
女,30岁,3个月前正常阴道分娩一名男婴后,近一个月出现腰痛和跛行。患者自行百度产后腰痛的原因,千奇百怪:
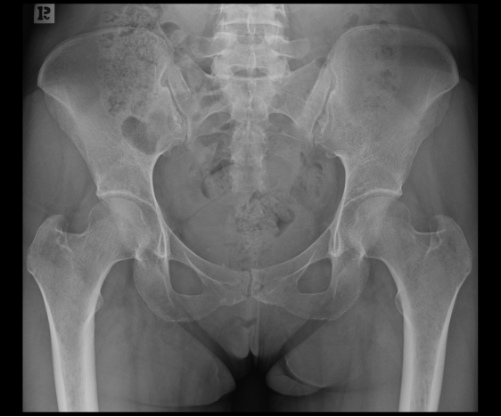
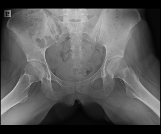
我们通过体格检查后建议患者先行X线检查,必要时做一个磁共振。
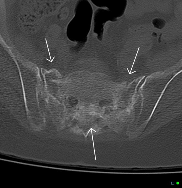
X线检查:
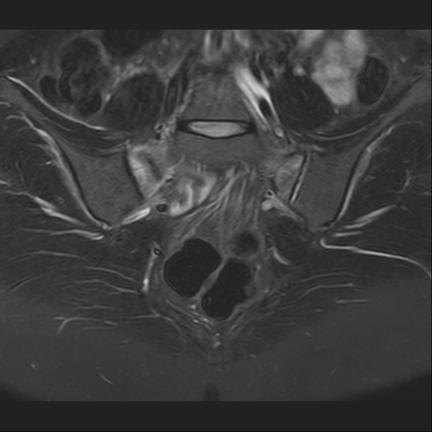
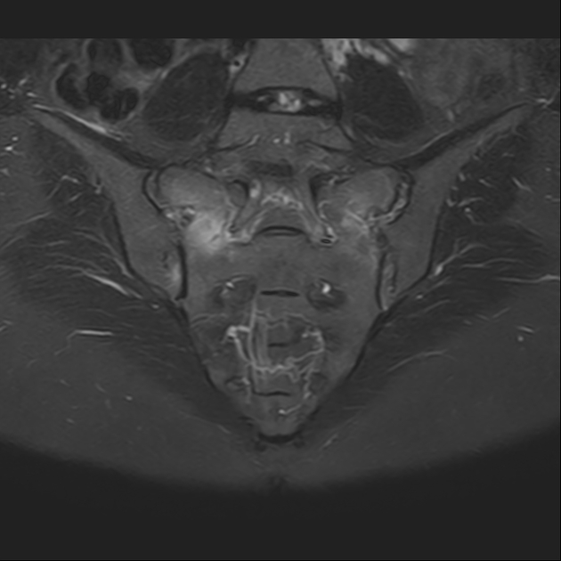
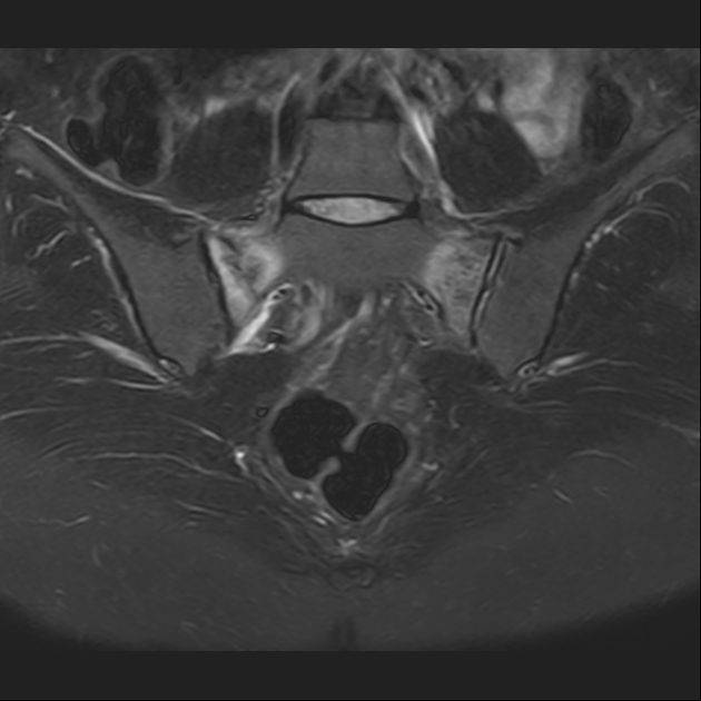
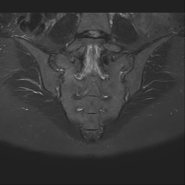
磁共振检查:
T1
T2
STIR
大家发现问题了嘛?
但是大家知道这是为什么嘛?
骶骨功能不全骨折
1
骶骨功能不全骨折是没有明确的外伤史,是由于骨骼矿物质含量减少或弹性抵抗力降低,异常骨组织在正常生理活动下即可发生的一种应力性骨折。老年妇女绝经后骨质疏松是该病最常见的病因。骶骨功能不全骨折的其他危险因素包括长期糖皮质激素服用史、类风湿性关节炎、纤维发育不良、佩吉特病、成骨不全、骨软化、甲状旁腺功能亢进及维生素D缺乏/产妇(发病前阴道分娩)等。
由于此病多由老年人骨质疏松症导致骶骨骨折,很多老年患者这种腰痛常常会被误诊为其他腰痛的原因,如,椎间盘突出/腰肌劳损等。此外,这种骨折通过骨盆 X 线平片很难发现骶骨骨折;特别是骶骨轻微移位的不全骨折大多无法判断。故诊断这种骨折的最佳方式是CT+磁共振检查。
骶骨功能不全骨折分型
骶骨 A 型骨折
骶骨B型骨折
骶骨C型骨折
影像表现
1
1、骨质疏松(只针对老年人);
2、单侧或双侧骶骨翼骨皮质断裂,见迂曲纵行骨折线,大致与骶髂关节平行(双侧多见);
3、骶骨体部看见骨折线
4、冠状位上述骨折形成 “H”型 ,故有人称东风本田征(为了方便记忆)
5、骨折线一般较为模糊,看见看到骨质硬化;
6、磁共振上可以发现骨折线周边明显的骨髓水肿,增强扫描明显强化
CT影像表现
东风本田征,较为特异性影像表现(冠状位重建)
磁共振影像表现
参考文献:
1:Bakker G, Hattingen J, Stuetzer H, Isenberg J. Sacral Insufficiency Fractures : How to Classify? J Korean Neurosurg Soc. 2018 Mar;61(2):258-266. doi: 10.3340/jkns.2017.0188. Epub 2018 Feb 28. PMID: 29526070; PMCID: PMC5853206.
2:Spiegl UJA, Schnake KJ, Osterhoff G, Scheyerer MJ, Ullrich B, Bula P, Siekmann H. Imaging of Sacral Stress and Insufficiency Fractures. Z Orthop Unfall. 2019 Apr;157(2):144-153. English, German. doi: 10.1055/a-0640-8933. Epub 2018 Jul 27. PMID: 30053762.
3:Yan CX, Vautour L, Martin MH. Postpartum sacral insufficiency fractures. Skeletal Radiol. 2016 Mar;45(3):413-7. doi: 10.1007/s00256-015-2289-z. Epub 2015 Nov 10. PMID: 26554948.









