01
髌骨骨折占所有骨骼骨折的1%。最常见的机制是前膝关节直接创伤,或由偏心肌肉收缩及对抗收缩的股四头肌快速屈膝引起的间接损伤 。间接损伤常导致横行骨折或下极撕脱。髌骨骨折中男性比例是女性的2:1。
患者通常表现为疼痛、关节积液、可触及的髌骨间隙或伸肌机制失效,导致无法直腿抬高。髌骨骨折呈现双峰年龄分布,更常见于遭受高能量创伤的年轻人群,以及由于骨质疏松性骨折导致的第二个老年发病高峰。最常见的粉碎性骨折类型,即AO(内固定研究协会)34-C3型和34-C1型,与高能量创伤相关,分别占所有髌骨骨折的25%和23%。
髌骨骨折的诊断依赖于临床发现和影像学检查的结合。标准X光片通常包括膝关节前后位、侧位和两个斜位。与标准的AP和侧位膝关节X光片相比,增加斜位片可提高灵敏度。CT扫描的结合有助于对骨折形态进行分类,并可能影响高达49%的髌骨骨折患者的治疗计划。
髌骨的皮下特性以及伸肌机制传递的高水平力量给髌骨骨折的治疗带来了挑战。膝关节伸肌机制是一个复杂的结构,对行走至关重要。作为体内最大的籽骨,髌骨具有多种功能,包括增加股四头肌的力臂,为伸肌机制在膝伸直时提供生物力学优势,通过充当垫片减少股四头肌和髌腱与股骨滑车之间的摩擦,以及保护胫股关节免受直接创伤 。髌股关节承受巨大的压缩力,上楼梯时通过关节的力量是个人体重的三倍,下蹲时则超过体重的七倍。
髌骨撕脱骨折涉及骨片从髌骨分离,通常累及股四头肌或髌腱。尽管这类骨折不常见,但在青少年和年轻成人中发生率较高,尤其是男性 。这类骨折的治疗取决于骨片大小、移位程度和患者年龄等因素 。对于较小的无移位骨折,通常采用保守治疗,包括制动、保护性负重和物理治疗。相反,较大和移位的骨折需要进行切开复位内固定,使用螺钉、钢丝或缝线重新固定骨片。
髌骨套袖骨折涉及髌骨下极,其特点是远端关节软骨从下表面撕脱、骨膜从上表面撕脱,并伴有髌腱附着点的完全破坏。这类骨折常见于骨骼未成熟的儿童 ,占16岁以下儿童所有髌骨骨折的57%。诊断该病具有挑战性,因为平片通常除了高位髌骨外,不显示任何骨折或骨片迹象。髌骨高度传统上使用Insall-Salvati比值测量,即侧位X光片上髌腱长度除以髌骨长度。成人平均比值为1.04(男性1.01,女性1.06)。高位髌骨定义为Insall-Salvati比值 >1.2,低位髌骨则为比值 <1.0。膝关节超声检查快速、便宜、简便且安全,为此类损伤提供了诊断工具。MRI也可作为此类损伤的诊断方式 。早期识别和治疗很重要,因为撕脱的骨片会导致远端髌骨处骨形成,导致骨片增大或重复 。根据骨软骨碎片的大小和移位程度等多种因素,这些骨折可采取保守或手术治疗。及时诊断和适当治疗有望实现完全的功能恢复。
本综述文章探讨了髌骨骨折治疗的证据,以及随着现代低切迹锁定钢板的引入,治疗方式如何演变,并比较了它们的生物力学特性、风险和益处。
假体周围髌骨骨折是全膝关节置换术和翻修术后罕见但灾难性的事件。这些骨折可发生在表面置换和未表面置换的髌骨中。患者因素、假体因素和手术技术相关因素共同构成了其多因素病因。假体松动和伸肌机制破坏是指导此类病例治疗的关键因素。然而,这些内容超出了本篇综述的范围。
