脊柱转移瘤(metastatic spine tumor surgery, MSTS)术后内固定失效(symptomatic failures, SFs)的发生率为1.9-16%,但其危险因素的研究报道较少。目前尚不清楚是否所有MSTS患者中的SF都需要翻修手术。2020年,新加坡国立大学的Gabriel Liu教授等评估转脊柱肿瘤患者术后症状性内固定失效的发生率和临床表现,分析相关的危险因素,并根据SF患者的治疗方法对其进行分类,研究结果发表于《Asian Spine J》杂志。
我们对2005-2015年间接受MSTS治疗的288例患者(最终分析246例)进行了回顾性分析。收集的数据包括人口统计学、围术后临床和影像学特征。采用了单因素和多因素风险回归分析模型,以确定将死亡作为竞争事件的SF的危险因素。Implant failure:内固定失效被定义为影像学上可观察到的内固定松动或断裂,而骨形态没有明显变化。Construct failure:结构性失效定义为放影像学上可观察到的内固定/骨结构外观或完整性的变化。患者存在Implant failure/Construct failure,并表现出疼痛和/或神经功能障碍和/或活动能力较术后明显下降,则认为SF。

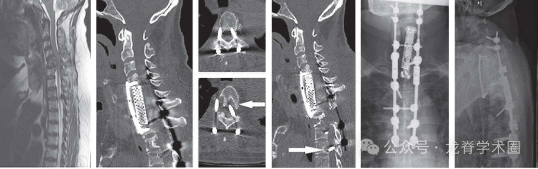
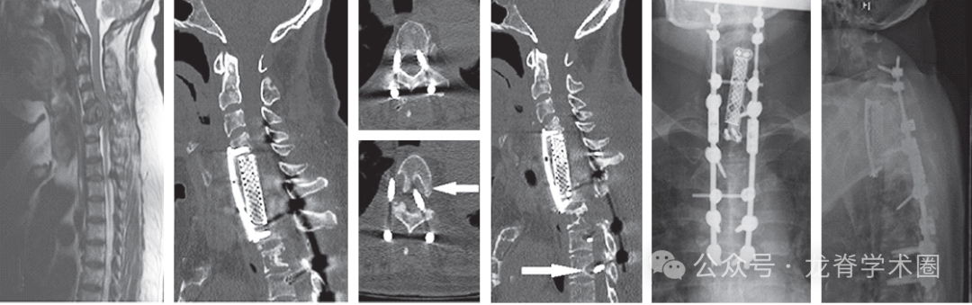
2005年至2015年共有288例患者接受了MSTS。42例患者被排除在外,因为他们在手术后30天内死亡,或者他们的MSTS没有使用内固定。因此,最终包括246例患者。5.7%(14/246)的受试者出现SF,其中71%(10/14)的患者进行了翻修手术。所有的SF都是Construct failure,然而,没有SF是绝对意义的Implant failure。16%(41/246)的患者在研究结束时表现出无临床症状的Implant failure/Construct failure的影像学证据。

患者平均年龄58.8岁,127名男性(51.6%)和119名女性(48.4%)。常见的肿瘤类型为肺癌(27.6%)、乳腺癌(16.7%)、血液系统肿瘤(12.9%)、肝癌/胃癌/肠癌(10.9%)、肾癌(9.3%)、前列腺癌(8.9%)。大多数(66.3%)病变为溶骨性病变。中位生存期为13.4个月。SF患者的中位生存期为21个月。从手术到SF的平均为12.8±17.7个月,到内固定失败的中位时间为5个月。SF患者中,顽固性疼占78.5%(11/14);新发神经功能障碍占50%(7/14);假体移位占14.2%(2/14);继发性伤口裂开占7.1%(1/14)。64.3%为SINS评分7-12分, 35.7%)为SINS评分>12分。13/14(92.8%)的内固定跨越交界区。49例(19.9%)采用MIS手术,194例(78.9%)采用开放手术。对SF患者手术类型进行亚组分析,4例(28.6%)患者行MIS, 10例(71.4%)患者行开放手术。手术类型与SF无明显相关性。

单因素和多因素竞争风险回归模型显示,术前活动状态(ECOG≤2)是SF的重要危险因素,死亡是一个竞争事件。术前SF患者11例(78.5%)可以走动,3例(21.4%)不能走动。使用助步器的患者发生种SF的风险高出7倍。此外,由于所有SF患者SINS>7分,因此SINS>7分是一个危险因素。同样,SINS>12分也具有显著性。两组间的亚组分析显示,SINS评分>12的SF发生率为11.9%(5/42),高于SINS评分为7-12分,5%(9/178)。这一差异具有统计学意义。跨越交界区是另一个危险因素,93%(13/14)的SF患者跨越交界区。

使用R软件绘制SF的概率和不发展SF的死亡概率。从累积频率曲线上可以看出,随访2年后,无内固定失效的死亡概率为70%,SF的概率为5%。然而,在研究期后的结果示,SF的峰值为10%,而死亡概率(80%)始终明显高于SF的概率。这些发现支持我们的观点:MSTS患者的预期寿命较长与SF无关。我们还发现,患者手术时的年龄不是SF发展的危险因素。
结论:MSTS患者SF的发生率较低(5.7%)。术前使用助步器患者的SF风险比不使用助步器的高7倍。术前SINS>7分和内固定跨越交界区与SF相关。大多数内固定失败发生在假体-骨界面。









