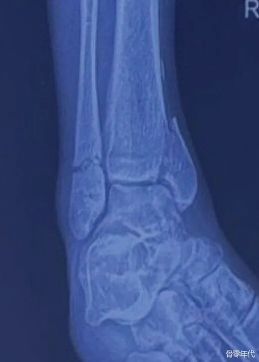
影像学表现
2
讨论
参考文献
Sankalp, Lal,Amit Kumar, Jha,Prabhanjan, Agrawal et al. Triple-Segmental Shaft Femur Fracture: A Case Report.[J] .J Orthop Case Rep, 2025, 15: 149-153.
-END-
声明:本文转载自<骨零年代>,版权归原作者所有,仅用于学习交流,如有侵权请联系删除
2025
作者
骨零年代
影像学表现
2
讨论
参考文献
Sankalp, Lal,Amit Kumar, Jha,Prabhanjan, Agrawal et al. Triple-Segmental Shaft Femur Fracture: A Case Report.[J] .J Orthop Case Rep, 2025, 15: 149-153.
-END-
声明:本文转载自<骨零年代>,版权归原作者所有,仅用于学习交流,如有侵权请联系删除