一、背景
单腔性骨囊肿(unicameral bone cyst,UBC)是一种良性病变,主要影响4~14岁的儿童和青少年。 这些病变主要累及长骨的干骺端,其中以股骨近端和肱骨最为常见。 UBC 的发生率约占原发性骨病变的 3%。 UBC 的特征是形成一个充满浆液性液体的溶骨性腔隙,其外被一层薄的纤维膜所包裹。此外,该病变与生长发育过程中骨骼生长及生物力学应力密切相关。
在临床上,UBC 往往无明显症状,通常仅在出现并发症时才被发现。约 85% 的病例是在出现影响日常活动的疼痛或发生病理性骨折后被诊断的。例如,在儿童人群中,UBC 与近 40% 的股骨颈病理性骨折有关。尽管 UBC 存在发生严重并发症的风险,但许多病例在骨骼成熟后可自行消退。从诊断角度来看,影像学检查起着关键作用。普通 X 线片通常显示长骨干骺端中央位置的、边界清楚的溶骨性病变,且无骨膜反应或软组织受累的证据。
UBC 的病因仍不清楚,尽管已提出多种假说。所提出的机制包括骨内液体引流受阻、一氧化氮介导的过程,以及通过溶骨过程发生的髓内改变。 尽管存在这些理论,其潜在的病理生理机制仍是当前积极研究的领域。在负重骨中,对 UBC 进行外科治疗至关重要,以降低病理性骨折的风险并维持结构稳定性。虽然无症状病变可选择观察随访,但在发生骨折或囊肿破坏机械完整性的情况下,往往需要进行手术干预。常用的手术技术包括刮除和植骨,是否联合内固定均可,尤其适用于股骨近端囊肿。这些手术旨在恢复骨稳定性、预防复发,并改善长期功能结局。
对 UBC 的研究有助于理解良性骨病变的自然病程和行为特点,强调生长和力学因素在骨骼病理中的重要性。本病例报告旨在介绍我们在沙特阿拉伯利雅得地区治疗股骨近端 UBC 的经验,重点关注手术技术中的要点,以帮助外科医生更好地处理此类病例。
二、手术案例
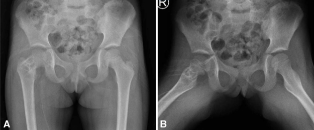
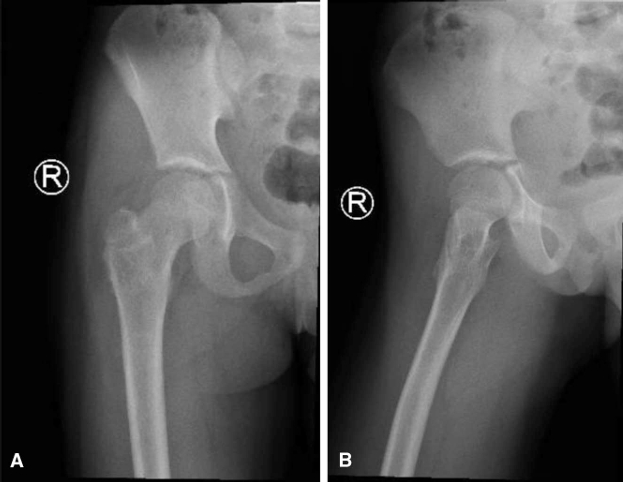
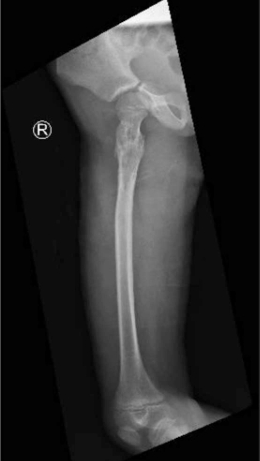
一名 5 岁女童因右下肢外伤后 3 周出现右髋疼痛并伴有跛行而就诊于我院急诊科。体格检查发现,其右髋存在疼痛,且在髋关节旋转时疼痛加重。影像学检查显示,右侧股骨颈可见一大型溶骨性病变,向转子区延伸,并伴有股骨颈应力性骨折及内翻移位(图 1 和图 2)。
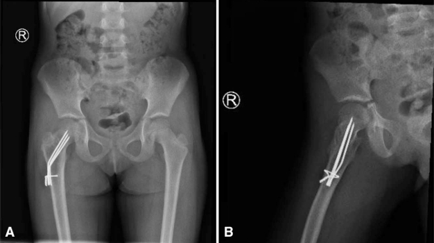
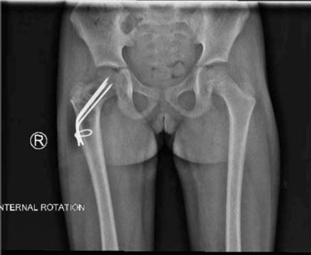
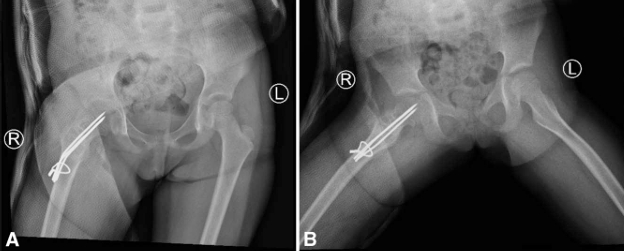
手术技术:经股骨近端外侧入路,逐层分离直至显露骨质。在转子区前侧皮质上使用钻头开窗,保留外侧皮质以用于固定,随后对病灶进行刮除,远端显露股骨髓腔,并取样送病理活检。其后,自外侧皮质向股骨头方向钻入 3 枚直径为 2 mm 的克氏针,至软骨下骨约 5 mm 。随后将克氏针弯曲成较大的弧形,以防止回弹及内翻移位,并加用一根环扎钢丝穿过股骨,以帮助增强稳定性(图 3)。最后,在病灶区域填充异体骨移植材料。切口关闭后,考虑到患儿年龄,予以半髋人字石膏固定 6 周(图 4)。若患者年龄更大且配合度更好,则可不使用石膏固定(见第二个病例)。术后 3 个月,拆除人字石膏并复查影像学检查(图 5)。
随访观察:随访期间发现,因患儿生长发育导致克氏针逐渐向股骨颈远端移位,使愈合周期延长——这恰是选用光滑克氏针而非螺钉的优势所在。图6展示了术后1年的影像资料。术后两年半,骨愈合完全,患者返院取出内固定物(图7)。内固定去除后1年随访显示(图8),股骨颈重塑至正常颈干角,末次随访时患者关节无僵硬、活动度无受限、无疼痛及跛行。
三、总结
我们选择该术式基于以下考量:首先,这种角稳定性固定可有效防止股骨颈内翻塌陷,且光滑克氏针不会损伤骨骺生长板,通过张力固定于股骨干能防止针体移位;其次,相较于弹性髓内钉,本方法具有更好的抗旋转稳定性;再者,对于累及大部分股骨颈的巨大囊肿病例,我们认为这是最佳固定方案;最后,该技术操作简易,单一切口即可完成。希望本案例能为该固定模式提供参考,期待未来更广泛的应用。
-END-
声明:本文转载自<一篇文献>,版权归原作者所有,仅用于学习交流,如有侵权请联系删除。