02
决定治疗方法的主要因素包括患者受伤前的功能水平、骨折形态、相关软组织损伤以及伸肌机制的完整性。
非手术治疗
无移位的髌骨骨折,伸肌机制完整(因支持带完整),可采用非手术治疗。非手术治疗通常包括用支具或石膏固定限制屈曲4至6周。非手术治疗的主要考虑因素是骨折移位程度和关节面的对合度。这种方法可能使创伤后关节炎发生率增加。
普遍认为移位的骨折应进行手术治疗。在Pritchell等人的一项研究中,18名移位髌骨骨折患者接受了保守治疗,所有患者都出现了20度的伸肌滞后。然而,只有三名患者的日常活动受到限制。这可能归因于对低需求患者进行保守治疗的选择偏倚。
手术治疗
髌骨固定的起源可追溯到1834年,当时Barton(1794-1871)首次尝试了髌骨内固定。然而,患者的死亡可能是Barton未发表其手术的原因。Lister和Trendelenburg在德国使用钻孔和钢丝固定进行了类似的手术。出现了许多骨折复位和固定技术,但获得稳定的固定仍是一个挑战。用于固定的材料多种多样,包括经皮克氏针、金属环、袋鼠腱异种移植物、筋膜条和螺钉。1838年,George McClellan(1796-1847)成为第一位成功实施髌骨内固定的外科医生。
1843年,法国外科医生Joseph François Malgaigne(1806-1865)发表了关于使用一对钩子经皮固定髌骨骨折的文章,后来称为Malgaigne钩。该设计旨在对移位的髌骨骨折形态进行骨折块重新对位。时间推进到1877年,格拉斯哥的Sir Hector Cameron取得了一个里程碑,成为第一个使用骨折块间钢丝进行髌骨骨折切开复位内固定的人。Richard von Volkmann(1830-1889)描述了在股四头肌和髌腱后方插入钢丝缝线用于髌骨骨折固定。
最大的进展发生在1950年代,当时Pauwel引入了用于髌骨骨折固定的前张力带技术。随后,内固定研究协会(AO/ASIF)对张力带固定进行了修改并加以推广,将其作为一种刚性结构,使髌骨骨折能够早期进行活动范围和康复训练。
大约三分之一的髌骨骨折需要手术干预,关节不匹配和骨折间隙超过3 mm是最常见的指征。骨折固定的目标是恢复患者的解剖结构并实现早期活动。早期活动有助于防止膝关节囊僵硬,并减少与长期制动相关的软骨退变。
髌骨骨折固定后,通常在8-12周内愈合。在此期间,膝关节通常经历约100,000次的屈伸循环,因此需要一种能够承受这些高强度的稳固固定方法。
术后,髌骨骨折患者需要进行广泛的康复训练。康复方案有不同的变化,但目标是允许早期康复并获得最佳功能结果。我们对于接受手术患者的首选康复方案包括:允许患者在耐受范围内负重,最初6周膝关节锁定在伸直位。前2周,给予患者活动范围膝关节支具,锁定在伸直位,允许膝关节屈曲达30度。第2至6周,膝关节屈曲度每周逐步增加15度,目标是在6周时达到90度。第6周时,解锁膝关节支具,同时完全负重,并在第10周时完全移除支具。恢复全部活动通常在3-6个月后。
张力带钢丝
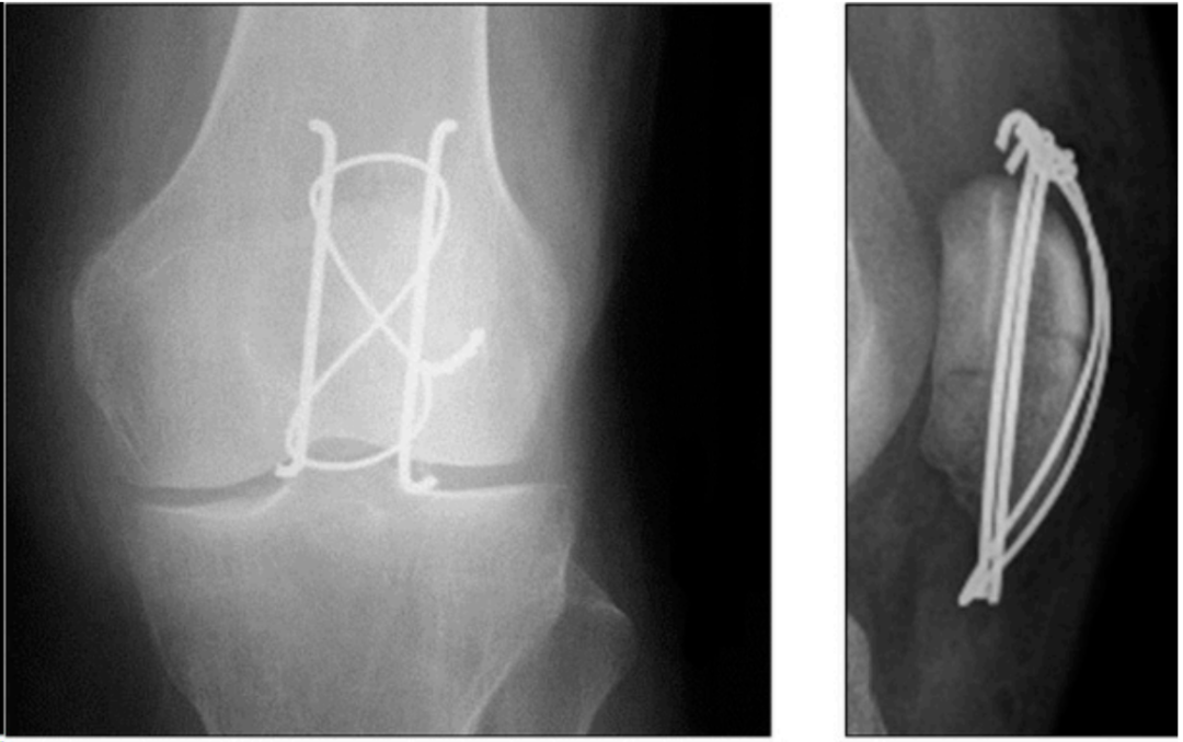
