
经皮骨水泥椎间盘成形术(Percutaneous cement discoplasty,PCD)最早且首次报道是2015年,来自匈牙利(Hungary)的P.P. Varga首先在Orthopade报道并命名。以往,我们只听过骨水泥打入椎体,没听说过打入椎间盘,这种研究很让人匪夷所思,难以理解,因为它打破了我们的常规认识,以我们传统的思维模式,这种方式难以置信,有悖伦理。但仔细品读相关文献,并非如此,虽有争议,但不乏他们的道理。今天早读为大家详解经皮骨水泥椎间盘成形术,值得大家学习参考!
一
经皮骨水泥椎间盘成形术概念的提出
-
经皮骨水泥椎间盘成形术(Percutaneous cement discoplasty,PCD)最早且首次报道是2015年,来自匈牙利(Hungary)的P.P. Varga首先在Orthopade报道并命名。
-
原文描述:“During a vertebroplasty procedure, the authors observed that the adjacent disc with vacuum phenomenon filled with PMMA, and signs of instability had disappeared on postoperative X-ray. This led to the development of the PCD procedure: PMMA augmentation of the intervertebral disc with vacuum phenomenon in patients otherwise not suitable for more invasive surgery. The hypothesis of the authors is that, by filling disc space with PMMA, instability is decreased, thus reducing in turn pain and disability”
-
在做椎体成形过程中,发现骨水泥渗漏指邻近伴有真空征的椎间盘内,术后复查X光片发现,术前的椎体不稳现象居然消失了。(可见,临床中,注意观察总结是很重要的。)
二
PCD治疗症状性节段不稳伴椎间盘真空征
在他2015年的文献中,他的病例选择主要是症状性节段不稳伴椎间盘真空征(可引起动态性椎间孔狭窄)和退变性脊柱侧凸(degenerative scoliosis),通过PCD治疗轴性腰痛伴或不伴下肢痛。起初报道47例患者,无神经损伤的发生,且疗效显著。
图一:垂直不稳定和骨水泥椎间盘成形术的概念
-
a:站立时,在负荷作用下,有效神经孔面积小于俯卧位(无负荷)。站着时,节段性神经根受到压迫,导致腿疼。
-
b:经皮骨水泥椎间盘成形术:在俯卧位,“真空”椎间盘充满PMMA。
-
c:椎间盘成形术后,椎间盘高度保持不变,神经孔横截面较术前明显增大。
图二:术中PCD手术的C臂图像
-
a:侧位图上,在椎间盘间隙插入一根Jamshidi 针;
-
b:针在AP视图上的位置;
-
c,d:将K-wire 插入Jamshidi针;
-
e,f:椎体成形术套管针的插入;
-
g,h:用PMMA填充椎间盘;
-
i,j:侧位和正位术后情况。
图三:1个节段PCD
-
a:术前立位侧位X片;
-
b:术前仰卧位侧位X片,注意:神经孔的横截面变大;
-
c:术后立位侧位x线(横截面保持不变);
-
d,e:术前CT,病变节段冠状重建,椎间盘间隙有真空现象,同一节段矢状面重建;
-
f:相同的轴向截面,显示椎间盘内真空征情况;
-
g,h:术后CT,冠状面重建显示骨水泥位置,同一节段在矢状面重建。
-
i:横断面情况。
图四:5个节段PCD
-
a:腰椎的术前CT矢状位重建。多节段椎间盘退变,所有椎间隙均有真空征。
