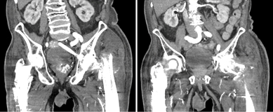
一名 85 岁男性因左股骨转子间骨折接受了短头髓钉固定术。跌倒后,检查显示头髓螺钉从内侧上移位到盆腔中。血管造影显示螺钉尖端位于髂骨分叉处 2 厘米以内,没有出血或内脏损伤的证据。
骨科、血管和普外科医生在内的多学科团队合作进行手术取出。
术前检查:
术后X线片
再次外伤后,拉力螺钉上内侧移位
螺钉取出后的X线片显示骨折不愈合。

返修手术前规划:髋关节置换。
与患者和家属讨论后,他们希望继续进行非手术措施以促进骨折愈合。初次受伤后4个月的连续影像学检查显示,骨折已经愈合。
该病例凸显了早期影像学检查的重要性、高度怀疑以及处理复杂手术并发症的多学科方法。当常规翻修方法无法实现时,腹腔内取回和血管手术待命对于避免危及生命的结果至关重要。
参考文章:(“The Wayward Screw”: A Rare Case Report of Intrapelvic Migration of a Cephalomedullary Lag Screw)
-END-
声明:本文转载自<骨科青年>,版权归原作者所有,仅用于学习交流,未经授权禁止转载。









