胫骨平台骨折是常见的关节内骨折,年发生率为14.4/10万,约占成人全身骨折的1.86%。
胫骨平台骨折的复位目标包括恢复胫骨平台解剖形态、重建下肢正常力线和维持关节稳定性。
复位不良会产生关节面台阶、关节不稳定和负重力线偏移等问题,容易继发创伤性骨关节炎 (posttraumatic osteoarthritis, PTOA)、关节僵硬和下肢畸形等并发症。
文章总结胫骨平台骨折的复位标准,以期为临床决策提供参考。
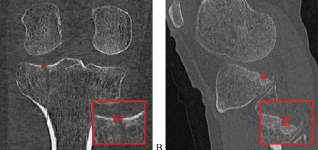
胫骨平台关节面不仅承担下肢负重和应力传导,还参与维持膝关节的正常活动度,关节面复位质量对膝关节功能的恢复十分重要。大多数学者倾向于复位后关节面台阶或分离不应超过2~4 mm。
胫骨平台关节面的复位要求还与骨折关节面所处区域有关,对于核心负重区[即膝关节在完成日常运动(如步行和中等强度跑步)过程中,胫骨平台的主要承重区域]的关节面骨折,应当力求手术解剖复位;而对于非核心负重区的骨折,则可适当放宽复位要求,甚至可采取保守治疗。
胫骨平台宽度是膝关节正位片上胫骨近端关节面内缘至其外缘的距离。伴 有外侧平台关节面塌陷的胫骨平台骨折常伴有平台增宽,随着关节面复位,平台宽度大多恢复正常。 因此,平台宽度也成为评估关节面复位质量的间接指标,并与患者长期预后相关。
如果关节面复位良好,单纯胫骨平台增宽5~10mm对膝关节功能的影响并不明显因素 ,也不是未来膝关节置换的独立危险因素。
胫骨平台后倾角是矢状面上胫骨平台关节面与胫骨干垂线的夹角。根据胫骨平台骨折三维损伤机制分型,屈曲型损伤的胫骨平台后倾角增加,而过伸型损伤的胫骨平台后倾角减小或消失,甚至为负值。后倾角的变化既可能仅局限于内侧或外侧平台,也可能同时累及双侧平台,在骨折复位时要针对性恢复对应平台的后倾角。
一般来说外侧平台后倾角(平均7.5°)稍大于内侧平台后倾角(平均5.2°),而且两膝的内外侧平台后倾角基本对称,因此在术前计划和术中 复位时可以参考健侧膝关节的平台后倾角。
胫骨平台骨折术后力线异常会改变胫骨平台 的载荷分布和应力传导,可能对膝关节短期功能影响不大,但长期容易继发PTOA,甚至需要行膝关节置换术治疗。
术后膝关节冠状面或矢状面力线异常(≥5°)是导致患者行膝关节置换的独立危险因素。
维持膝关节稳定性对于胫骨平台骨折复位至关重要;特别是对于关节面严重粉碎塌陷的骨折,很难实现关节面的解剖复位,这时最重要的目标莫过于恢复膝关节的稳定性,允许患者术后在相对无痛的情况下尽早开始康复训练, 随着时间的推移,患者膝关节可能会因为残留的关节面不平整而出现PTOA,但这一般是数年或数十年以后的并发症;若骨折术后膝关节不稳定,患者会因难以开始康复锻炼进而导致膝关节疼痛、活动受限和打软腿等。
胫骨平台骨折术后膝关节不稳定,既可能因为关节面复位不良使相应关节间隙增大所致,也可能因为骨折合并膝关节韧带断裂或韧带止点撕脱性骨折引起的韧带性不稳定所致。
在重建胫骨平台骨折术后膝关节稳定性时,除了要做到关节面复位满意之外,还要兼顾对前交叉韧带体部断裂或止点处骨折的处理。
随着手术技术的进步和患者期望值的提高,胫骨平台骨折复位的标准越来越严格,不仅要关注关节面复位质量,还要注重恢复膝关节稳定性和下肢 正常力线。
-END-
声明:本文转载自<微创骨科>,版权归原作者所有,仅用于学习交流,如有侵权请联系删除。