肩关节是一个复杂的关节,它由多个关节、多块肌肉、多条韧带之间相互作用,形成身体中一个独特的区域。熟悉相关解剖是快速诊断、成功手术必备要素,尤其是对于刚开始做肩关节手术的医师更为重要。今天采用高清图谱讲解肩关节影像解剖,值得学习借鉴!
肩关节骨骼构成
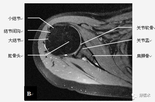
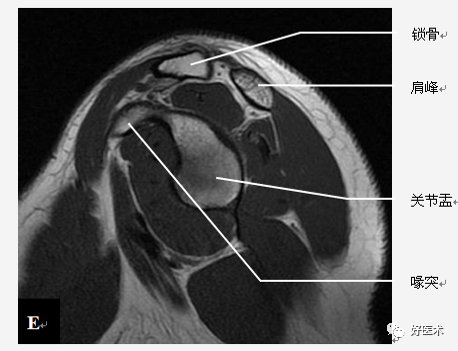
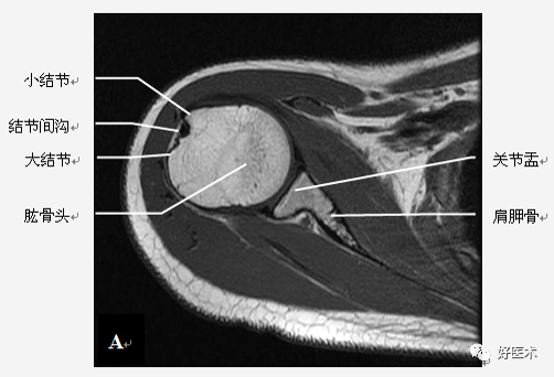
三块骨:肩胛骨、锁骨、肱骨
两个关节:
-
肩锁关节
-
盂肱关节

肩关节固有肌群
肩关节非固有肌群:斜方肌、背阔肌、肩胛提肌、菱形肌、前锯肌、胸大肌、胸小肌、锁骨下肌。

稳固关节的结构
-
喙肩弓
-
肩袖
-
盂唇
-
关节囊
-
关节周围滑囊:
(1)喙肩弓
-
肩峰的前1/ 3
-
喙肩韧带
-
喙突的前1/ 3
-
肩锁关节和锁骨的远端
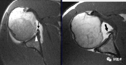
(2)肩袖
肩袖是由冈上肌、冈下肌、小圆肌和肩胛下肌的肌腱构成。前三个肌腱由上向下均止于肱骨大结节,而肩胛下肌腱止于肱骨小结节。
位于冈上肌腱与肩胛下肌腱之间的间隙称之为旋转间隙( rotator interval) 。其内有喙肱韧带、肱二头肌长头腱、上盂肱韧带和喙突。
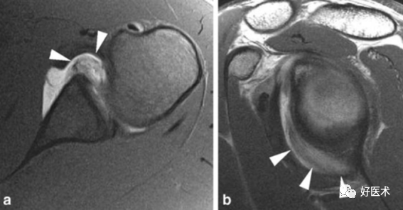
(3)盂唇韧带复合体
盂唇与关节盂缘的透明软骨相接,其作用在于增深关节窝并与盂肱韧带、关节囊和肱二头肌腱一起维持肩关节稳定性。
盂肱韧带包括上盂肱韧带(SGHL) 、中盂肱韧带(MGHL) 、下盂肱韧带( IGHL) 。它们都是关节囊前面增厚的部分。盂肱韧带与盂唇连在一起被称作盂唇韧带复合体。
1.盂唇
盂唇一般分为六部分:前部、前上部、前下部、下部、后下部及后上部 。也可按关节盂的钟点方向分为四部份:
-
1-5点为前盂唇
-
5-7点为下盂唇
-
7-11点为后盂唇
-
11-1点为上盂唇
-
盂唇上部及前上部有肱二头肌长头腱和上盂肱韧带附着
-
盂唇前部有中盂肱韧带及关节囊附着
-
下盂肱韧带前束附着于盂唇前部,同时参与构成前盂唇
-
下盂肱韧带后束附着于盂唇后部
2.盂肱韧带
-
包括上盂肱韧带(SGHL) 、中盂肱韧带(MGHL) 、下盂肱韧带( IGHL) 。它们都是关节囊前面增厚的部分,形成Z型结构。
-