-
b,c:5个节段PCD后的水泥位置。术后CT矢状面和冠状重建情况。
-
d,e:术前站立位的X光片,侧位和正位。
-
f:术后站立位正位X片,可观察到PCD所致退行性脊柱侧凸的中度矫正。
图五:手术前后腰痛、腿痛的VAS评分和ODI评分情况,术后明显改善。
三
PCD治疗腰椎间盘退行性疾病引起轴性腰痛
随后,P.P. Varga团队又进行了一项研究,发表在2019年的Eur Spine J上。
-
他们发现,PCD治疗严重腰椎间盘退行性疾病引起的轴性腰痛和功能障碍是一种有效的微创方法。同时,术后可以纠正腰椎畸形,并达到椎间孔的间接减压的效果。尤其适合于不易行开放手术的老年患者。
-
术后骶骨倾斜角和骨盆倾斜角明显减小,腰椎节段性和整体后凸、椎间盘和椎间孔高度都明显增加。VAS和ODI评分明显改善,且腰痛的改善余节段性侧凸矫正明显相关,且无明显并发症发生。
-
但此研究,随访时间较短,术中骨水泥渗漏,术后是否会引起邻近椎体及终板骨折,骨质疏松症会不会影响后期的矫形情况,远期随访骨水泥会不会整体脱落后移,都是值得参考。但新技术的提出,需要谨慎验证才可逐步推广。
四
PCD与经皮腰椎间盘切除术(PLD)相结合
-
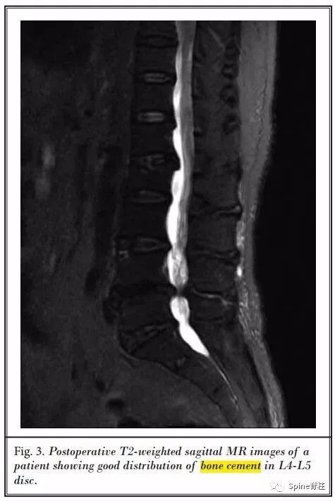
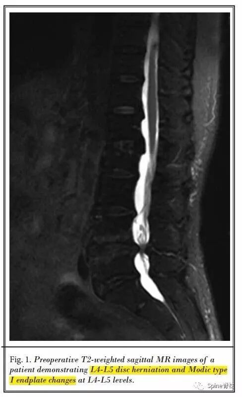
2017年,一篇来自中国(上海交通大学附属第六医院放射科)的研究,将PCD与经皮腰椎间盘切除术(percutaneous lumbar discectomy,PLD)相结合治疗症状性腰椎间盘突出症伴随终板Modic I型改变患者,取得了较好的效果。
-
此研究,评估了PLD+PCP治疗7例症状性腰椎间盘突出症伴随终板Modic I型改变患者,术后VAS和ODI评分明显改善,且无明显并发症的发生。
典型病例
-
最后作者总结,PLD+PCP可作为老年腰椎间盘突出症和Modic I型终板改变患者的可选治疗方法,对介入放射科医生来说是非常可行的。
-
对于因一般情况不佳难以耐受传统开放手术或不愿意接受开放手术的患者来说,这似乎是一个很有希望的选择。
-
此外,这是一种微创技术,可在清醒镇静下进行,并发症发生率极低,住院时间短。
-
同时,作者也指出需要进一步研究,更大的样本量,并与其他可用的治疗方法进行比较,以明确这些初步结果。
五
PCD与经皮腰椎间盘切除术(PLD)相结合
-
另一项来自阿根廷的technical note研究,详细的介绍经皮骨水泥椎间盘成形术的技术报道、适应症和禁忌症及优缺点。
-
适应症:存在机械性腰痛和椎间盘真空现象的老年患者,且症状与站立位或仰卧位X片、CT中椎间盘高度的变化有关,也称之为accordion phenomenon(手风琴现象)。1个或多个节段的脊柱畸形或退行性椎体滑脱且因高手术风险、不能耐受开放手术的患者。
-
禁忌症:严重骨质疏松症、严重畸形、肥胖等为相对禁忌症;感染和肿瘤为绝对禁忌症。
典型病例
-
一例78岁的老年患者,慢性腰痛1年(VAS 7分),活动后加重,卧床后减轻,严重影响生活质量,但无下肢放射痛,无四肢运动和感觉障碍。
-
术前影响资料可见退行性侧凸伴多节段椎间盘真空征。
典型的手风琴现象
-
左图为站立位X片,右图为仰卧位CT平扫。站立位负重时的椎间盘与仰卧位(不负重)椎间盘塌陷程度不同,且侧凸角度也不同(分别为25°和14°)。
A:俯卧位,髋关节伸展,以增加腰椎前凸和椎间盘间隙。
B:经皮透视下放置Jamshidi针。
C:在肌电图监护下穿刺并注射。
D:缓慢注射骨水泥。
经椎弓根外入路(安全三角)
经椎弓根入路
术后情况
2例退变性侧凸患者术后比较
声明:本文来源Spine脊柱,仅为交流学习。内容仅代表作者个人观点,望大家理性判断及应用。