横行髌骨骨折(AO 34-C1)占所有髌骨骨折的23%。许多生物力学研究评估了在此类骨折形态中使用张力带钢丝(TBW)进行固定,TBW被广泛认为是这种"简单"骨折形态的金标准(见图1)。
图1. 展示了一个采用张力带钢丝(TBW)固定治疗的横行髌骨骨折示例。
张力带钢丝(TBW)背后的生物力学原理,是将作用于髌骨前表面的张力转化为关节面的压力,从而实现动态骨折块间加压。在传统的TBW(张力带钢丝)技术中,两根克氏针近端弯曲呈平行走向,随后将一根8字形环扎钢丝缠绕其上以提供稳定。对于粉碎性骨折和远端极骨折,可分别采用额外的环形环扎或减张环扎(McLaughlin)技术。
进行TBW时的手术技术至关重要,正如Bostrom等人所强调的,他们指出钢丝直径和张力技术是结构机械性能的关键因素。他们发现16号钢丝优于18号钢丝。
TBW固定的并发症包括复位丢失(早期骨折移位在22-30%的病例中被观察到)、克氏针移位、伸肌滞后和软组织刺激。据报道再手术率高达65% 。虽然与许多骨科内植物相比,金属内植物的成本较低,但高再手术率与手术室时间的费用相关,并使患者面临多次手术的风险。
空心螺钉
空心螺钉固定(见图2)的引入是为了减少克氏针引起的软组织刺激。该理论认为,与光滑钢丝相比,螺钉还能提供更大的刚度和更强的抗拉伸负荷能力。然而,螺钉头部的存在已被证明会降低结构在循环加载测试中抵抗间隙形成的能力。在该技术中,植入两根平行的空心拉力螺钉,以90度角穿过骨折部位。然后外科医生可以选择通过螺钉以8字形配置添加钢丝。
该技术在生物力学研究中显示出优于单独TBW的稳定性、更低的并发症率和更好的功能结果。
图2. 展示了使用空心螺钉加额外钢丝治疗横行髌骨骨折。
双螺距埋入式加压螺钉加额外缝线张力带已表现出优于标准带头的螺钉固定的生物力学性能,显示出结构刚度增加、骨折块间活动减小、抗失效能力增强以及固定强度更大 。Martin等人证明,无头螺钉结构的平均临床失效强度几乎是带头螺钉结构的两倍。Alayan等人发现两种固定类型的结果相当,但与钢丝和空心螺钉结构相比,埋入式加压螺钉和缝线固定显示出更大的骨折间隙。在一项回顾性研究中,Busel等人评估了使用带头的空心螺钉和高强度不可吸收缝线进行固定,在50例患者的系列中显示了高达96%的愈合率和低至8%的有症状内植物发生率。他们研究中四例有症状内植物中的三例是由于螺钉突出所致。螺钉固定的并发症情况与TBW相似,但金属内植物突出较少。然而,鉴于螺钉比钢丝直径更大,因此有更高的风险穿破髌骨关节面并导致骨折延伸或粉碎。
不可吸收编织缝线,例如FibreTape(Arthrex, Inc., Naples, FL, USA),单独使用已显示出与TBW相当的强度,且与金属内植物相比软组织刺激有限(图3)。与标准缝线相比,编织缝线表现出更小的蠕变、更大的刚度和更小的延展性,但其强度低于金属内植物 。此外,与金属内植物相比,缝线的射线可透性允许在影像学上更准确地评估骨折复位情况,无论是在术中还是术后。然而,当采用此技术时,通常建议额外的术后制动 。这种固定方法可能在简单骨折形态中发挥作用,但对于更复杂的骨折,无论是单独使用还是与其他方法联合使用,可能都不合适。
