
“工欲善其事,必先利其器”。超声刀作为当今外科手术中最常用的能量工具之一,被认为是影响传统外科发展的革命性产品,其兼切割、止血、分离和牵拉等多种功能于一体,具有切割快、止血好、焦痂少和损伤小等良好性能,已经成为外科医生手中常用的手术利器。
给与组织适当的张力
超声刀在使用切割功能前,应夹持目标组织拉紧给与充分的张力,以保证切割速度;在凝闭切断血管时,应避免对血管的张力过大,以致血管在凝固前被撕扯断。超声刀在激发时禁止旋转刀头,避免对刀头的损伤。
使用刀头的前2/3
超声刀在使用时,应使用刀头的前2/3夹持组织进行激发,控制组织在白色垫片范围内,避免夹持过满,因刀头后部能量较低不能完全切割组织或闭合血管时血管凝固不全。若夹持组织过满,切割速度慢,易出血,产雾多,影响手术视野。
工作面远离其他组织
超声刀刀头分为工作面和白色垫片,超声刀在激发时,应保证工作面远离其他组织避免造成副损伤,如重要脏器及不进行切割或凝闭的组织,避免超声刀工作时产生的热能导致组织出血或穿孔。

刀头在视野范围内
超声刀作为能量器械,在激发过程中应保证刀头完全暴露在视野范围内,避免触碰视野外组织造成损伤。在切割深层次组织时,可在激发前轻微旋转刀头,使工作面朝上,确保暴露刀头后再进行激发切割组织。
激发时间不超过7秒
在超声刀激发时,由于刀头的高频振动产生热能从而切割组织,故超声刀的激发时间不宜过长,以不超过7秒为宜,避免激发时间过长造成组织热损伤产生焦痂。
超声刀在使用时,避免无钳夹组织或夹取组织量少进行空激发,造成工作面和白色垫片大面积摩擦从而损耗刀头;如需进行致密组织分离,可将超声刀刀头张开,使用工作面接触组织后进行激发从而离断组织。
避免碰到坚硬物体
因超声刀工作时,通过刀头的高频振动产生热能,故在超声刀激发时,避免触碰金属或骨骼等坚硬物体,造成刀头的断裂或导致组织损伤。
超声刀在长时间使用后刀头会附着组织焦痂,应将刀头进行及时清理,可使用湿纱布进行擦拭,或将刀头放在清水中激发震荡使焦痂组织掉落,注意此时应保证刀头呈张开状态,清理刀头后以保证切割速度。
超声刀在腹腔镜外科手术中的应用具有明显的优点,有学者对比研究发现单极电刀和超声刀凝固1、5、9秒,组织损伤范围分别为2.5、6、7mm与0.8、2、3.5mm,超声刀对周围组织的损伤远小于电刀,并且少烟少焦痂使腹腔镜手术视野更清晰、缩短手术时间,无电流通过人体使手术更安全,减少了并发症的发生。

一、凝闭
超声刀的凝闭止血功能强大,其止血功能优于其他能量器械。超声刀可以在切断组织的同时完成止血,达到切割止血一步完成。超声刀也可以单独用于出血点的止血。使用超声刀凝闭止血时,有以下几点需要注意:
1、处理血管时注意保持无张力状态
在应用超声刀切断血管时,一定注意要保持血管处于毫无张力状态。因为切割血管时如果有张力可能导致血管切到一半而引起撕扯,然而此时凝滞血栓并未完全形成,从而引起出血。
由于超声刀的切割作用来源于机械振动,故常被用来剪线。如果为重复使用的刀头,建议不要使用超声刀刀头剪线,以免减少刀头使用寿命。
2.对较粗的血管,先凝再断
可以先用超声刀的电凝功能于血管两端先凝一会,然后再于中间切断,如此可增长血管的凝滞血栓,增加止血可靠性。
3.超声刀可应用于出血点的止血
以超声刀夹起出血组织然后电凝。注意超声刀刀头较钝,夹持精细的地方可能有困难,需要练习。夹持起出血组织后,轻微提起让超声刀刀头远离大血管以及支气管壁,防止误伤。
二、切割
超声刀靠高频的机械振动来进行组织的切割止血,所以,很多术者喜欢切割的同时增加一点张力,这样子会加快组织切割的速度。而且,组织切割速度越快,刀头的温度越低。(这一技术仅仅适用于没有主要血管的组织,对于血管的切割前文讲到,必须保持毫无张力。)
这种边切割边撕扯的动作,实际上包含了夹持、钝性分离、切割、止血四大作用,其动作的幅度力度因术者习惯而有所不同。初学者注意力度缓和,幅度不要过大。
因为增加了钝性分离动作,所以会让组织间隙更容易显露。注意超声刀走形的力的方向应是远离、躲避重要的血管等易损伤组织,而且有助于组织的分离。
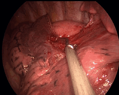
超声刀正在游离切割下肺韧带,加持了钝性分离的撕扯力量,让下肺韧带的游离速度更快。
超声刀正在打开纵隔胸膜,加持张力以后,组织间隙更清楚,切割速度也更快,类似于电钩挑起的道理。

超声刀夹持住淋巴结底部的疏松组织,运用切割+张力将淋巴结移除。这一动作经常被用来清除淋巴结,包括支气管上淋巴结的剔除。

超声刀夹起淋巴结底部然后将之摘除,因为超声刀刀头温度较双极电凝止血钳温度更低,止血效果更好,所以超声刀更适合于这个动作。

超声刀也经常被用于切割少量的肺组织,比如发育不全的肺裂。

三、夹持
超声刀的夹持作用,很多时候是与切割、凝闭、分离同步完成的。
一般来说,超声刀的夹持尽量使用刀头的前三分之二。其实对于不重要的组织,可以大把夹持,快速切割;而对于精细的操作,要小心仔细,如小鸡啄米,用刀头的最尖部分轻轻咬起少量组织。操作仔细的话,超声刀可以像电钩一样完成精细的操作。
初学者使用超声刀,应该从少量组织开始夹起,这样有助于锻炼自己的操作精细度。在不重要的组织练习夹持精度,操作熟练后逐步开始游离血管、清除血管旁淋巴结等的精细操作。
下图为超声刀正在进行肺段血管的游离,精细的操作让血管完全裸化。

免责声明:本文来源于网络,仅供医生学习交流,如有侵权,请联系删除!









