股骨转子间骨折是临床常见骨折,随着人口老龄化进程的加剧,其发病率还在不断上升。髓内钉固定是目前治疗股骨转子间骨折的常用方法。今天早读就为大家详解转子间骨折的髓内钉治疗及技巧,值得大家学习参考!
(一)股骨转子间骨折
1.特点:
-
老年人多发病
-
骨质疏松
-
发病率上升
2.AO临床资料统计结果
-
2010年15-20%(>65岁)
-
78.9%的股骨近端骨折病例均为年龄大于65岁的老年人
-
股骨近端骨折发生率(1.2~2.0%)
-
股骨近端骨折中:
--股骨粗隆间骨折35.7%(31-A1/A2)
--股骨粗隆间反向骨折7.3%(31-A3)
--股骨粗隆下骨折3.2%
国外数据提示69%老年髋部骨折患者伴有骨质疏松
1996-2000年期间,34363名退伍军人中髋部骨折的发生情况
3.AO分类
4.早期手术内固定已成为共识
-
稳定的内固定
-
早期下床活动
-
减少并发症
-
降低死亡率
-
48小时之内进行手术
5.转子间骨折治疗的历史回顾
-
1956年 Storen报道股骨近端骨折的死亡率和病残率直接与保守治疗有关
-
50年代后期A0推出95°/130°角钢板
-
60年代后流行动力髋部螺钉(DHS)
-
60年代后期 Kuntscher推出CC( Condy locephalic)钉
-
70年代出现 Ender钉
-
80年代开始逐步使用交锁髓内钉治疗
-
90年代后期出现 Gamma nail和PFN
-
现在发展:Gamma3和PFNA、 Trigen InterTAN等
(二)主要治疗方法
-
钉板系统:DHS、DCS等
-
髓内系统:PFN、r钉等
-
外固定系统:外固定支架
-
其他(关节置换)
1.钉板系统
六十年代后一度成为标准术式:
2.髓外DHS固定作用原理
-
加压与滑动双重功能
-
稳定性较差
DHS的缺点:
对于粉碎性不稳定髋部骨折,由于颈后内侧皮质缺损,压应力不能通过股骨矩传导致:
-
内植物上应力增大
-
螺钉切割股骨头
-
网板疲劳断裂
-
骨折不愈合
-
畸形愈合等并发症
发生率6%-19%
如下图:极易导致固定的失败,现已作为禁忌症。
主要是临床医师对其力学特性认识不足造成的,纯属医源性因素。
3.DCS的优点:
相对DHS而言,DCS对上述情况有其明显的优点:它可根据骨折的具体情况正确选择螺钉的入点,手术操作方便。
-
动力加压拉力螺钉与钢板呈95°角,适合股骨近端的解剖结构特点,符合髋部的生物力学要求;
-
DCS类似悬臂梁系统,负重时负重力首先加于钢板的短臂,然后再分散至各螺钉上;
-
由于应力分散,折端不易变形,且借助长拉力螺钉使固定呈三角化,固定异常牢固。
DCS入点高因而可于骨折近端增加了数枚螺钉固定,増加了近端的抗屈曲旋转能力,达到牢固固定,从而一定程度上降低术后并发症发生率,补充了DHS对粉碎性骨折的不足。
4.治疗方案的选择
-
动力髋镙钉:金色标准?