图3. 髌骨骨折固定修复完成。环扎缝线已以8字形方式穿过两个空心螺钉并拉紧。
锁定钢板
近年来,可变角度钢板系统已被用于髌骨骨折的治疗(见图4和图5)。这些钢板具有锁定螺钉孔,允许螺钉有高达15度的角度调整,以瞄准小骨块。钢板可被裁剪和塑形以适应个体骨折形态,并且是低切迹设计以最小化软组织刺激。它们能够在不同的骨折块中置入多个螺钉(和缝线),使其更可能用于治疗更复杂和多块粉碎性骨折形态。
Buschbeck等人在5年期间使用解剖型锁定钢板(Patella SuturePlate:tm:, Arthrex:registered:, Naples, FL, USA)治疗了29例复杂C3骨折。所有患者平均随访19个月(范围:12-48个月)。他们获得了平均131°(范围:100-150)的屈曲度,未报告复位丢失、机械失效或与植入物相关的并发症。影像学评估未显示创伤后骨关节炎迹象。在七例病例中,因主观软组织刺激取出了内植物。
Sumit等人对20例使用低切迹髌骨钢板治疗的患者进行了回顾性研究。在两年时,他们使用X光和CT扫描以及功能评分对患者进行了评估。所有患者在三个月时通过CT扫描确认达到影像学愈合。此外,两名患者在两周时出现浅表手术部位感染,另外两名患者在三个月时发现内植物撞击。
研究探讨了髌骨专用钢板,例如解剖型髌骨锁定钢板、双侧固定角度篮状钢板或钛网钢板。然而,它们的可用性在各种手术环境中可能有限。
Yoo等人概述了一种使用锁定加压微型钢板结合长锁定螺钉/空心螺钉处理多块粉碎性髌骨骨折的手术技术(图4)。该研究纳入了20例AO/OTA 34-C3骨折患者,他们接受了基于2.4 mm LCP Compact Hand微型钢板(DePuy-Synthes:registered:, Warsaw, IN, USA)的内固定治疗,平均随访15个月。这些常用于手部骨折的低切迹植入物与其他固定方法一起使用,例如空心螺钉(九例)、环扎(两例)和钢丝固定(五例)。
微型钢板和锁定螺钉不仅提供了角度稳定性,还降低了螺钉拔出的风险。根据骨折形态,每个病例使用的钢板数量为2至5块(平均2.8块微型钢板)。平均骨愈合时间为15.6周(范围10至40),未报告固定失效或术后并发症病例,包括有症状的内植物。所有患者在最终随访时平均活动范围(ROM)达到130度,平均Lysholm评分为90.4。该研究表明,使用Compact Hand微型钢板进行髌骨骨折接骨术可以提供足够的机械稳定性以实现早期ROM,且无术后并发症。
图4. 描绘了使用锁定加压微型钢板固定粉碎性髌骨骨折,并展示了影像学图像。
图5. 展示了一种低切迹髌骨钢板。
髌骨切除术
在粉碎性骨折病例或先前固定失败时,医生可能会考虑部分或全部髌骨切除术,这通常被视为挽救性手术。全髌骨切除术与股四头肌力量下降50%相关 。髌骨切除术后的其他并发症包括肌腱弓弦样畸形,以及伸肌机制半脱位或脱位。
