
引言
肩锁关节是肩部的重要组成部分;它将骨骼与上肢连接起来。该关节是锁骨和肩峰之间的平面关节,包含易于退化的半月板状纤维盘。肩锁关节囊和韧带在水平方向稳定关节,而喙锁韧带复合体提供垂直稳定性。在锁骨和肩胛骨运动期间,三角肌和斜方肌提供动态稳定性。
肩锁关节易受多种病理实体的影响,最常见的是创伤性和退行性疾病。肩锁关节损伤通常影响年轻成年男性,可根据常规 X 光片上看到的骨移位方向和程度,使用 Rockwood 分类系统将其分类为六种类型之一。肩锁关节及其稳定韧带的参与对于理解和分类远端锁骨骨折也很重要。
肩部的五个活动区域
成人右肩的冠状病理切片照片显示 AC 关节的正常倾斜,通常从上外侧向前内侧倾斜
AC 关节运动由区域肌肉指挥
在生物力学文献中,关节处的平移(沿轴的直线)和旋转(围绕轴旋转)运动被描述为发生在水平、垂直或轴向平面中。实际上,这些运动是复杂的,同时发生在可能在多个平面中。
手臂外展期间肩带发生的主要运动是锁骨的上抬、后旋和回缩以及肩胛骨的上旋、内旋和后倾。通过支持静态和动态稳定器来限制关节运动。尽管每个稳定器的作用主要是限制一个方向的运动,但每个稳定器通常具有不止一种功能。稳定结构的贡献随位移的方向和程度而变化,一些稳定器在位移较小时发挥最大作用,而另一些在位移较大时发挥作用
静态稳定器
AC 关节囊和韧带
AC 关节囊和韧带稳定 AC 关节,主要是为了抑制水平平移,在前后 (AP) 方向上的控制比在垂直方向多三倍。这些结构还限制了锁骨的后旋,并有助于在小位移下保持垂直稳定性。
AC 韧带是包膜增厚,传统上被描述为四种结构:上韧带、前韧带、下韧带和后韧带。这些韧带的厚度从 1 到 5 毫米不等,它们的骨插入物的内边缘距离关节线 3-4 毫米,而外围纤维插入更远的远端。上韧带最坚固,是维持水平稳定性的主要韧带。Nakazawa 等人建议将 AC 韧带视为两个结构,一个主要的上后束负责抵抗锁骨后平移,一个细的前下束有助于限制前移位 。
AC 关节包含一个柔韧的半月板状纤维软骨盘,它与关节囊连续,以缓冲关节并纠正骨骼不协调;然而,这个似乎不是必需的。它早在二十年就会退化,并且在成人中通常没有功能。根据其退化状态,该椎间盘可能呈现完整、半月板状、碎片化或缺失 。在年轻人中,盘通常呈半月板状,与上韧带连续,并在肩峰处最牢固地附着。
喙突韧带
喙突(即喙突),被称为“肩部的灯塔”,是多个结构的解剖锚点和重要的手术标志,因为臂丛和腋窝血管与其内侧紧密相连边界。胸小肌、喙肱肌和肱二头肌短头肌腱插入喙突尖端附近,而喙肩韧带和喙锁韧带 (CC) 沿其钩和基部起始。
