前交叉韧带(anterior cruciate ligament,ACL)是膝关节重要的稳定结构,ACL损伤已成为严重影响膝关节稳定性的重要因素,及时准确诊断对骨科医生来说具有一定的挑战性。今天早读为大家带来前交叉韧带损伤的MRI诊断高清动图详情,值得大家学习参考!
前交叉韧带损伤的MRI诊断
-
膝关节结构较复杂
-
膝关节损伤机会多
-
DR
-
CT
-
MRI
-
X线照片无法显示。
-
CT亦无法显示韧带、半月板等结构。
-
某些骨折对诊断前交叉韧带损伤有意义!
-
MRI利用人体组织的T1和T2的时间不同,形成对比是其成像基础。
-
可清楚地显示骨、软骨、半月板、韧带、肌肉等。
-
MRI诊断必须以解剖学为基础!
-
MRI与体格检查及关节镜结合诊断准确率才更高!
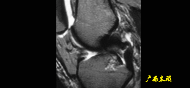
(一)MRI的扫描方向
1.斜矢状面:一般以横断面为定位像,在标准矢状面定位的基础上,将扫描线内旋15°-25°;或以冠状面为定位像,平行于韧带长轴进行扫描。
2.斜冠状面:一般以矢状面为定位像,沿韧带长轴进行扫描。
3.轴状面:扫描层面平行于膝关节间隙。
(二)ACL的正常MRI表现
-
各序列均为低信号。
-
韧带平直,边界清楚,有较好的张力。
-
韧带内可有脂肪及滑膜条纹影。
(三)ACL损伤的MRI分级
Grade1:韧带内损伤,无长度改变。
Grade2:韧带内损伤并长度延长。
Grade3:完全性韧带撕裂。
Grade1、2级是部分损伤。
Grade3级是完全损伤。
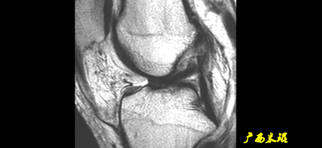
(四)ACL最好的观察层面
-
最好的观察层面是斜矢状面。
-
必须结合横断面和冠状面。
(五)ACL角度
矢状面ACL与髁间窝的顶部形成一个13°的夹角。
(六)ACL最常见的撕裂部位
韧带实质部>韧带股骨髁附着部>韧带胫骨附着部。
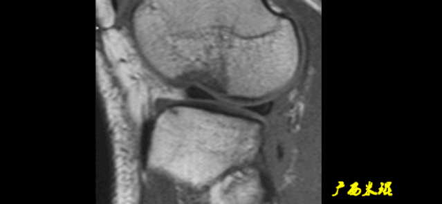
(七)ACL损伤直接征象
1)ACL本身的形态和信号异常:
2)不连续:
-
有韧带的低信号,但中断不连续。
-
一般见于新鲜损伤。
3)方向异常(ACL 下垂征):
-
有较完整的韧带低信号,但方向异常,呈下垂状。
-
一般见于股骨附着部的陈旧损伤,损伤的ACL下垂并粘附在PCL上。
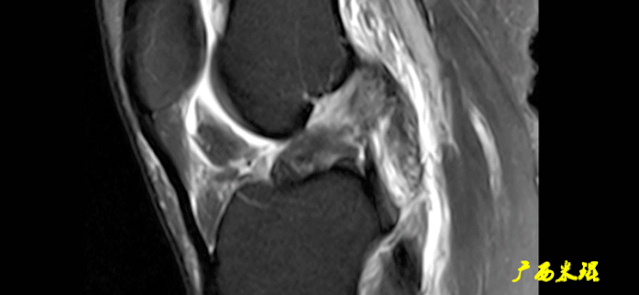
4)消失:
-
髁间窝空虚,无韧带信号。
-
见于较久的损伤,损伤的ACL撕裂较重呈马尾状,无滑膜包裹,逐渐被关节内的酶腐蚀而消失。
5)撕脱骨折:
-
一般为ACL胫骨附着部的撕脱。
-
韧带完整,信号多正常。
6)假瘤:
-
韧带损伤后断端较整齐,残端组织增生并被滑膜包裹呈“瘤状”,如果突出于前方为“独眼征”。
-
多见于韧带股骨附着部撕裂及部分撕裂。
7)扭曲和空虚:
-
髁间窝内似隐隐约约有低信号,边缘明显,中央空虚;或者中央有低信号,但扭曲如麻花状。
-
多为陈旧损伤,仅存ACL的滑膜,里面可有少量的韧带纤维,粘附在后方,随着膝关节的长时间屈伸逐渐呈扭曲状。
(八)ACL损伤间接征象:
1)ACL撕裂后胫骨前移位出现的一系列改变
2)骨挫伤:
一旦ACL撕裂,胫骨就相对于股骨前移,使股骨外侧髁和胫骨外后方撞击,双方均出现水肿,而且膝关节屈曲的程度决定股骨髁挫伤的部位。
3)沟槽征:
当股骨外髁骨因撞击造成的凹陷深度>2mm时称为沟槽征,代表受到撞击的暴力更大。
4)接吻征:
A.膝关节过伸受伤时,胫骨前部撞击股骨髁前部,形成对称性骨挫伤。
B.如果同时有一外翻力的话,膝关节外侧可出现对称性挫伤,这种对称性骨挫伤称为接吻征。
C.也有人把轴移造成的股骨外侧髁和胫骨外后方水肿称为接吻征。
D.轴移-接吻征?
