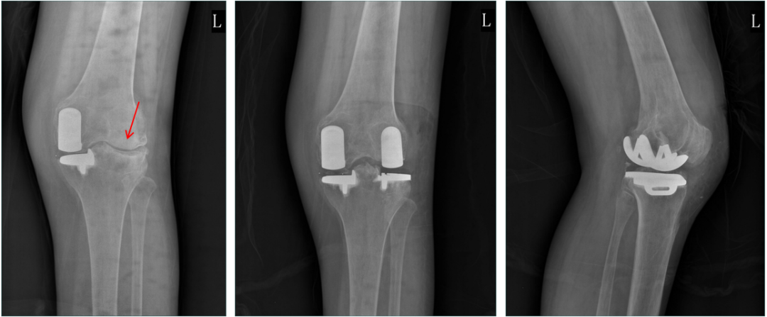
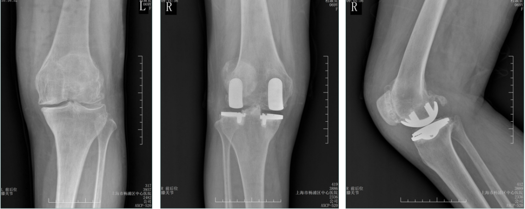
第六期:固定平台单髁假体位置(LINK:registered: SLED)
LINK:registered: Sled 胫骨假体特点
1、金属背衬设计胫骨平台假体
-
解剖型胫骨平台
-
三种尺寸 (45、50、55 mm)
-
三种厚度 (9、11、13 mm)
2、全聚乙烯设计胫骨平台假体
-
解剖型胫骨平台
-
四种尺寸 (45、50、55 、58mm)
-
三种厚度 (9、11、13 mm)
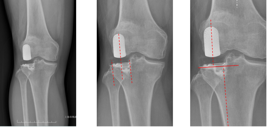
LINK:registered: Sled 股骨假体位置分析
4种股骨髁假体尺寸
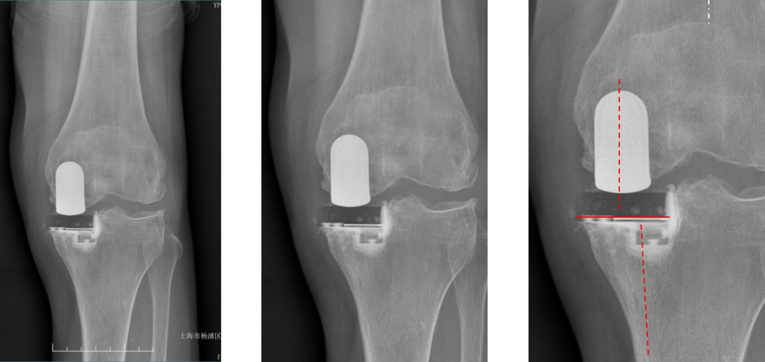
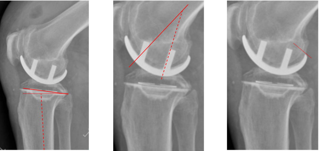
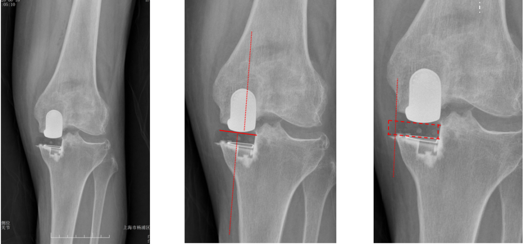
一、内侧LINK:registered: SLED假体位置
