移位的胫骨后叉止点骨折通常需要手术治疗,以恢复后叉韧带张力和膝关节稳定。后叉止点骨折可采用常规切开复位或关节镜下复位固定,对骨科医师来说,关节镜下复位固定存在一定的技术门槛,通常行切开复位治疗。切开复位内固定治疗后叉止点骨折主要有两方面考虑:
-
一是手术入路选择,如何在避免损伤后方血管神经情况下微创固定;
-
二是内固定选择,钢板、钢丝或克氏针等。
后内侧倒L型入路是目前应用最广泛的显露后叉止点骨折的入路,该入路的优势在于将腓肠肌内侧头连同腘窝后方血管神经全部向外侧牵拉,以肌肉保护血管神经,手术风险较低,但创伤大。且在该入路视野下,骨块位于手术野的偏外侧,在置钉时候可能较难直接垂直骨折线固定。而直视下直接后方入路,对解剖熟悉程度要求高,神经血管损伤风险大。
▲ 图示显露后叉止点的径路已经肌肉、神经血管的相对位置关系。MHGC:腓肠肌内侧头;LHGC:腓肠肌外侧头;SM:半膜肌。(图源:10.1016/j.injury.2020.09.058)
为避免损伤血管神经,同时降低手术创伤。国外学者通过直接劈开腓肠肌内侧头,将腓肠肌内侧头的外侧肌肉保护血管神经,在避免损伤的同时可相对缩小手术切口:
患者俯卧位,膝屈曲20°。在体表标识上,首先标注腘窝后横纹,与该横纹平行,作一经腓骨头的虚线,同时标注半腱肌半膜肌的外侧缘:
▲ 图示体表标识线。ST:半腱肌;SM:半膜肌。
(图源:10.1016/j.otsr.2024.103939)
手术切口自半膜肌外侧,作“倒L”切口,纵行不超过腓骨头上方(FH)。切开后显露腓肠肌,切开筋膜,纵行切开腓肠肌内侧头,延伸向下至腓肠肌内1/3与外2/3交界处:
沿骨膜剥离后,可显露后叉止点骨折及后叉韧带:
▲ 图示显露后叉止点骨折。mG:腓肠肌内侧头;PCL:后交叉韧带。(图源:10.1016/j.otsr.2024.103939)
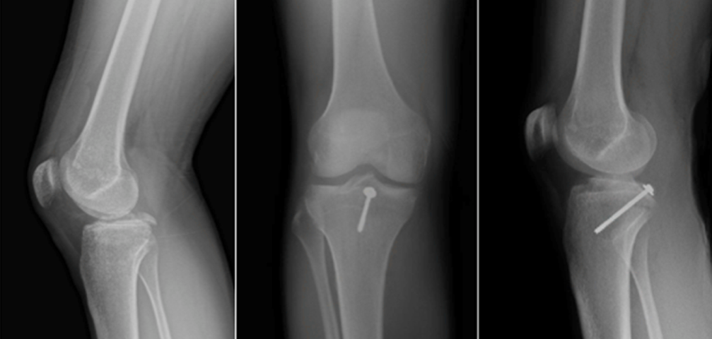
显露后复位可采用螺钉或钢板固定。该入路的优势在于:
-
手术创伤小,利于术后康复;
-
直视下复位固定,固定疗效确切;
-
血管神经损伤风险低。
劈腓肠肌内侧头的入路,由Badet教授在2012年出版书籍《The knee joint》一书中提出,称为“mini posterior approach(迷你后方入路)”,故又称为“Badet入路”:
在该文中详细描述了Mini后方入路的径路(如下图所示):
【本期文献】:见文中图片。
-END-









