踝关节骨折是常见损伤,年轻人群中多由运动损伤导致,老年人群中则常因跌倒引发,美国的发病率约为4.22/万人年。踝关节骨折包含多种亚型,其中三踝骨折累及外踝、内踝和后踝。针对后踝,有一种被称为 “后Pilon骨折” 的类型,被认为是后踝骨折的衍生类型。1996年,Huber等将伴有胫骨关节面结构破坏和距骨向近端移位的后踝骨折描述为踝关节Pilon骨折。2000年,Hansen等提出 “后Pilon骨折” 这一术语,用于描述特定类型的三踝骨折,该类骨折在撕脱的后侧骨折块正前方存在额外骨折块。2004年,Weber等将延伸至内踝后丘的后踝骨折定义为一种特殊类型,并指出其存在后内侧(PM)骨折块,且该骨折块通常被认为大于后外侧(PL)骨折块。这种特定骨折类型被认为是足部受到垂直力与旋转力共同作用,累及胫骨远端后侧关节面所致。
后踝骨折分型系统
后踝骨折的三大核心分型系统由Bartoníček等人、Haraguchi等人和Mason等人提出,均以计算机断层扫描(CT)为诊断工具。Bartoníček等人基于轴位、冠状位、矢状位及三维重建图像提出5种类型;Haraguchi等人仅通过轴位图像将后踝骨折分为3种类型;Mason等人则将后踝骨折分为4种类型。
▲后踝骨折分型系统。
后Pilon骨折分型系统
文献中发现4种后Pilon骨折分型系统,分别由Klammer等人、Wang等人、Yu等人和Zhang等人提出。Klammer等人将后Pilon骨折分为3型,Wang等人分为2型,Yu等人分为3型,Zhang等人分为5型。
▲后Pion骨折分型系统。
尽管已有用于描述后踝骨折和后Pilon骨折不同亚型的分型系统,本文提出一种新的分型系统,以简化命名规则并助力标准化治疗。首先根据骨折块形态和关节受累情况,明确区分后踝骨折、后Pilon变异型骨折和后Pilon骨折的定义。
后踝骨折
通常累及胫骨远端后侧边缘,多由踝关节旋转损伤(如旋后-外旋损伤)导致。骨折可能未明显延伸至胫骨远端后侧穹顶及踝关节负重面,在侧位X线片上表现为小型三角形骨折块,CT检查可能显示无关节受累或仅轻微受累。治疗方案取决于下胫腓联合复合体的稳定性,部分病例可能无需固定。

▲图示为后踝骨折,包含踝关节侧位视图、踝关节轴位视图,以及踝关节侧位影像。
后Pilon变异型骨折
以大型后内侧骨折块为特征,因旋转力和轴向力作用呈现Pilon损伤的特点,导致后内侧明显受累及关节面不平整,严重程度介于后踝骨折和后Pilon骨折之间。CT检查可证实后内侧骨折块延伸至胫骨远端后侧穹顶,且存在关节面不平整,此类骨折可能伴随距骨半脱位及不同程度的软组织损伤。与后外侧入路相比,采用后内侧入路直接固定可缩短骨折愈合时间,并降低神经血管并发症风险。

▲图示为后Pilon变异型骨折,包含踝关节侧位视图、踝关节轴位视图,以及踝关节侧位影像。
后Pilon骨折
由高能轴向压缩损伤(如高处坠落)引起,累及整个胫骨远端后侧穹顶,包括后柱和内侧柱。骨折常表现为粉碎性和关节面压缩,类似典型胫骨Pilon骨折但局限于后侧,多由轴向负荷(如垂直压缩)导致。CT检查显示广泛关节面压缩、骨折块较大,且常累及胫骨后柱和内侧柱,骨折块面积比等参数较后踝骨折更显著,通常归类为AO/OTA 43-C 型。由于软组织损伤严重,通常需要分期手术治疗:先进行外固定,再实施钢板内固定。

▲图示为后Pilon骨折,包含踝关节侧位视图、踝关节轴位视图,以及踝关节侧位影像。
与标准后踝骨折相比,Pilon变异型骨折和后Pilon骨折的延迟愈合、畸形愈合及创伤后关节炎发生率更高。
后踝骨折、后Pilon变异型骨折和后Pilon骨折通常需要手术固定,手术入路包括后外侧入路、后内侧入路或联合入路,非手术治疗也有应用,但范围较窄。
非手术治疗
非手术保守治疗通常采用非负重短腿石膏固定。
手术入路
各类型骨折的治疗选择
后踝骨折:首先需评估下胫腓联合复合体的稳定性,这是制定后续治疗方案的关键。尽管外旋试验和腓骨平移试验等体格检查可初步评估下胫腓联合稳定性,但作者认为,最准确的方法是进行应力位踝关节CT检查或负重CT检查。若影像学检查显示下胫腓联合稳定,且骨折块较小,非手术治疗即可;若下胫腓联合不稳定,建议采用后外侧入路手术固定,以便直接观察和显露骨折块,实现精准复位和稳定固定。需注意的是,部分病例可仅固定下胫腓联合复合体,无需固定后踝骨折块,因此并非所有病例都需要确定性固定。文献回顾显示,后踝骨折最常用的手术入路为后外侧入路,其次为后内侧入路,有1项研究采用关节镜下后侧复位内固定术,5项研究报道了非手术治疗。
后Pilon变异型骨折:由于骨折块较大且存在关节面不平整,通常不适合非手术治疗,需手术固定。鉴于此类骨折以大型后内侧骨折块为特征,推荐采用后内侧入路。文献中,后Pilon变异型骨折的常用手术入路同样为后外侧入路和后内侧入路,上述关节镜下复位内固定术也用于此类骨折的治疗,另有2项研究报道了非手术治疗。目前尚无明确统一的手术入路标准,最终方案由外科医生自主选择,但基于上述理由推荐后内侧入路。
后Pilon骨折:是三种骨折类型中最严重的一种,涉及高能轴向压缩,伴随广泛关节面压缩和粉碎,累及后柱和内侧柱。由于软组织损伤严重,通常需要分期手术:先进行外固定,再实施内固定。对于粉碎性骨折块,需采用后外侧与后内侧联合入路进行固定;若骨折块较大且无粉碎,可采用微创前侧空心螺钉固定。文献中,有2项研究采用联合入路治疗后Pilon骨折,也有研究单独使用后外侧入路或后内侧入路,1项研究报道采用短腿石膏进行非手术治疗。

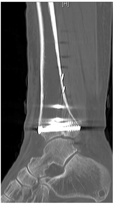
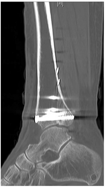
▲后Pilon骨折术后矢状位计算机断层扫描。

▲各类型骨折的治疗流程如图。
-END-
声明:本文转载自<足踝一昇>,版权归原作者所有,仅用于学习交流,未经授权禁止转载。