(金属背衬设计胫骨平台假体)
正位片标准胫骨和股骨假体位置
AP位假体位置:胫骨假体无明显内外翻,与胫骨轴线垂直,内侧缘与胫骨平台内侧缘齐平; 股骨假体长轴与胫骨假体垂直,中线一致。
侧位片标准胫骨和股骨假体位置
侧位片假体位置:股骨假体长栓与短栓平行,后倾35°;假体后缘与股骨后髁齐平,胫骨假体后倾7°,与胫骨平台前后缘齐平。
胫骨假体3°内翻
AP位胫骨与股骨假体位置:胫骨假体内翻3°,股骨假体中轴线与胫骨假体垂直。
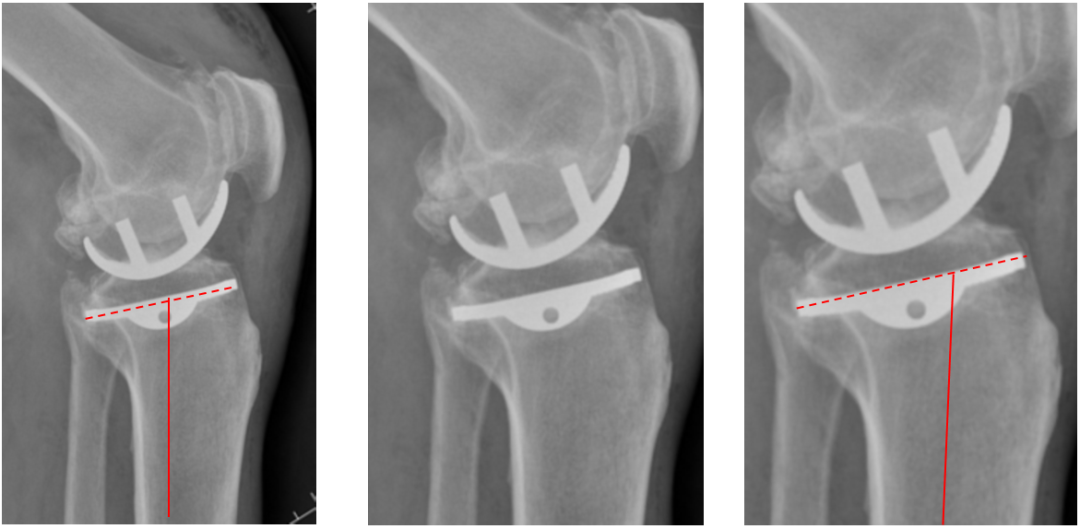
胫骨假体厚度合适
胫骨垫片厚度合适:术前内翻畸形基本矫正,残留2-3°内翻。
胫骨假体内侧悬挂
AP位胫骨假体位置:胫骨假体内侧悬挂>2mm。
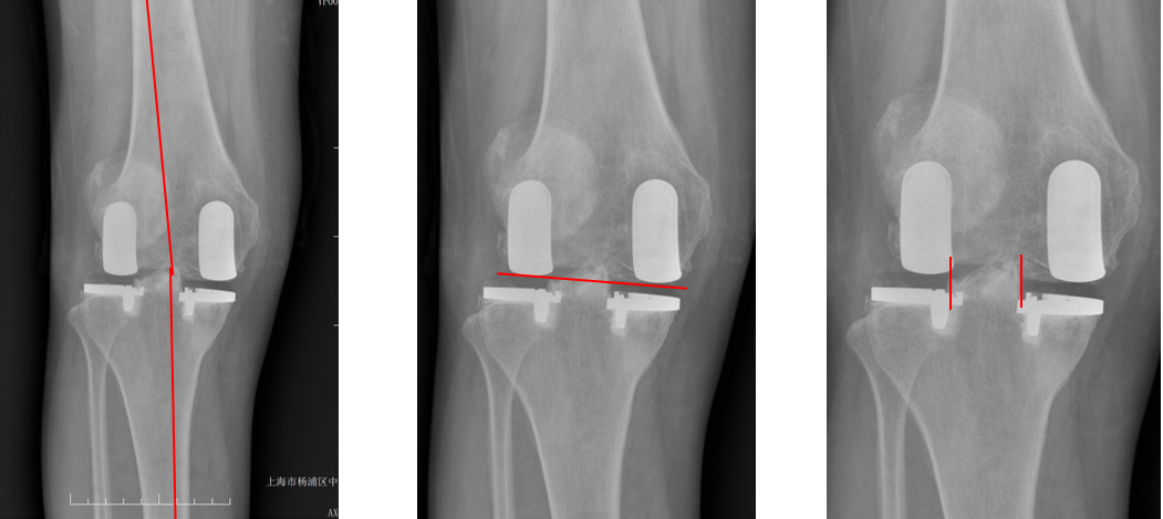
股骨假体偏内放置
AP位胫骨与股骨假体位置:股骨假体轻度内翻,中轴线与胫骨假体中线不一致,偏内侧。
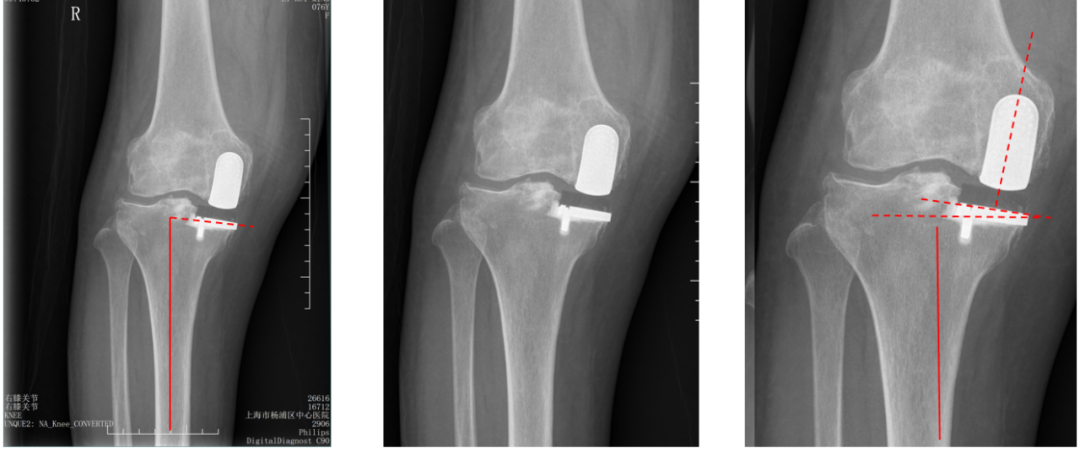
胫骨假体偏大,且后倾不足
侧位胫骨假体位置:胫骨假体后侧悬挂>2mm,后倾2°。
