Bosworth骨折于1947年首次被描述,这是一种罕见的踝关节损伤类型,在所有踝关节骨折病例中估计占比为1.6%。Bartoníček等人在2007年研究发现,1947年至2006年间文献中仅报道了60例相关病例。截至2017年,共记录到108例病例报告。如此少的数据一方面说明了这方面骨折的确很少,同时也说明了相关骨折可能存在误诊、漏诊的现象,而Bosworth骨折的并发症又是十分严重的,我认为越是这样越是有必要搞懂他。之前的文章中已经对BF进行了详细的说明,阐明了此类骨折建议手术治疗。今天我们着重讨论一下他的手术治疗,具体怎么处理效果更好。
最新在《Foot Ankle International》杂志上发表的这篇文献阐明了BF骨折的中期疗效结果,也对手术的方案进行了研究。详细见下文:
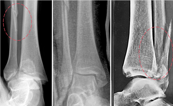
一、BF骨折当中腓骨形态多样,有高位也有低位的。
BF骨折解剖特点如下:
二、诊断要点:
-
X线:
-
AP位:胫腓重叠(tibiofibular overlap)
-
侧位:距骨后脱位、腓骨后移
-
CT(金标准):
-
确认腓骨移位
-
显示后踝骨折类型
-
发现隐匿性骨折(Tillaux、Wagstaffe)
三、治疗原则
标题:治疗策略:早复位、早手术要点:
-
非手术治疗几乎总是失败
-
闭合复位成功率低(仅6例报告成功)
-
标准治疗:早期开放复位内固定(ORIF)
-
手术顺序:
-
复位腓骨 → 2. 固定后踝 → 3. 固定内踝/韧带 → 4. 检查下胫腓稳定性
手术入路选择:(后外侧入路可以很好的显露腓骨于胫骨后侧的卡压,使用撬拨技术先复位腓骨)
四、并发症
五、治疗结果与预后
-
非手术治疗:
-
仅个案报告短期成功
-
长期风险:关节不稳、创伤性关节炎
-
手术治疗:
-
早期手术效果优于延迟(>24h)
-
常见后遗症: 疼痛、活动受限、关节僵硬
-
长期随访稀少: 最长13年,功能尚可但活动度下降
六、结论与建议
-
提高警觉: BF易被误诊,需高度怀疑
-
影像金标准: CT+3D重建
-
治疗原则:
-
禁止反复闭合复位
-
尽早ORIF,解剖复位所有骨折块
-
术后评估: 建议CT确认复位质量
-
研究缺口: 需大样本、长期随访(≥5年)研究
七、病例
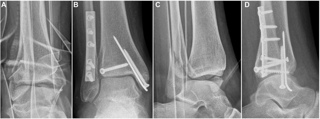
目前我查找相关足踝外科书籍发现关于BF骨折的专门手术研究很少,在《积水潭足踝骨折》一书中发现了一例BF的手术介绍,摘抄如下:
首先通过X线片、CT明确骨折类型及骨折细节,此例腓骨骨折属于WeberB型,通过CT发现内侧间隙增大,考虑三角韧带损伤的可能较大,同时后踝骨折块较小。
作者选择后外侧入路,先复位腓骨,后踝未予处理,未予三角韧带修补,复位腓骨后检查下胫腓间隙不稳定行下胫腓螺钉固定。术后CT可见下胫腓间隙复位可。作者术中通过复位外踝、下胫腓间隙后透视见内踝间隙匹配可。
术后随访可见患者功能恢复良好。
八、个人总结
首先关于BF的复位顺序建议:先行腓骨复位,术前根据CT评估后踝骨折块大小及位置,术中选择是否固定后踝,下胫腓、三角韧带是否修复需要通过术中复位腓骨后做决定。当然关于三角韧带是否需要提前预置锚钉,不仅需要术前的影像学评估,还需要术中临时复位腓骨后根据透视才能决定。根据上述积水潭病例分析,作者认为根据踝关节三环理论,当两环稳定时即可达到稳定效果。(这个需要大家根据自己理解来定)。
-END-
声明:本文转载自<足踝一刻>,版权归原作者所有,仅用于学习交流,如有侵权请联系删除