Levack等人对64例采用内固定或髌骨切除术治疗的髌骨骨折进行了回顾性研究,术后随访时间从3.5年到10.1年不等(平均6.2年)。在他们的研究中,45%的患者获得了良好结果,27%结果为一般,28%结果较差。总体而言,髌骨切除术取得了合理的结果(60%良好,20%一般,20%差)。值得注意的是,在使用张力带钢丝(TBW)实现髌骨骨折解剖复位的病例中观察到最佳结果,强调了采用有效手术技术的重要性。
03
生物力学研究
Ivan等人使用12具模拟横行髌骨骨折的人体尸体对多种髌骨骨折固定技术进行了比较分析。尸体分别接受了张力带钢丝(TBW)或空心螺钉固定治疗。研究显示,两组之间前部和后部骨折块间压力差的平均值无显著性差异。然而,在45°、60°和75°的屈曲角度下,接受空心螺钉治疗的组在骨折部位的位移显著较小。得出的结论是,与TBW相比,螺钉在特定屈曲角度下引起的骨折部位后方位移更小,并提供了额外的压缩强度。
Banks等人比较了使用锁定钢板进行髌骨切开复位内固定与使用空心螺钉加张力带钢丝(TBW)进行固定。虽然临床失效负荷在两组之间没有显示出显著差异,但钢板固定组的极限固定强度显著更高。
Wagner等人比较了锁定钢板和带螺钉的张力带钢丝(TBW)。由空心拉力螺钉和TBW组成的混合组在100次循环后显示出比锁定钢板组更高的位移,且具有统计学显著性。在循环加载过程中,八个混合结构中有五个失效,而钢板接骨术组的所有结构都承受住了固定应力测试。得出的结论是,髌骨锁定钢板是治疗髌骨骨折的一种安全有效的方法。
临床研究
直接比较不同手术技术的试验很少,据作者所知,尚无随机对照试验。
Meng等人进行了一项回顾性比较研究,共纳入87例34-C2和34-C3型粉碎性髌骨骨折,以评估两种不同治疗方法的效果:钛缆张力带加环扎法与骨折块间螺钉加X形钢板技术。他们纳入的患者为闭合性骨折,受伤时间<21天,关节内台阶>2 mm或间隙>3 mm,且膝关节既往无受伤或手术史。在2年随访时,研究发现两组之间在Lysholm膝关节评分、活动范围(ROM)以及并发症(包括植入物相关并发症、骨关节炎和膝关节挛缩)方面无显著差异。
Meng等人进行了一项比较研究,评估了用于治疗108例横行髌骨骨折患者的三种不同方法的并发症和有效性。这些方法包括钛缆张力带(A组)、加压螺钉加钛缆环扎(B组)和X形钢板技术(C组)。在所有组之间,术后关节台阶、Lysholm评分和24个月时的活动范围均无显著差异。在最终随访时,研究报告A组有12例(31.6%)有症状的植入物并发症,B组6例(16.7%),C组2例(5.9%)。所有三种方法都能有效实现刚性固定并允许早期功能康复。然而,X形钢板技术显示出最低的有症状植入物并发症风险,被认为是横行髌骨骨折内固定的一种安全有效的替代方法。
Lorich等人进行了一项前瞻性队列研究,比较了一种使用覆盖一半髌骨表面的钢板结构的新型髌骨固定技术与传统张力带钢丝。钢板组在整个研究过程中显示出优越的膝关节结果调查日常活动量表(KOS-ADLS)评分,同时功能测试显著改善,前膝痛减轻。这种新型结构采用低切迹网状钢板,提供多平面和骨折块间固定,处理下极粉碎,并最大限度地减少对髌骨血供的破坏。在12个月时,钢板组的大腿围显著更高,前膝痛显著更低。研究得出结论,这种新型固定结构改善了患者术后结果,提供了增强的稳定性、减少的软组织刺激以及对髌骨血供的最小破坏,从而减少了前膝痛。