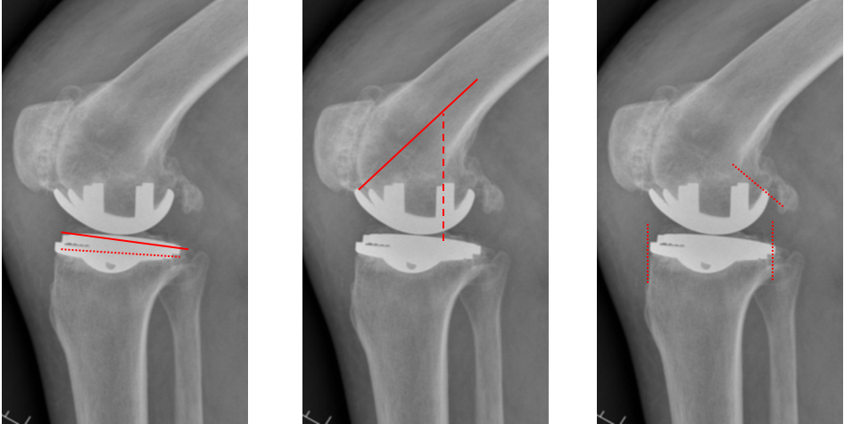
胫骨假体后倾角度大
侧位片胫骨假体位置:胫骨假体后倾12°,前后缘齐平 。
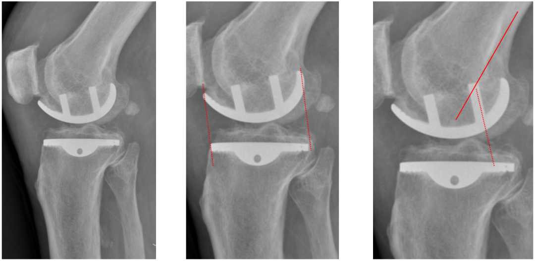
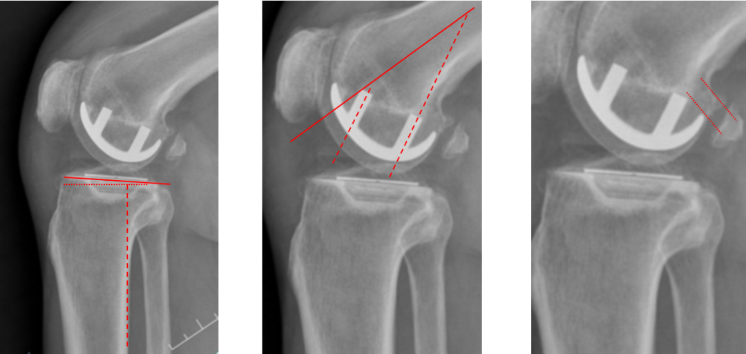
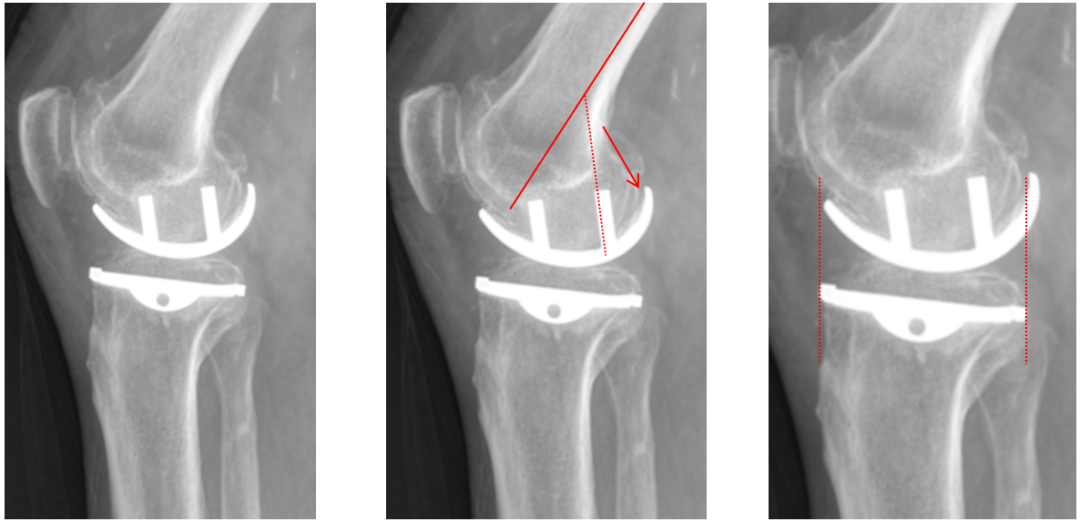
股骨假体偏小
侧位片股骨假体位置:股骨假体偏小,与胫骨假体后缘不齐平;屈曲15°,未包容股骨后髁。
股骨假体偏大
侧位片股骨假体位置:股骨假体与胫骨假体不匹配,股骨假体大一个型号,屈曲45°,后缘空虚。
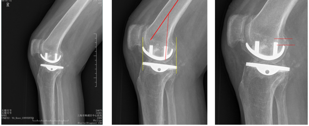
股骨假体屈曲角度大
侧位片股骨假体位置:股骨假体与胫骨假体匹配,股骨假体屈曲62°,前缘翘起。
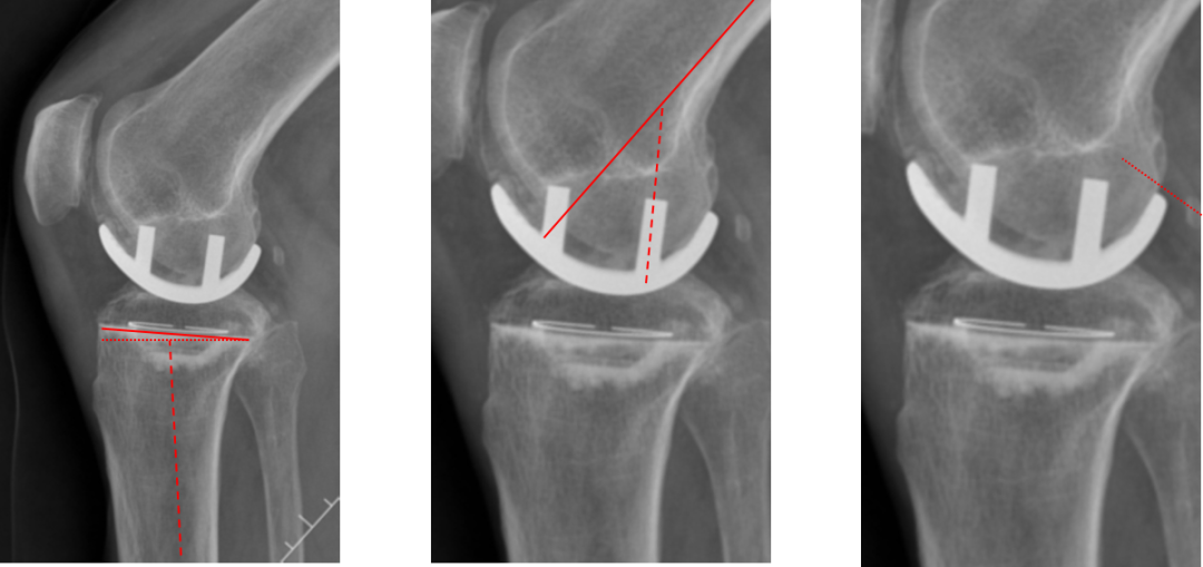
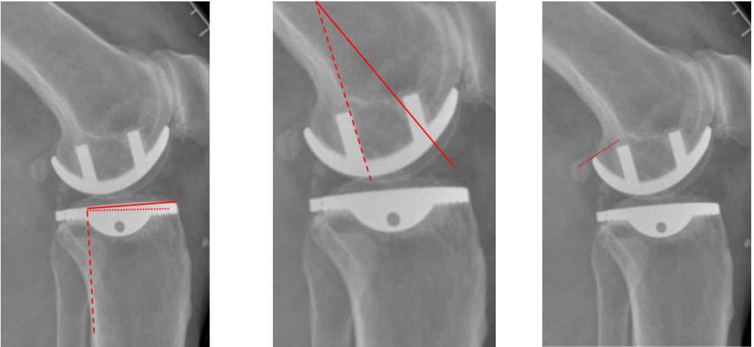
二、外侧LINK:registered: SLED假体位置
(金属背衬设计胫骨平台假体)
假体位置分析