-
在稳定的不复杂的骨折治疗方面,表现良好;
-
在不稳定的复杂的骨折治疗方面,表现不理想;
DHS 较适合31-A1型稳定骨折的固定
由于DHS不足,出现了大转子稳定接骨板
-
扩大DHS临床指征
-
防止大转子外移
-
防止股骨干内移
-
稳定大转子骨块
并未从根本上解决生物力学问题。
以髓内固定为主:
一组以股骨近端钢板固定报道
-
29例,30侧
-
平均年龄:56岁
-
骨折类型:OTA 31A3
-
随访20个月
-
11例固定失败
失败率:37%
髓内固定成为首选趋势
更多骨科医生倾向于选择髓内钉治疗转子间骨折。
1999年以来,髓内钉治疗转子间骨折呈显著上升趋势
2002~2006年,美国大部分地区使用髓内钉治疗转子间骨折比率从15%上升至70%
(三)髓内系统
髓内固定
-
是复杂粗隆间骨折内固定优先采用的方法;
-
种类众多:r钉(r2、r3),PFN,PFN一A,Trigen Intertan, ITST等;
-
基本原理相同,各有设计特点;
-
以 Gamma,PFN,PFN-A为代表介绍。
2000年的选择:
滑动的重要性:
-
平行插入两颗螺钉很困难
-
骨松质的保持能力是一大顾虑
-
两根动力螺钉:股骨颈有可能不能容纳——平均股骨颈直径为30mm
-
插入克氏针非常困难
-
据报道,两根动力螺钉间的骨质会退化——股骨头坏死的危险
材料的强度:
防旋转滑动螺钉会受力弯曲
(四)介绍几种复位方法
1.撬拨技术
用克氏针或斯氏针对移位的骨折块进行撬拨复位。
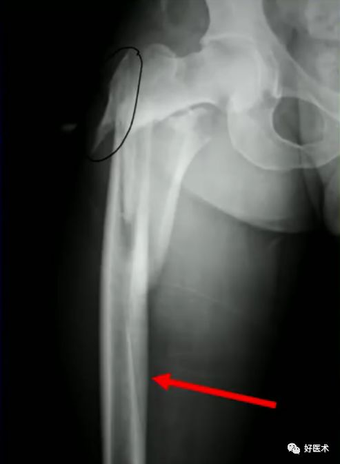
病例一:女 94岁
体表定位与撬棒置顶
撬棒置顶后内收情况
正位进针位置调整情况
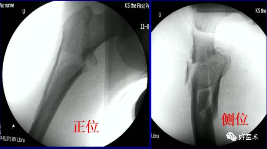
主钉插入后的导针正侧位
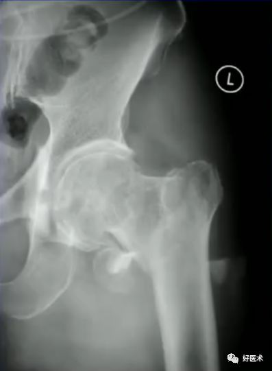
病例二:女 75岁
术前复位:
定位:
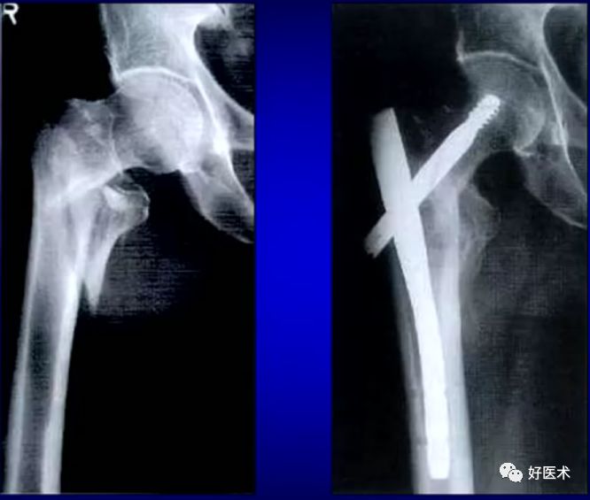
术后:
2.顶棒技术
用钉棒顶压移位骨折块来帮助复位。
病例三:女 82岁
四部分骨折,髓内钉,钢板
3.钳夹技术
用复位钳、毛巾钳或骨盆复位钳钳夹移位骨块帮助复位。
4.有限切开复位
5.避免进钉点失误
进钉点偏外易造成髋内翻
头钉的尾部要置于外侧骨皮质外而不能埋入皮质下
6.正确的股骨颈正侧位
侧卧位如何透股骨颈的侧位:
-
标准侧位
-
球管20-30°
侧卧位行转子间骨折固定
病例:男,34岁,高处坠落伤,仅骨折余正常
处理方法:
-
髓内钉(开放VS闭合)
-
钢板
-
其他
术前牵引
开口、定位
术中过程
-END-
来源:本文为好医术作者原创整理,原课件老师王秋根教授,仅用于学习交流,未经授权禁止转载!