维持肩关节的前向稳定。
-
SGHL向前走行与喙突相平行,止于小结节上方结节间沟区域并与喙肱韧带相融合。
-
MGHL在与盂缘邻近处向下走行,再以60°角横过肩胛下肌腱后止于小结节基底部。
-
IGHL:前束、后束和腋下陷窝部分。
Weitbrecht 孔; Rouviere 孔
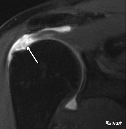
(4)肱二头肌长头腱
肱二头肌长头腱起于盂上结节,并在附着处远端与上盂唇紧密相连,两者的胶原纤维相互编织构成肱二头肌腱盂唇复合体(BLC) 。长头腱在关节内走行于结节间沟。
BLC 有三种类型:
-
Ⅰ型:BLC 牢固的与关节盂上极相连。
-
Ⅱ型:BLC 附着点在关节盂缘矢状面的内侧几毫米处。
-
Ⅲ型:盂唇在形态上与半月板相似。
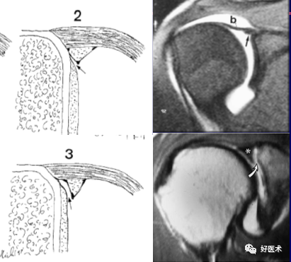
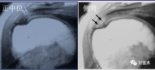
盂唇韧带复合体最佳显示体位(举过头顶并外旋、外展位)ABER position
上盂肱韧带、喙肱韧带、肱二头肌长头腱
(五)关节囊及关节周围滑囊
根据其前部附着位置不同分三型:
-
Ⅰ型附着于盂唇上或盂唇基底部
-
Ⅱ型附着于盂缘内侧1cm以内
-
Ⅲ型则附着于距盂缘1cm以外
由于关节囊滑膜的反折,可在关节囊内形成隐窝(肩胛下隐窝)。
肩关节囊还常与肩周围软组织内的一些滑膜囊相通。
肩关节周围滑囊

(6)神经血管
-
锁骨下动脉、腋动脉
-
臂丛
(7)常见变异
1.正常盂唇
2.盂唇变异
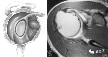
盂下隐窝:Ⅱ型或Ⅲ型BLC所致盂唇与关节盂之间的隐窝,位于12点钟方位。
盂下孔:需与盂下隐窝鉴别,位于2点钟方向
索状中盂肱韧带
Buford 复合体:索状中盂肱韧带伴前上盂唇缺如

MRI检查技术
(1)体位
-
仰卧位:检查侧上肢紧贴身体呈中立位或轻度外旋位。
-
ABER位(前臂外旋外展位):检出关节盂及韧带病变
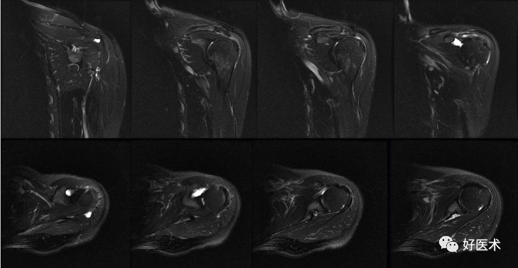
(2)扫描方位
-
横轴位:取三维立体定位像的冠状像,扫描层面与关节盂垂直,扫描范围从肩峰至肱骨颈下。
-
斜冠状位:取横断位作定位像,扫描层面与冈上肌腱平行,扫描范围为锁骨外端至肩峰。
-
斜矢状位:取横断位作定位像,扫描层面与关节盂平行,扫描范围包括肱骨头和整个关节盂。