正位片标准胫骨和股骨假体位置
AP位假体位置:胫骨假体轻度外翻,外侧缘与胫骨平台外侧缘齐平; 股骨假体长轴与胫骨假体垂直,与胫骨假体中线一致。
侧位片标准胫骨和股骨假体位置
侧位片假体位置:股骨假体后倾38°,假体后缘与股骨后髁齐平,胫骨假体后倾3°,与胫骨平台前后缘齐平。
标准胫骨和股骨假体位置
胫骨假体厚度合适
胫骨垫片厚度合适:术前外翻畸形基本矫正,残留2-3°外翻
胫骨假体后倾角度大
侧位片胫骨假体位置:胫骨假体后倾15°,前后缘齐平。
股骨假体偏小
侧位片股骨假体位置:股骨假体偏小,与胫骨假体后缘不齐平;屈曲35°,未包容股骨后髁。
股骨假体偏内放置
AP位胫骨与股骨假体位置:股骨假体中轴线与胫骨假体中线不一致,偏内侧,且外翻。
股骨假体偏外放置
AP位胫骨与股骨假体位置:股骨假体中轴线与胫骨假体中线不一致,偏外侧,且内翻
矫正不足、矫枉过正
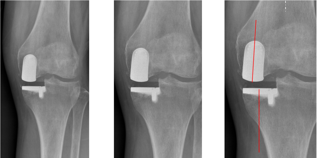
三、内侧LINK:registered: SLED假体位置
(全聚乙烯设计胫骨平台假体)
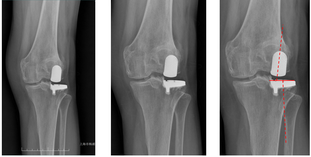
正位片标准胫骨和股骨假体位置
