来管理深边缘对临床医生提出了一系列挑战。主要问题是找到一种能够在解剖学上到达深边缘的成型,同时提供适当的接触面积。大多数情况下,密封边缘的可能性与在单一步骤中获得正确接触面积的可行性是不兼容的。在这种情况下,作者建议在以体系逐步实行直接修复程序:
·第一步(DME阶段):获得颈部边缘的密封和解剖轮廓
·第二步:完成与解剖接触区域的修复。
使用一系列策略:(图5和图6的临床案例所示),两步法:
· 渐进式楔
·渐进式成型
·延迟式楔入
·延迟式成型
图7所示:使用渐进式和延迟成型的概念进行两步法直接修复。解剖DME使用特殊的楔子,将流动树脂放在楔子的冠状位置,使用车针调整树脂边缘,使得边缘光滑,通过成型片获得邻面接触的部分,最终完成修复。
DME技术:作者主要通过两种方式进行展示:
·解剖式
·非解剖式
解剖式DME方法需要根据颈部边缘解剖和所要创建的期望出现的轮廓,采用解剖式且适应性良好的成型系统。市场上有许多成型系统可用,作者更喜欢分段成型,而不是经典的圆形成型,因为圆形的往往产生更多的毛细线性,在许多的情况下使所获得的隔离无效。作者建议采用以下成型系统和楔子:
截面鞍式成型片。它们由50微米硬钢制成(非常坚固和易于操作),颈部区域的曲率最大(这一特点使它更容易到达颈部的深部边缘)图3
Bioclear成型片具有不同的曲率曲线(图5)
Bioclear 解剖型楔子 Sabre和Diamond。(图7和图8)
图8:通过解剖楔子的辅助形成的的DME。使用Bioclear生产的Sabre和Diamonds等解剖楔子,可以同时管理DMS和儿科牙科的DME。
由Bioclear成型系统DME,在儿牙根管治疗领域是非常有用的,并且非解剖的DME不需要任何辅助隔离的情况下填充材料,通过徒手操作进行平整修复,使用特氟龙来增强非解剖DME的治疗效果。非解剖DME操作相对简单,对技能和专业知识要求较低,同时,在某些特殊情况种选择不使用成型装置也是可行的,这样可以减少出血的情况和保持封闭。
DME及其生物原理
一些牙周病专家声称,当使用DME技术时,所谓的生物学宽度会被侵犯,BW在组织解剖学上由龈沟、结合上皮、和结缔组织附着组成。正如临床医生每天所看到的,龋齿从未达到或进展到牙槽嵴顶的位置,随着腐质发展的深入,连接的附着组织将会随之移动,每当我们接近一个龋齿时,最终的龋损边缘将轻微的冠状靠近牙槽嵴顶,大多数情况下冠状靠近结缔组织。原因是在“入侵”之后,唯一有生物反应的结构是结缔组织。结缔组织附着对表面有很强的选择性:它需要一边是牙骨质, 另一边是牙槽骨。随着龋齿的发展,牙骨质和牙本质遭到破坏,结缔组织会向顶端移动,始终保持相同的宽度。然而,在组织学上,Dragoo观察到,在用玻璃离子修复的龈下龋坏中,成纤维细胞和结缔组织与修复体粘连。相比之下,结合上皮对表面时没有选择性的,只要表面坚硬、光滑、干净就可以通过表面上的半桥粒结构简单并置形成。在“健康环境”中,这个表面由牙釉质为代表,可以是牙釉质、粘接水门汀、牙本质、复合材氧化锆或者钛。龈沟的选择性更差。