E.高度轴移-ACL损伤-外侧半月板后根损伤
5)Segond骨折:
-
胫骨平台前外侧撕脱骨折(胫骨平台腓骨尖上方,关节线下方的撕脱骨折),多因为下肢过度内翻加内旋暴力所致。
-
骨折本身无特殊治疗,但其强烈提示ACL损伤(75–100%)。
6)胫骨前移:
-
胫骨后缘垂直线位于股骨髁后缘垂直线前方5mm以上。
-
由于MRI检查时病人为平卧位,胫骨应该因重力而后沉,因此胫骨前移征往往暗示膝关节处于交锁状态。
7)外侧半月板后角裸露征:
外侧半月板后角后缘垂直线位于胫骨后缘皮质垂直线之后方。
8)ACL出现高信号:
-
ACL信号紊乱,中央夹杂有较多高信号。
-
不一定就是ACL损伤,需要与粘液性变、痛风结晶沉积等鉴别。
9)急性血关节:
如果为急性ACL损伤,必然存在着大量的关节内积液(血),否则就不是。
10)胫骨后内侧平台骨折:
因为半膜肌的牵拉造成其附着点的撕脱骨折,是ACL损伤中一种比较少见的间接征象。
11)内侧半月板后角撕裂:
-
内侧半月板后角是ACL的重要稳定结构,一旦发现青壮年患者的内侧半月板后角损伤,应该高度怀疑是ACL的继发损伤。
-
常常见于陈旧损伤患者。
12)外侧半月板后根损伤:
-
外侧半月板后根撕裂的机制与ACL损伤的机制相似。
-
发现外侧半月板后根损伤时必须考虑有ACL损伤的可能性。
13)半月板桶柄状撕裂:
为膝关节的一种严重损伤,常伴有ACL损伤。
14)内侧副韧带损伤:
-
膝关节损伤三联征:ACL+内侧半月板+内侧副韧带损伤。
-
内侧副韧带的严重损伤应该考虑可能有ACL损伤。
15)后交叉韧带弯曲角度异常:
-
矢状位正常的PCL为凸面向后的弓形,边缘光滑。
-
PCL弯曲角度的异常有可能是ACL损伤所致,但准确性不高。
16)外侧胫骨平台后缘骨软骨挫伤或者骨折:
因ACL断裂后胫骨外侧平台反复向前脱位引起。
17)内后侧胫骨平台的撕脱骨折:
国外也进行了相关的研究,主要是半膜肌的牵拉或股骨后髁与胫骨平台内侧缘撞击引起,常常合并ACL损伤。
国外研究认为膝关节屈曲90°轴向载荷是导致胫骨平台后内侧骨折的一种创伤机制,因暴力的不同,既可合并PCL损伤,也可合并ACL损伤。
(九)注意鉴别
1)半月板移位挤压改变
2)PCL损伤后的ACL松弛改变
3)ACL粘液性改变
4)ACL内痛风结晶改变
任何时候都要切记:疾病的诊断MRI等检查只是辅助手段!MRI应该与临床检查及关节镜手术所见紧密结合!
-END-
声明:。本文为好医术作者原创整理自米琨老师课件,仅用于学习交流,未经授权禁止转载!