韧带形成一个倒三角形,其顶点位于喙突,其基部位于锁骨远端三分之一的下表面。喙肩韧带是三角形的纤维结构,从喙突外侧延伸到肩峰上。尽管它的一些纤维与下 AC 囊重叠,但该韧带并不是重要的关节稳定器 。CC 韧带由梯形韧带和圆锥韧带组成,是 AC 关节的主要垂直稳定器,当关节囊破裂时替代其主要的水平稳定器。圆锥韧带和梯形韧带在解剖学和功能上是不同的。梯形韧带较大,大致呈四边形,沿着梯形线(梯形脊)插入锁骨远端,跨越距关节线 1.5-3.0 厘米的区域。圆锥韧带呈圆锥形,几乎垂直,位于梯形韧带的后内侧。它的纤维在向上延伸以插入圆锥结节和相邻的锁骨时会扭曲,跨越关节线内侧 3-5 厘米 。梯形韧带抑制锁骨后移位和 AC 压缩,而圆锥韧带主要负责垂直稳定性,抑制锁骨的上移 。
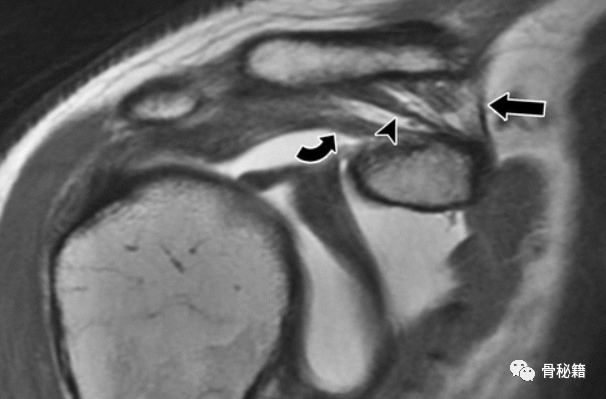
男性喙突韧带的正常解剖结构。右肩浅斜冠状 T1 加权 MR 关节造影显示正常韧带起源于喙突。喙肩韧带(弯曲的箭头)位于最外侧,以浅角度向肩峰延伸。在喙肩韧带内侧,CC韧带的梯形部分(箭头)插入锁骨外侧的下缘。锥形韧带(直箭头)位于梯形的后内侧,具有垂直方向的纤维,连接到距关节一定距离的锁骨下后缘。
动态稳定器
三角肌和斜方肌是 AC 关节的动态稳定器,尽管它们的确切贡献尚不完全清楚,因为在体外重建肌肉活动具有挑战性。斜方肌是一块扁平的大肌肉,起源于枕骨、颈韧带和 C7-T12 棘突。其上部纤维插入锁骨远端后缘,中部纤维插入肩峰和肩胛外侧棘,下部纤维插入肩胛内侧棘。
三角肌有一个宽的C形起点,起源于锁骨远端三分之一的前缘、肩峰和肩胛骨外侧,并向远端逐渐变细以插入肱骨外侧 。三角肌和斜方肌通过肌肉和腱膜筋膜纤维插入骨骼。三角梯形筋膜是指源自这些肌肉的浅表腱膜的胶原区域,它们弥合了它们的附件之间的间隙。三角梯形筋膜附着在锁骨和肩峰的骨膜上,并与上 AC 韧带重叠,加强关节。
影像学
X线照片是用于评估疑似 AC 病理实体的初始且通常唯一的成像方式 。AC 关节在标准 AP 肩部 X 光片上可见,但它的角度不一且通常过度穿透。AP 成角度的 Zanca 视图更适合评估 AC 关节和锁骨远端。
光束以关节为中心,向头侧倾斜 10°–15°,从而穿过较薄的组织,优化穿透力,降低辐射剂量,并减少锁骨和肩胛骨的重叠。额外的放射投影,如腋窝和侧位片也很重要,特别是对于评估水平面不稳定性。
在急性创伤中,包括对侧在内的直立全景 Zanca 射线照相视图被广泛使用。双侧视图为正常关节配置和 AC 和 CC 距离提供参考,提高诊断准确性。通过测量和比较两侧而不是依靠目视检查进一步提高了准确性,CC 距离是最可靠的。通过悬吊或让患者保持 10-15 磅重物获得压力视图;这两种方法产生相似的结果。
然而,由于无法准确评估伴随的软组织损伤以及 CT 电离辐射的使用,导致 5%–10% 的高级别 AC 损伤患者更倾向于使用 MRI,这些患者需要先进的成像技术来制定手术计划. 使用 MRI 可以最准确地评估高度损伤,这是描绘区域稳定器的参考标准,可以评估骨骼、肩袖、盂肱关节和神经血管结构。