当我们治疗龋损至软组织水平时,临床医生用干净光滑的硬材料(复合树脂、陶瓷、氧化锆、金属等)(图9)取代腐质。因此,在DME之后,我们应该期望牙槽骨边缘保持相同的术前水平,周围的环境得到改善后牙槽骨和软组织可以形成健康的BW。
图9:DME和牙周原理。术前术后临床影像。以检查边缘骨水平。通过DME和氧化锆(垂直型预备)取代龋坏组织。
为了获得更深的边缘而进行的SCL手术可能会让牙周医生不舒服,出于以下原因,应将其视为最后的手段:
·暴露根分叉区域的风险,将龋齿患者转化为牙周病患者
·增加冠根比,这在机械的角度是不利的
·牙根表面暴露于口腔内,也影响邻近的牙齿。这对于龋齿风险较高的患者来说是有风险的·所谓的SCL在肩领效应上的优势 在某些情况下可能会对“箍效应”产生相反的影响, 迫使临床医生进一步破坏牙颈部的牙体组织,而这是生物力学中最关键的部位 。
现在,由于修复和修复牙科设备(如显微镜)的提升和 材料(如特氟龙)的引入,避免SCL因龋齿而获得较深的龈下边缘只是一个技能和专业知识的问题。
因此,即使考虑到SCL,也应将其作为第二选择 ,肩领恢复的需要:临床医师应考虑这一目标 主要不同于DMA手术,如正畸 牵引,SET和PET.
结论
在间接修复领域,作者根据他的经验,建议将DME的使用限制在非粘接间接修复(图10),这与Dietschi, Spreafico 和 magne的建议相反。这一建议源于以下临床问题:
图10:通过橡皮障和特氟龙实现隔离。非解剖DME,通过可流动的复合材料实现,徒手放置。根管治疗保留后才进行垂直预备,氧化锆单冠修复。
·避免粘接剂和DME复合材料的粘接是不可能的,即使在显微镜下,作者的经验表明,实际上也不可能得到完美的清理。
·由于DME是使用复合树脂材料,其硬度高,粘接性强,导致在去除时十分困难。
·复合树脂材料与天然牙牙组织(如釉质)不可避免的混合,形成悬突。有时候牙颈部呈现出锯齿状,并且有凹陷,这使得无法进行复合材料的清理。(图11)。
图11:锯齿状波浪边缘和极端凹陷边缘,这种情况是用任何成型系统都无法完美控制的。
·由于成型片的存在,会增加出血的风险,使得封闭失败。
·由于DME的“不友好”几何形状,临床医生在通过DME创建解剖轮廓和技术人员在塑造解剖邻面轮廓方面存在困难(图12)
图12: DME和邻面几何轮廓。术前术后X线,临床医生无法复制自然的邻面解剖轮廓到DME上,牙科技师也无法创建邻面解剖轮廓。
·在较深的龈下案例中,通常由于冠部的破坏,临床医生还需要使用牙冠修复(垂直型预备)创造“箍效应”。(图10)
磨牙龈壁提升高嵌体修复一例
术前照片
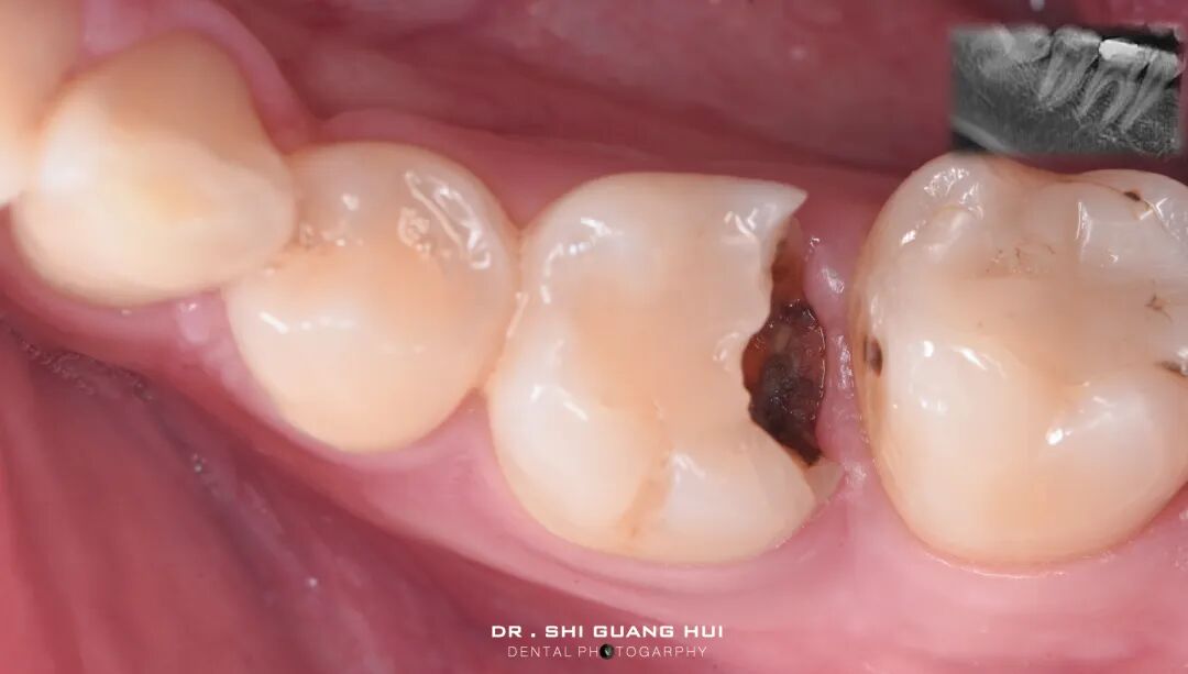
主诉:右下后牙充填物脱落3天。
现病史:患者自诉右下后牙五年前在外院充填,3天前充填物脱落,否认自觉症状,由于食物嵌塞,影响进食,遂来我院就诊。
既往史:体健。
口腔检查:46远中邻面可见深大龋洞,窝洞内可见黑褐色腐质,质软,至牙本质深层。冷诊无明显反应。叩痛(-),牙髓活力测试正常。
辅助检查:46根尖未见异常。
诊断:46深龋
治疗方案:46嵌体修复