Balgovind等人进行了一项系统综述,重点关注使用钢板接骨术治疗髌骨骨折的患者的临床结果,随访时间至少为三个月。该综述纳入了20项研究,包括7项前瞻性研究和13项回顾性文章,涉及533名患者共534例使用钢板接骨术治疗的髌骨骨折。治疗的大多数骨折为AO型34C。该系统综述的结果表明,与张力带钢丝治疗髌骨骨折相比,钢板接骨术显示出更优的临床结果、更低的并发症发生率和更高的愈合率。
Tsotsolis等人按照PRISMA指南,检索了MEDLINE、EMCare、CINAHL、AMED和HMIC等数据库,对髌骨骨折钢板固定的功能结果和并发症进行了系统综述。该综述显示,髌骨骨折钢板固定与满意的活动范围(ROM)、良好的术后功能和低疼痛水平相关。该研究确定了10.44%的并发症发生率和较低的再手术率,再手术主要用于取出金属内植物。研究结果表明,对于髌骨骨折,使用钢板进行切开复位内固定(ORIF)是一种安全的替代方案,与张力带钢丝(TBW)相比,并发症发生率和再手术率更低。作者强调未来需要随机前瞻性研究来验证该系统综述的结果 。
髌骨骨折后遗症
经历过髌骨骨折的患者术后常表现出较高的髌股关节骨关节炎(OA)发生率,据报道有30%至50%的病例存在残留疼痛。
Larsen等人进行了一项涉及6096例髌骨骨折的全面研究,平均随访14.3年。在他们的病例匹配系列中,他们观察到髌骨骨折患者的骨关节炎发生率显著更高,全膝关节置换率增加了83%,尤其是在前5年内。这些患者还显示出膝关节镜检查发生率是对照组的四倍,并且膝关节功能评分下降 。
闭合性、手术治疗的髌骨骨折发生骨不连或延迟愈合的情况罕见,一个系列报道的发生率低于1%。Torchia和Levallen观察到与开放性骨折有显著相关性。在他们的系列研究中,28名接受开放性髌骨骨折切开复位内固定(ORIF)的患者中,有2名(7%)发生了骨不连。在延迟愈合的情况下,可以考虑固定一段时间以促进骨折愈合。如果此方法无效,可以尝试再次固定,通常会取得良好结果 。
文献报道髌骨骨折固定后感染的发生率在2%到10%之间。浅表感染通常可以通过局部伤口护理和口服抗生素成功治疗,而深部感染则需要手术清创和一段时间的静脉抗生素治疗,并在骨折愈合前保留内植物。
髌骨缺血性坏死是一种罕见的诊断。它被描述为创伤后的并发症 [92],全膝关节置换术后并发症以及特发性疾病,治疗主要是观察,因为它们在2年内可能重新血管化。
04
髌骨骨折呈现出一系列严重程度。它们见于不同年龄组、需求各异的患者,治疗仍然具有挑战性。存在多种治疗方案,必须采取个体化方法。与传统技术相比,髌骨钢板固定从长远来看是否能证明其额外的成本效益,仍有待观察。技术之间的比较仍然具有挑战性,因为不同的患者群体和骨折形态中使用了各种治疗方法和康复方案。比较研究很少,因此缺乏不同技术优越性的证据。在长期内,实现刚性固定同时最小化金属内植物刺激以及随之降低的再手术率的目标应能证明具有成本效益。
-END-
声明:本文为原创内容,作者<Perry>,版权归原作者所有,仅用于学习交流,未经授权禁止转载!









