一,背景:
双钢板固定技术已广泛应用于肱骨远端骨折手术中。近年来,此技术也逐渐被应用在其他上肢骨折手术。尽管其最初常用于骨折不愈合的翻修手术,但如今也被广泛应用于上肢各种复杂骨折的初次固定。双钢板的高生物力学强度在高弯曲和扭转应力区域(如肱骨干)具有显著优势。例如:额外的前置钢板在复杂的肱骨近端骨折中提供了更高的固定强度,降低了复位丢失的风险,并能直接固定小结节的骨折块。
二,相对于标准的单钢板固定术,双钢板的优缺点:
优点
-
提高初始稳定性
-
更好的力学分布
-
提供额外的固定选项
-
降低骨折不愈合率
-
无已知感染率增加
缺点
-
手术时间延长
-
材料成本增加
-
可能需要扩大手术暴露范围
-
植入物移除更复杂
-
潜在更高的并发症率
三,双钢板的适应征:
-
具有高内在不稳定性和骨质疏松结构的骨折中; -
关节内和干骺端骨折,以及关节囊韧带对关节骨折块具有高张力时; -
骨折内固定失败的翻修; -
骨折不愈合(或骨折延迟愈合); -
在高弯曲或扭转应力部位的骨折(如肱骨骨折)。
四,双钢板技术的应用:
4.1 锁骨骨折的双钢板固定:常用于锁骨骨不连的翻修手术,或锁骨近端骨折的固定。如下图,
锁骨近端骨折术后8周,出现肥大性骨不连,内固定失效。
2.4,2.7mm LCP 双钢板翻修手术,10个月骨性愈合。
4.2 肱骨近端骨折:对于骨质较差且不稳定的骨折类型,可在肱骨近端前方加用一枚钢板,尤其是在以下情况下:
如下图:45岁女性,肱骨近端粉碎的内翻型骨折,外侧PHILOS钢板+前方1/3管型板固定。
4.3 肱骨干骨折:常用于肱骨干骨折骨不连的翻修手术,由于肱骨干骨折存在较大的扭转和弯曲应力,所以也经常一期应用双钢板固定技术。
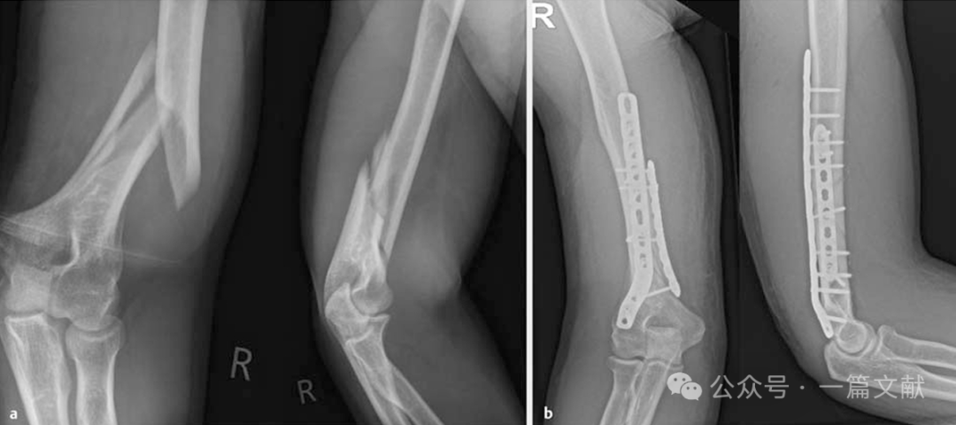
如下图:42岁患者,肱骨干粉碎骨折,一期行髓内钉内固定手术,3周后骨折移位,内固定失效,予外侧PHILOS钢板+前方3.5mm LCP 固定翻修 。
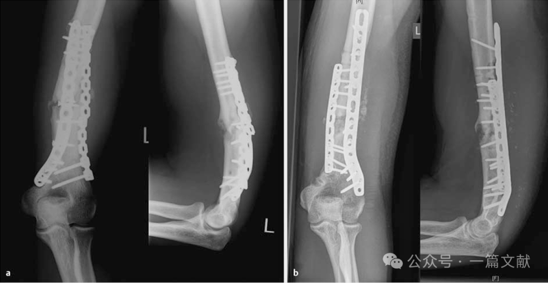
29岁患者,肱骨干骨折内固定失效后,予翻修手术,拆除原钢板,清理骨折端,桡背侧3.5mm钢板+尺侧3.5mmLCP板固定。
下图为,28岁年轻人,掰手腕导致骨折,背侧入路,肱骨远端桡背侧3.5mm钢板+尺侧3.5mmLCP板固定。
4.4 肱骨远端骨折:肱骨远端骨折的双钢板固定已成为临床实践中的标准手术方式。当前达成的共识是,A2型和A3型骨折以及所有C型骨折均应采用双钢板固定技术。建议选择不同长度的钢板,或者在使用相同长度的钢板时,避免同时拧入两块钢板最近端的螺钉。
关于两块钢板的分布方式仍存在争议。虽然平行放置在生物力学上具有优势,但在临床实践中尚未发现显著差异。同样,使用不同螺钉直径的各种钢板系统对手术结果也无显著影响。
如下图:45岁女性患者,肱骨远端骨折(AO 13C3型): 采用双锁定钢板固定,钢板呈90°放置。鹰嘴截骨术后通过钢丝张力带固定截骨部位。
4.5 尺骨鹰嘴或尺骨近端骨折:
尺骨近端骨折可采用不同的固定方式。简单骨折可通过钢丝张力带固定或标准背侧钢板固定。两种手术的功能结果相当,但由于软组织刺激,通常需要取出植入物。
对于更复杂的尺骨近端骨折,则更倾向于采用双钢板固定。背侧结合内侧的钢板或两侧钢板放置,可用锁定钢板(LCP)。也适用于Monteggia骨折或类似Monteggia损伤的治疗,以及尺骨近端骨折不愈合的翻修病例。
如下图:55岁患者,患有类似Monteggia损伤:左图:尺骨近端粉碎性骨折,初期采用外固定架进行固定。中图和右图:桡骨头螺钉固定,以及尺骨近端双钢板固定(背侧和尺侧LCP)。
下图:26岁女性铁人三项运动员,鹰嘴骨折Mayo 2b型:左上图:术前显示鹰嘴骨折。右上图:术中首先对关节面进行复位,并使用克氏针暂时固定。下图:随后采用双钢板固定骨折。
参考文献:Katthagen JC, Schliemann B, Michel PA, Heilmann LF, Dyrna F, Raschke MJ. Clinical Application and Outcomes of Upper Extremity Double Plating. Z Orthop Unfall. 2020 Apr;158(2):227-237. English, German. doi: 10.1055/a-0862-1070. Epub 2019 May 9. PMID: 31071729.
-END-
声明:本文转载自<一篇文献>,版权归原作者所有,仅用于学习交流,未经授权禁止转载。