AP位假体位置:胫骨假体无内外翻,内侧缘超出胫骨平台内侧缘1mm; 股骨假体长轴与胫骨假体垂直,中线一致。
侧位片标准胫骨和股骨假体位置
侧位片假体位置:胫骨假体后倾3°,与胫骨平台前后缘齐平,股骨假体后倾40°,假体后缘与股骨后髁齐平。
胫骨假体厚度合适
胫骨垫片厚度合适:术前内翻畸形基本矫正,残留2-3°内翻。
股骨假体偏内放置,胫骨假体偏大
AP位胫骨与股骨假体位置:胫骨假体内侧悬挂>2mm,股骨假体中轴线与胫骨假体中线不一致,偏内侧。
股骨假体偏大且过度屈曲
侧位片假体位置:股骨假体后倾45°,假体后缘超出股骨后髁3mm, 胫骨假体后倾3°,与胫骨平台前后缘齐平。
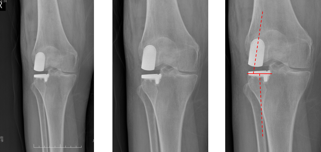
四、外侧LINK:registered: SLED假体位置
(全聚乙烯设计胫骨平台假体)
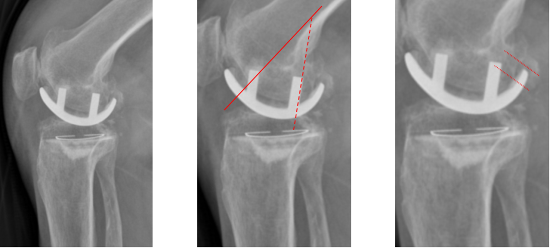
正位片标准胫骨和股骨假体位置
AP位假体位置:胫骨假体外翻3°,内旋10°,外侧缘与胫骨平台外侧缘齐平; 股骨假体长轴与胫骨假体垂直,中线一致。
侧位片标准胫骨和股骨假体位置