-
轴位:评估Bankart lesions 和盂唇损伤、评估肩胛下肌肌腱。
-
斜冠状、斜矢状:显示肩袖及冈上肌走行、显示喙肩弓。
-
斜冠状、轴位:评估盂唇撕裂、肱二头肌长头腱与上盂唇的连接。
轴位:显示肩胛下肌腱撕裂、盂唇撕裂
冠状位:显示肩袖撕裂、盂唇撕裂
矢状位:显示肩袖撕裂、盂唇撕裂
(3)关节腔内造影
-
脂肪抑制T1WI序列
-
Gd-DTPA 稀释为1~ 4 :1000 后,注射12. 0~16. 0ml至肩关节腔

撞击综合征
当肩关节处于外展体位时,尤处于60°~120°时肩峰下空间缩小且肩腱袖刚好从中穿过,此时由于一些解剖结构病变引起冈上肌出口(肱骨头上方和肩峰下方间的间隙) 狭窄,即压迫肩峰下滑囊和/ 或冈上肌腱,引起以有肩部和上臂疼痛为特征的临床征候群。
肩袖、肱二头肌长头腱、肩峰下滑囊、喙肩弓、肩峰和肱骨头在综合征中起重要作用。
(1)肩峰下撞击综合征
1)病因:肩峰或喙肩弓结构异常、退行性变、创伤。
2)临床表现:肩关节外展至一定范围即有肩部和上臂疼痛,而在此幅度以内活动时则无疼痛。
3)诊断:肩峰下间隙注入1%利多卡因10ml,如肩关节疼痛消失且可自由活动,则可确诊。
4)病理过程:
-
第一阶段:肩袖的水肿出血
-
第二阶段:肩峰下软组织的增厚、纤维化,有时伴有肩袖的部分撕裂
-
第三阶段:肩袖的完全撕裂
5)MRI表现
肩峰的形状:
-
Ⅰ型:扁平型;
-
Ⅱ型:弓型;
-
Ⅲ型:钩型
肩峰下滑囊及肩袖的改变:
-
Ⅰ型:肩峰下滑囊炎,滑囊增厚而冈上肌及其肌腱信号正常
-
Ⅱ型:
-
Ⅲ型: 冈上肌回缩及冈上肌腱异常信号,提示肩袖完全撕裂
肱二头肌长头脱位和肱二头肌腱鞘炎
喙肩弓的骨质增生退变:
-
骨质硬化
-
软骨下囊肿
-
骨髓充血
肩锁关节骨质增生,冈上肌腱上部信号增高
肩峰下缘倾斜,肌腱撕裂
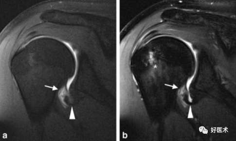
典型撞击伴冈上肌腱撕裂
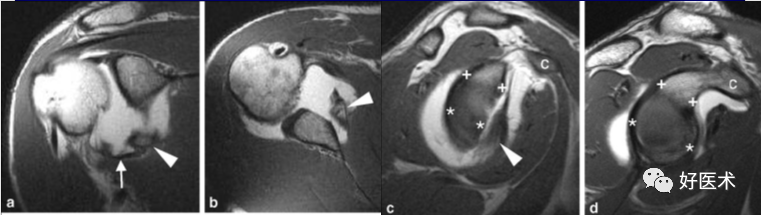
(2)肩袖撕裂
冈上肌腱最易发生。
部位:最易发生于距肱骨大结节1. 0cm 处所谓的危险区域 。
病因: 退变和外伤学说、撞击学说 。
临床表现:
-
慢性肩部疼痛,疼痛部位为肩关节前外上侧,上臂前屈或外展时加重,劳作后或夜间卧位时症状加重;
-
颈肩部疼痛和肩关节无力,最典型的是颈肩部的夜间疼痛和“过顶位”(患肢高举超过自己头顶)疼痛,无法侧卧位。