局部麻醉下进行去除腐质,可见远中邻面边缘位于龈下。由于近髓,剩余核心区域腐质橡皮障隔离后再进行去除。
橡皮障隔离患牙,去净腐质,然后进行详细的生物力学分析,远中舌尖无牙本质支撑,需要牙尖覆盖,降低1.5mm左右,远中颊尖厚度足够。近中邻面边缘嵴完整,远中邻面边缘需要进行CMR。

圈型成型片完美隔离,喷砂牙本质表面,将牙本质表面进行37%磷酸酸蚀15秒,轻轻风干5秒后涂布粘接系统,进行IDS。

进行IDS,远中邻面进行CMR

进行牙体预备,抛光牙面,保持内线角圆钝,检查功能尖和洞缘的距离。

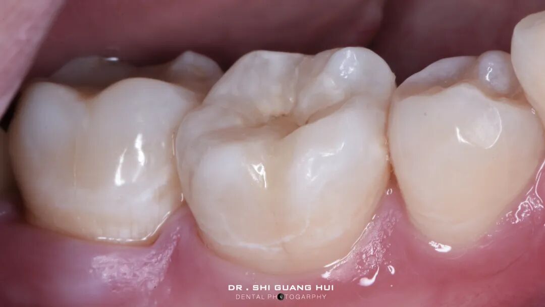
修复体制作完成,检查边缘密合性,邻面接触。
氢氟酸处理修复体,超声震荡后,涂布硅烷偶联剂静置。

橡皮障隔离四个单位,清洁,抛光牙面。

试戴修复体,检查修复体就位情况,边缘密合性。

试戴颊侧观

27微米氧化铝进行牙面喷砂

颊侧观,可见粘接面平坦。

进行磷酸酸蚀。

舌侧观

树脂水门汀粘接,去除多余粘接材料

各个面光固化60秒。

粘接后即刻

粘接后颊侧观,可见边缘密合。
邻面接触尚可

进行牙面抛光。

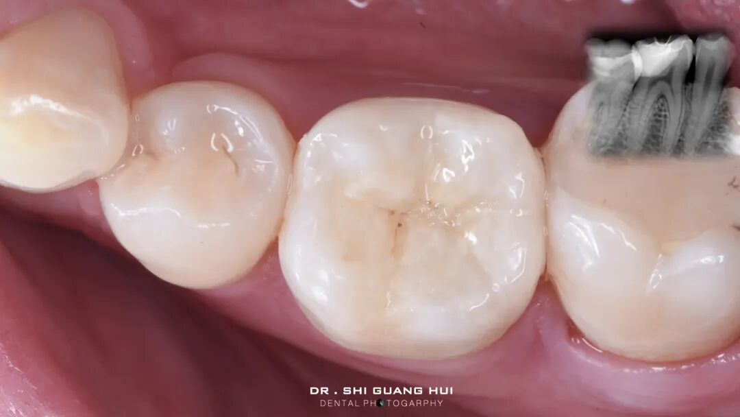
粘接后口内即刻。

咬合检测

口内颊侧观
术前术后对比
参考文献:
1. Cohen ES. Crown lengthening.Atlas of cosmetic andreconstructive periodontal
surgery. Third edition.
2. Kim CS, et al. Surgical extrusiontechnique for clinical crownlengthening: report of threecases. Int J PeriodonticsRestorative Dent 2004; 24:
412-421.
3. Lee JH, Yoon SM. Surgicalextrusion of multiple teeth withcrown root fractures: a case reportwith 18 months follow up. DentTraumatol 2014; 31: 150-155.
4. Gaetani P, Guazzi P. Alternativetechnique of dental extrusion forprosthetic purpose.EC DentScience 2015; 4: 164-166.
5. Jotkowitz, Samet N. Rethinkingferrule - a new approach to an olddilemma. Br Dent J2010; 209: 25-33.
6. Dietschi D, Spreafico R. Currentclinical concepts for adhesivecementation of tooth-coloredposterior restorations. PractPeriodontics Aesthet Dent 1998;10: 47-54.
7. Gargiulo AW, Wentz FM, Orban B.Dimensions and relations of thedentogingival junction in humans.J Periodontol 1961; 32: 261-267.
8. Dragoo MR. Resin ionomer andhybrid-ionomer cements: Part II:Human clinical and histologicwound healing, responses inspecific periodontal lesions. Int J Periodontics Restorative Dent1997; 17: 75-87.
9. Capri D, Kachouh I, Van Dyke T,Nunn ME. Dibart S. Crownlengthening in mandibular
molars: a 5-year retrospectiveradiographic analysis. Periodontol2003; 74: 815-821.
10. Magne P, Spreafico RC. Deepmargin elevation: a paradigmshift. Am J Esthetic Dent 2012; 2: 86-96.