侧位片假体位置:胫骨假体后倾5°,与胫骨平台前后缘齐平,股骨假体后倾35°,假体后缘与股骨后髁齐平。
股骨假体偏内放置
AP位胫骨与股骨假体位置:股骨假体无内外内翻,中轴线与胫骨假体中线不一致,偏内侧。
侧位片股骨假体后倾不足
侧位片假体位置:胫骨假体后倾3°,完全覆盖胫骨平台前后缘,股骨假体后倾30°,股骨后髁覆盖不足。
胫骨假体偏厚
胫骨垫片厚度合适:术前外翻畸形矫正至轻度内翻。
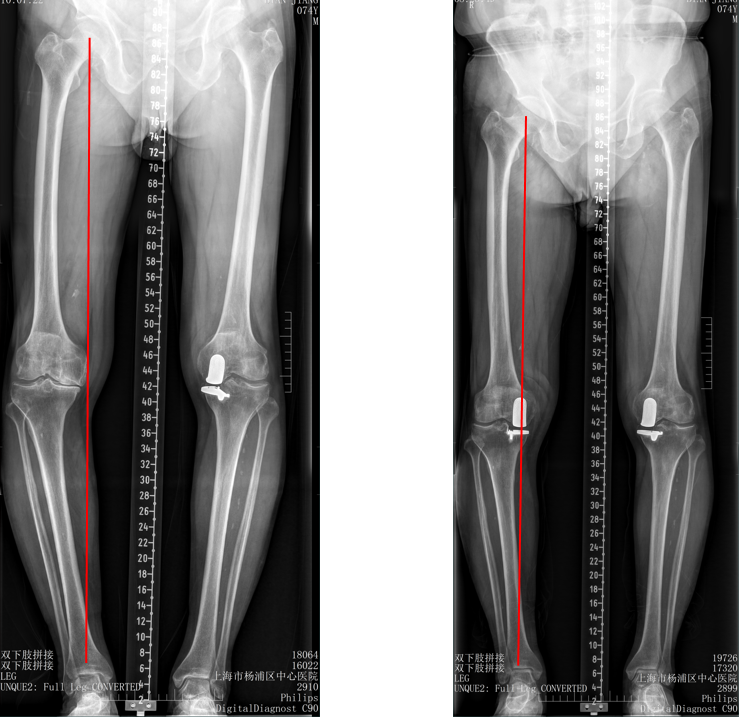
五、一期双单髁置换LINK:registered: SLED假体位置
双间室OA行Bi-UKA
正位片标准胫骨和股骨假体位置
AP位假体位置:内侧和外侧单髁分别按照各自的手术原则独立开展,假体的位置也按照各自的标准进行考量,需要综合考量的是胫股角,关节线,中央髁间隆突。
侧位片标准胫骨和股骨假体位置
侧位假体位置:内侧和外侧单髁分别按照各自的手术原则独立开展,假体的位置也按照各自的标准进行考量。
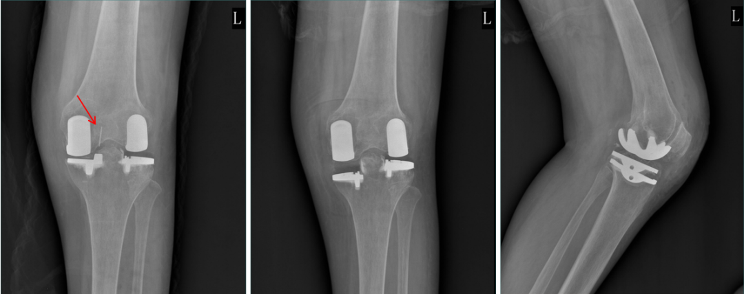
双间室OA行Bi-UKA术后内侧假体周围骨折ORIF
六、二期双单髁置换LINK:registered: SLED假体位置