肩袖病变分期(Neer):
-
Ⅰ期:肩袖特别是冈上肌腱水肿和出血
-
Ⅱ期:炎症进一步发展及更多纤维组织形成
-
Ⅲ期:肩袖撕裂(部分性、完全性)
病理改变:慢性肩袖纤维断裂、修复和肉芽组织增生
肩关节体检:
-
肩峰下或肱骨大结节处压痛;
-
肩坠落试验:被动抬高上臂至上举90°~120°,撤支持后不能自主支撑;
-
撞击试验:向下压迫肩峰,同时被动上举患臂,如在肩峰下间隙出现疼痛或伴有上举不能时为阳性;
-
疼痛弧征:患臂上举60°~120°出现肩前方或肩峰下区疼痛,对肩袖挫伤或部分撕裂有一定诊断意义;
-
盂肱关节内摩擦音:盂肱关节在主动/被动活动中出现摩擦声或碾压声,常由肩袖断端的瘢痕组织引起。
凡具有1项,同时合并存在2.3.4.5.中任何一项或以上阳性体征者诊断为肩袖损伤。
1)肌腱炎
-
肌腱形态可正常
-
T2WI肌腱内线状高信号,未累及上或下表面
-
肩峰-三角肌下脂肪层正常
2)部分撕裂
-
肌腱增厚、变薄、不规则;
-
肌腱的关节面或滑膜面撕裂,或肌腱内分离缺损,肌腱连续性存在;
-
斜冠面T1WI 上呈低至中等信号强度,PDWI呈中等到高信号,T2WI +FS上呈高信号强度;
-
T2WI+FS,肩峰下滑囊和三角肌下滑囊不应出现高信号(积液)。
3)完全性撕裂
原发征象:肌腱局部缺如,连续性液体信号横贯肌腱的全层,这使得盂肱关节和肩峰下滑囊相通。
继发征象:
①肩峰下滑膜囊积液,积液在T1WI /PDWI上呈中等信号,T2WI+FS上呈高信号;
②冈上肌肌肉、肌腱结合处回缩(正常位置在肱骨头上方);
③滑囊旁脂肪垫的渗出丢失。
MR 关节造影:局限性或弥漫性充满造影剂的裂隙贯穿肌腱全层,肌腱失去其连续性。
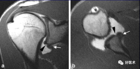
正常、异常肩袖肌腱和邻近软组织结构的MR表现
冈上肌肌腱撕裂可分为全层或部分,部分撕裂又分为下表面(关节面)撕裂、上表面(滑囊侧)撕裂及腱内撕裂。据文献报道,冈上肌肌腱下表面撕裂最常见,可为上表面撕裂的2~3倍,腱内撕裂则最少见。
冈上肌肌腱下表面撕裂发病率高可能与肩关节不稳并内撞击,肩关节侧肌腱纤维延展性较差有关。
诊断冈上肌肌腱部分撕裂的金标准是肩关节镜,但是腱内撕裂常易漏诊。
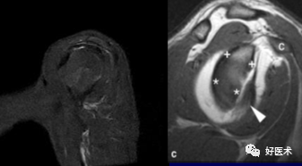
冈上肌腱不完全撕裂
冈上肌腱不完全撕裂伴肩峰下囊积液
冈上肌肌腱损伤(撞击),肩胛下滑囊积液(肩胛下肌腱损伤?)
