
关于口内照的重要性,你知道吗?
一套清晰完整的术前、术中、术后面部照及口内照,是一次精准正畸治疗必不可少的组成部分,其完整性甚至可能会影响到最初正畸方案的制定及最后治疗结果的呈现。
今天,给大家整理了《口内与正畸》摄影方法和技巧,在这个开学季快一起来学习吧。
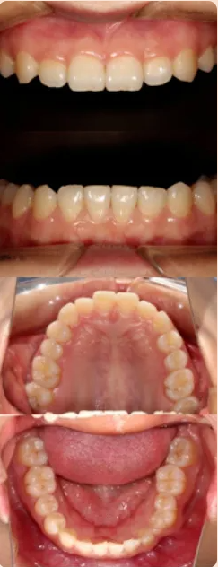
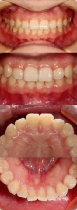
口内规范摄影的成组照片实例
倍率的选择
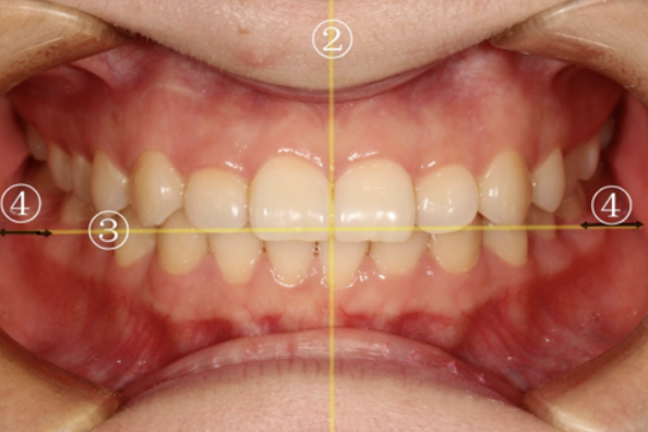
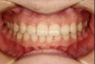
全牙列咬合影像如何构图?
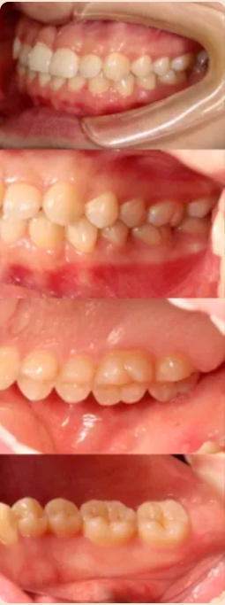
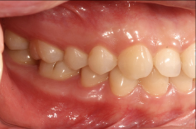
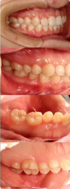
全牙列侧面咬合摄影
如何构图?
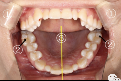
咬合面的拍摄
如何构图?
舌/腭侧面摄影
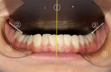
下颌舌侧如何构图?
舌/腭侧面摄影
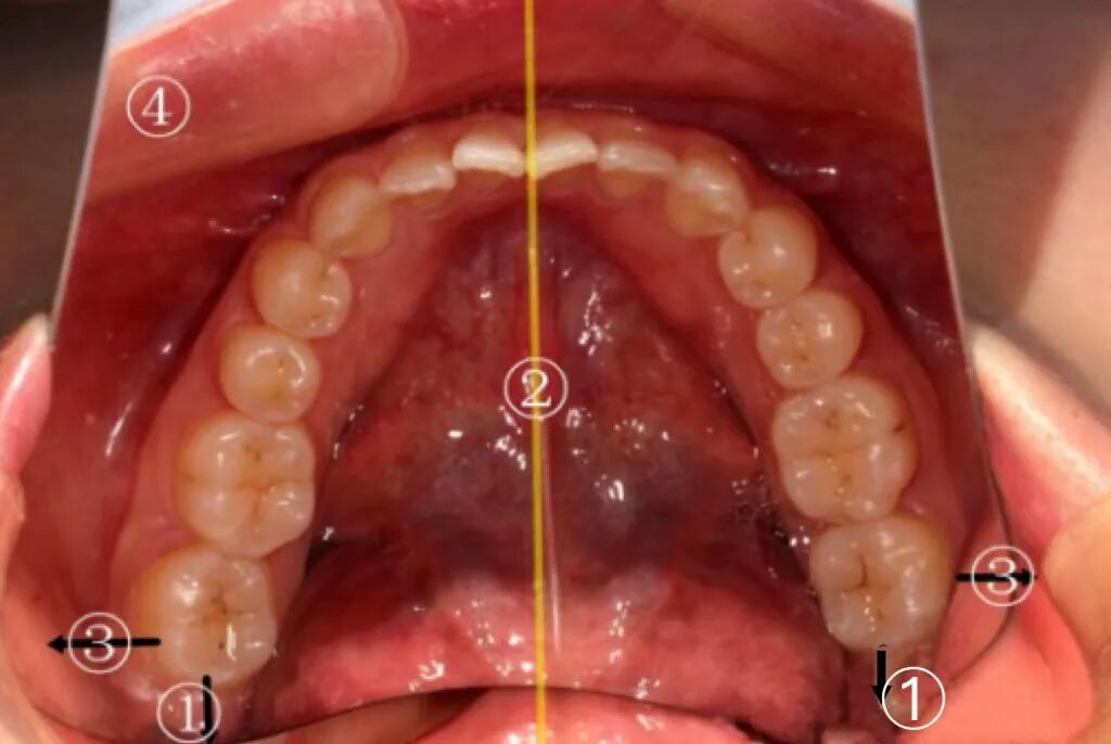
上颌腭侧如何构图?
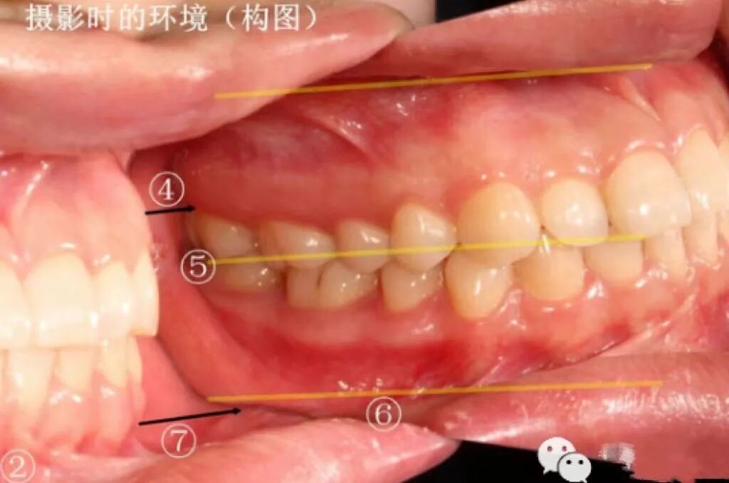
颊侧面反光板摄影
如何构图?
上下前牙腭/舌侧面摄影
如何构图?
上下前牙黑背板摄影
如何构图?
面部影像拍摄
正面照如何构图?
面部影像拍摄
微笑照如何构图?
45°微笑照如何构图?
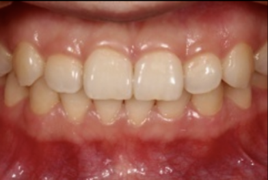
前牙咬合关系如何构图?
-END-
声明:本文转载自<口腔学术在线>,仅用于学习交流,如有侵权,请立即联系我们处理。内容仅代表作者个人观点,望大家理性判断及应用。