1、内侧UKA术后外侧间室进展性OA
2、外侧UKA术后内侧间室进展性OA
3、内侧UKA术后外侧进展OA行Bi-UKA术后内侧垫片脱位
MUKA外侧OA进展行Bi-UKA术后内侧Bearing脱位翻修
【建议在电脑观看】
作者介绍
涂意辉 教授
-
博士,主任医师,博士生导师;
-
同济大学杨浦医院首席专家;
-
中国医师协会骨科医师分会第六届委员会 全国委员;
-
中国医师协会骨科医师分会保膝学组副组长;
-
中国老年保健协会骨关节保护与健康分会副会长;
-
中国研究型医院学会膝关节部分置换研究学组副组长;
-
中国研究型医院学会膝关节保护与矫形学组委员;
-
上海市中西医结合学会关节病专业委员会常务委员;
-
上海市医师协会骨科分会关节委员会委员;
-
上海市医师协会运动医学医师分会委员;
-
中国康复医学会骨与关节委员会常务委员。
-
英国牛津大学Nuffield 骨科中心 fellow;
-
《中国伤残杂志》执行副主编;
-
《生物骨科材料临床研究杂志》编委;
-END-
声明:本文为原创内容,作者<涂意辉>,版权归原作者所有,仅用于学习交流,未经授权禁止转载!