冈上、下肌腱撕裂、肩胛下囊积液
假相:
T1WI 和PDWI 上肩袖的高信号区还可能与下列因素有关:
-
肌束间结缔组织
-
肌腱重叠
-
肱二头肌长头
-
魔角现象(“Magic Angle” effect):当冈上肌腱与主磁场方向成近似55º夹角时,T1WI即可见冈上肌腱呈中等信号
魔角现象
肩关节不稳
盂肱关节的稳定性取决于关节周围的所有肌腱及韧带,其不稳定可分为前部不稳定、后部不稳定和多方位不稳定,以前部不稳定多见 。
不稳(instability):松弛、半脱位、脱位。
病因:创伤性、非创伤性(盂肱韧带或关节囊的松驰)、微创伤性。多方位肩关节不稳常与韧带松驰有关。
肩关节前方支持结构由纤维囊、盂肱韧带、前盂唇、肩胛下肌及肌腱组成;后方支持结构由纤维囊、后盂唇、冈下肌和小圆肌及其肌腱组成,以上支持结构会成为肩关节不稳因素。
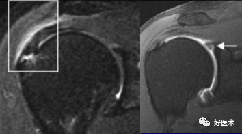
肩关节前方不稳常合并有肱骨后外侧骨质病变(Hill-sachs病变)、前下关节盂前缘病变(Bankart病变)、纤维囊撕裂及盂肱韧带损伤等。
肩关节后方不稳常合并有肱骨头前内侧骨质病变(反Hill-sachs病变)、后下关节盂前缘损伤及小圆肌损伤等。
(1)盂肱关节前部不稳定
常见病因:创伤,多见于运动员(当手臂处于外旋、外展位)
一般累及盂唇及韧带,尤其是前下盂肱韧带复合体(前下盂唇与下盂肱韧带前束组成),盂肱韧带在其中部撕裂或附着于肱骨处撕裂。
关节软骨覆盖盂唇,类似盂唇撕裂
创伤性盂唇、韧带损伤分类:
正常的下盂唇韧带复合体
1.Bankart lesion
盂肱下韧带和前盂唇(前下盂唇韧带复合体)从关节盂边缘撕脱,伴肩胛骨骨膜的撕裂。首次损伤后不恰当愈合可导致反复肩关节不稳。
2.Bony Bankart lesion
前下盂唇韧带复合体从关节盂边缘撕脱,伴继发于前关节脱位的肩胛盂骨性骨折。
3.Perthes lesion
Bankart lesion的变异:前下盂唇韧带复合体从关节盂边缘脱离,但骨膜完整且向前内侧剥脱,因此盂唇可在正常解剖位置。
4.前盂唇韧带骨膜袖撕脱
多见于反复脱位的患者。类似于Bankart 损伤,但其肩胛骨前骨膜保持完整,MR 关节造影显示对比剂出现于盂唇与肩胛骨关节盂之间,而骨膜完整连于肩胛盂 。
需与关节盂唇的变异鉴别。
5.关节窝盂唇关节分裂
前下盂唇的表浅性撕裂,伴关节盂前下象限的关节软骨病变,多不伴有关节脱位。
6.盂肱韧带肱骨附着部撕脱(HAGL)
-
关节囊与肱骨交接处不连续;
-
冠状位上关节囊呈”J”形改变;
-
T2横轴位肱骨交界处水肿出血;
-
许多病例合并Hill-Sachs损伤。
少见,多发生于橄榄球、冰上运动等接触性体育的运动员,只能依靠关节造影发现。
(2)盂肱关节后部不稳定
-
仅占肩关节不稳定的2~4%
-
肱骨头常向后半脱位
-
在后盂唇发生破裂或粉碎时应考虑该病
-
MRI关节造影示:造影剂向后方在后盂唇、关节囊和冈下肌间渗出。
(3)盂肱关节多方位不稳定
可表现为肩关节向下、向前、向后脱位,但多表现为向下半脱位。多为非创伤性,好发于年轻女性。MRI显示无明显韧带或盂唇撕裂,可显示关节韧带松弛及盂唇萎缩。
盂唇退变,致盂肱关节多方向不稳
假相:
正常的中盂肱韧带类似盂唇撕裂
关节软骨覆盖盂唇,类似盂唇撕裂
-END-
声明:本文为好医术作者综合整理,仅用于学习交流。









