胫腓联合韧带不稳定可导致踝关节长期疼痛与不适,也是踝关节慢性功能障碍的最常见原因。
一,下胫腓联合韧带稳定性的判断:
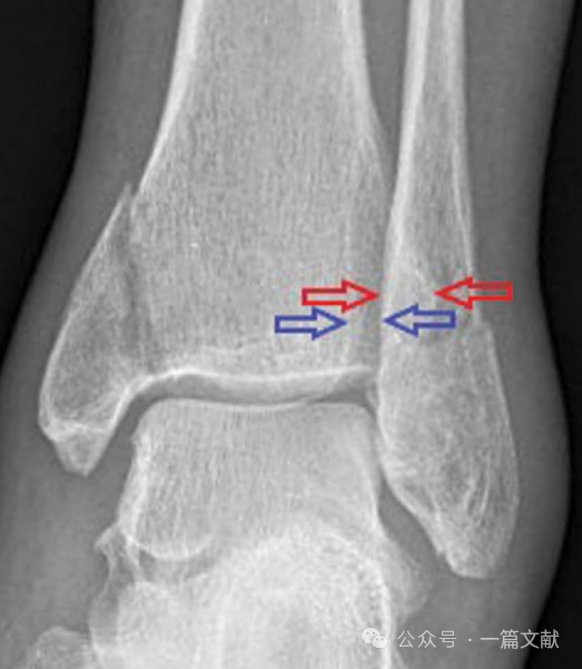
1,透视正位及踝穴位片,来观察胫腓骨重叠距离如下图红色箭头之间距,若标准正位片上此距离小于6mm,或踝穴位片小于1mm则考虑下胫腓不稳定。或者于关节面以上1cm处观察胫腓骨间隙如下图蓝色箭头之间距,与健侧相比,若增加2mm以上,则考虑下胫腓不稳定。
2,透视踝穴位时,夹持内固定后的腓骨向外、向后牵拉,并与健侧对比,观察是否存在关节间隙的增宽。如下图:
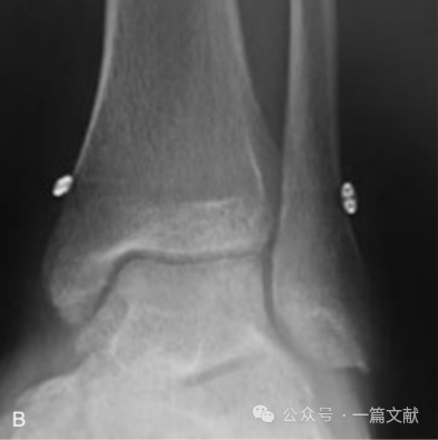
3,透视踝穴位,正常情况下内踝关节间隙DE应小于4mm;胫腓骨外侧间隙BC小于5mm;下图中白色箭头所指的腓骨内侧凸起与胫骨软骨下骨持平,踝穴等宽;图中圆形所示硬币征。
二,下胫腓联合损伤的固定:
“下胫腓联合损伤的解剖复位并不容易实现”。考虑到部分患者的解剖学变异,可能硬币征不一定完全准确。所以消毒铺单前对健侧踝关节的标准侧位与踝穴位透视非常重要。这样才能获得可靠的参考标准。必要时可做有限的前外侧切口来复位与固定,于趾伸肌腱和第三腓骨肌进入。术中复位以后打入1枚克氏针临时固定,并透视标准侧位,与健侧对比,来判断复位情况。
目前对于固定方式尚有一些争议:单枚VS两枚螺钉,三层皮质VS四层皮质固定,或者弹性固定。临床常用单枚的全螺纹皮质骨螺钉行四层皮质固定。
1,下胫腓联合螺钉固定:在胫距关节面以上2-5cm范围打入1-2枚位置螺钉固定。平行于关节面,从后外向前内夹角约30°置钉,应避免过度加压。
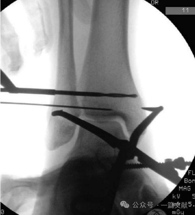
这张对比图像的重点是观察腓骨与胫骨的前后方向相对位置,来判断腓骨是否有前后移位。以及腓骨的投影大小,来判断腓骨是否有旋转。当克氏针穿透腓骨并进入胫骨切迹时,复位钳轻轻夹持复位,此时要避免过度复位。
螺钉最终固定的踝穴位片与健侧相对比如下图:
2,中和钢板固定:相对于前述之螺钉固定,钢板固定有以下优点: 1) 此钢板起到类似于螺钉垫圈效果,将螺钉的压力更均匀分布在腓骨表面。2)钢板置于腓骨后外侧,可减少内固定引起的软组织激惹,以及更好的垂直切迹置钉。3)还可避免螺钉过于靠前或靠后拧入造成医源性骨折并最终导致内固定失效。如下图:2枚3.5mm螺钉固定在三孔钢板的两端,行三皮质固定。从左到右依次为前后位,踝穴位,侧位片。
3,弹性固定:很多研究显示,相较于常规螺钉固定,弹性固定并没有明显优势。如下图,
三,下胫腓联合固定的陷阱:术后CT复查显示下胫腓复位不良发生率约30–52%。这可能跟胫骨远端腓侧切迹的变异有关。所以建议在很多情况下行切开复位内固定,进行直视下操作,观察腓骨远端在胫骨切迹的具体位置。对于部分合并腓骨中段或近端骨折患者,更应该小心,因为腓骨可能存在短缩移位或旋转畸形。
1,胫腓联合部螺钉过长影响复位,如下图:左图中钢板远端螺钉过长,进入胫腓联合,干扰复位。中间图为调整螺钉长度后重新复位,右侧图为最终固定后,位置满意。
2,合并韧带止点胫骨远端前外侧(chaput)或后外侧骨折块(Volkmann)未解剖复位,造成下胫腓联合的移位。如下图:
此时建议切开复位并内固定,撕脱骨折块较小时可用小的三孔钢板经加工并折弯后固定,如下图:
3,复位下胫腓时,复位钳夹持方向出现偏差,或螺钉置入方向有误,造成腓骨一定程度的旋转,未解剖复位。如下图:理想的夹持复位点是腓骨远端外侧凸起与内踝前部最高点,来实现踝关节的轴向加压。螺钉置入时同理。建议前方直视下观察腓骨远端与胫骨切迹的关系。
4,当下胫腓联合部骨折粉碎时,此时钳夹复位或拧入螺钉时,容易形成过度复位。如下图:
总结:解剖复位并准确固定下胫腓存在一定难度,建议行切开复位。特别是并发Chaput和Volkmann骨折时,应解剖复位并固定撕脱骨折块,才能有效避免腓骨的前后移位与旋转移位。点式复位钳或大环钳复位时,注意内外侧夹持点,达到轴向加压,避免偏心复位或固定造成二次旋转移位。下胫腓损伤机制多是足部背屈外旋损伤,故多以内旋促进复位。最后也是最重要的,术中直视下观察或透视标准踝穴位与侧位进行评估复位及固定质量。
参考文献:
1,Harborview Illustrated Tips and Tricks in Fracture Surgery.
2, Manual of Fracture Management Foot and Ankle.
3, Operative Techniques: Orthopaedic Trauma Surgery .
4, Essentials of foot and ankle surgery.
-END-
声明:本文转载自<一篇文献>,版权归原作者所有,仅用于学习交流,如有侵权请联系删除。









